شكل الجير في الاسنان
تعتبر صحة الفم والأسنان من أهم مؤشرات الصحة العامة، إذ أن الإهمال في العناية بالأسنان لا يؤدي فقط إلى تسوس الأسنان بل قد يمتد تأثيره إلى مشاكل صحية أكثر تعقيدًا. من أكثر المشكلات التي تواجه الأشخاص عند إهمال نظافة الفم شكل الجير في الاسنان، والذي يمكن أن يظهر بألوان وأشكال مختلفة حسب طبيعة العناية الشخصية ونمط الحياة. سنتناول في هذا المقال شرح مفصل حول شكل الجير في الاسنان، أنواعه، وأهمية تنظيفه وفوائده، مع إبراز الطرق المثلى للحفاظ على أسنان صحية وجميلة.
ما هو جير الاسنان؟

جير الاسنان هو ترسبات صلبة تتكون على الأسنان نتيجة تراكم البلاك أو طبقة اللويحة السنية التي تحتوي على بقايا الطعام والبكتيريا. هذه الترسبات تبدأ بالظهور عادة على طول خط اللثة وتزداد صلابة مع مرور الوقت، مما يجعل إزالتها بالفرشاة العادية صعبة.
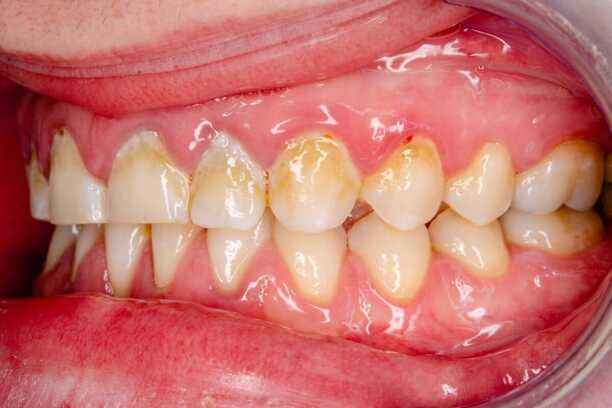
- شكل الجير في الاسنان يكون عادة خشن الملمس ويمكن ملاحظته بسهولة عند لمس الأسنان باللسان.
- يتشكل بشكل أسرع عند الأشخاص الذين يتناولون الأطعمة الغنية بالسكريات أو يميلون إلى التدخين.
- قد يتحول لون جير الاسنان من الأبيض الشفاف إلى الأصفر أو البني الداكن حسب مدة بقائه على الأسنان ونوعية الطعام المتناول.
تنظيف الأسنان من الجير يزيل الترسبات المزعجة ويعيد لابتسامتك نظافتها ولمعتها—احجز موعدك الآن.
ما هو شكل جير الاسنان بالصور؟ وهل يمكن إزالته بالمنزل؟

عند النظر إلى شكل الجير في الاسنان بالصور، نلاحظ تراكم ترسبات صلبة على الأسنان غالبًا بالقرب من اللثة والأسطح الخلفية للأسنان. يمكن ملاحظة الفروق بين الجير الحديث والجير المتقدم:
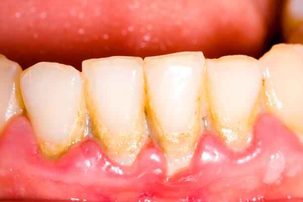
- الجير الطري يظهر باللون الأبيض أو الأصفر الفاتح.
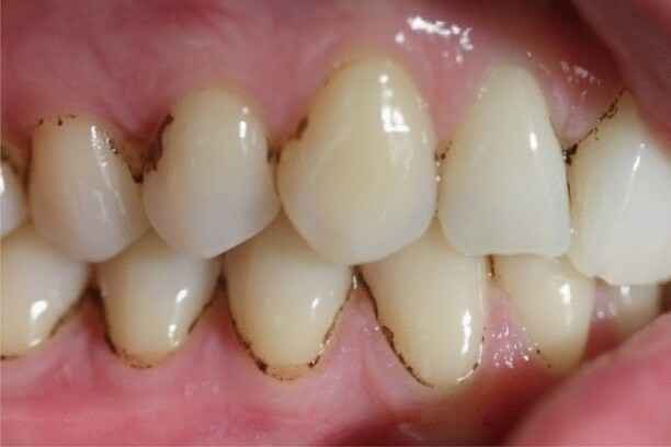
- الجير المتقدم يصبح أصفر داكن أو بني وحتى أسود في بعض الحالات.
أما بالنسبة لإزالته في المنزل، فهناك بعض الطرق المساعدة:
- استخدام فرشاة أسنان كهربائية لتنظيف المناطق الصعبة.
- غسول الفم المضاد للبكتيريا لتقليل تراكم اللويحة السنية.
- بعض وصفات تنظيف الأسنان المنزلية باستخدام بيكربونات الصوديوم أو الفحم النشط، مع ضرورة الحذر من الإفراط لتجنب تلف مينا الأسنان.
للتواصل عبر الواتساب، ارسل اسمك + الخدمة المطلوبة + الوقت المناسب، ونرد عليك فورًا.
ما هو شكل جير الاسنان بالصور؟

شكل الجير في الاسنان يظهر عادة كطبقة صلبة صفراء أو بنية قرب خط اللثة، وقد يتحول إلى الأسود في الحالات المتقدمة. في الصور، يمكن ملاحظة سماكة الجير وموقعه على الأسنان، مما يساعد على التعرف عليه بسهولة. يُظهر التصوير الفرق بين الجير الطري والجير المتصلب، ويوضح الحاجة لتنظيف الأسنان للحفاظ على صحتها وجمال ابتسامتك.
ما هي أنواع جير الاسنان؟
يمكن تصنيف أنواع جير الاسنان وفق اللون والموقع على الأسنان:
أولًا: جير الاسنان الاسود:

- يظهر عادة على الأسنان الخلفية وتحت اللثة.
- أكثر شيوعًا عند المدخنين أو الأشخاص الذين يستهلكون مشروبات داكنة مثل الشاي أو القهوة.
- يشير غالبًا إلى تراكم طويل الأمد للجير ويحتاج إلى تنظيف مهني.
ثانيًا: جير الاسنان الابيض:

- يظهر عادة على الأسنان الأمامية أو السطح الظاهر للأسنان.
- يكون حديث التكون وأقل صلابة، وقد يكون قابلاً للإزالة بالطرق المنزلية إذا تم اكتشافه مبكرًا.
- لونه الأبيض الشفاف قد يجعل اكتشافه صعبًا إلا عند فحص الأسنان بدقة.
شكل الجير في الاسنان يمكن أن يظهر في كلا النوعين، لكنه غالبًا ما يكون أكثر وضوحًا عند الفحص المهني باستخدام أدوات الأسنان المتخصصة.
أقرأ أيضاً : اسعار تبييض الأسنان .
أهمية تنظيف جير الاسنان
يعتبر تنظيف الجير من أهم العادات الصحية التي يجب على كل شخص الالتزام بها، حيث أن الإهمال يؤدي إلى مشاكل متعددة:
- حماية الأسنان من التسوس.
- منع التهاب اللثة وانتفاخها.
- الحد من الروائح الكريهة الناتجة عن تراكم البكتيريا.
- الحفاظ على بياض الأسنان ومظهرها الجمالي.
- تعزيز صحة الفم بشكل عام وتقليل مخاطر فقدان الأسنان المبكر.
- الحد من مشاكل الأسنان المرتبطة بأمراض القلب والسكري، إذ أظهرت الدراسات أن تراكم الجير قد يزيد من الالتهابات الجهازية.
- زيادة فعالية استخدام معاجين الأسنان وغسولات الفم المضادة للبكتيريا.
- تحسين قدرة الشخص على مضغ الطعام بشكل صحيح.
- تقليل الحاجة للتدخلات الطبية المعقدة على المدى الطويل.
- تعزيز الثقة بالنفس من خلال أسنان نظيفة ومظهر صحي.
- تحسين نطق الكلام لدى بعض الأشخاص الذين يعانون من تراكم الجير على الأسنان الأمامية.
فوائد تنظيف الأسنان

لا يقتصر الأمر على إزالة الجير فقط، بل يشمل فوائد تنظيف الأسنان الصحية والجمالية:
- الحد من نمو البكتيريا والفطريات الضارة في الفم.
- تقليل احتمالية الإصابة بالتسوس وأمراض اللثة المزمنة.
- تحسين المظهر الجمالي للأسنان وزيادة بياضها الطبيعي.
- الحفاظ على صحة اللثة ومنع تراجعها.
- تقليل خطر تكوين خراجات أو التهابات سريعة الانتشار.
- الحفاظ على رائحة الفم منعشة طوال اليوم.
- تحسين صحة الجهاز الهضمي من خلال مضغ الطعام بشكل أفضل.
- تعزيز فعالية العلاجات الطبية للأسنان مثل الحشوات أو التيجان.
- الوقاية من تراكم البلاك والجير مرة أخرى عند الالتزام بالنظافة اليومية.
- تعزيز الصحة النفسية والثقة بالنفس بوجود ابتسامة صحية ومشرقة.
تجميل الأسنان يغيّر شكل ابتسامتك للأجمل بخطوات بسيطة ونتائج واضحة—احجز استشارتك الآن.
ما هو سبب جير الاسنان؟
تكوّن جير الاسنان هو نتيجة تراكم البلاك على الأسنان وامتصاص المعادن من اللعاب، مما يجعله يتصلب ويصبح جيرًا صلبًا. الأسباب الرئيسية لتكوّنه تشمل:
- الإهمال في تنظيف الأسنان بالفرشاة والخيط بشكل منتظم.
- الإفراط في تناول السكريات والأطعمة النشوية التي تغذي البكتيريا.
- التدخين واستعمال منتجات التبغ التي تسرع من تراكم الجير.
- تناول المشروبات الداكنة مثل القهوة والشاي بشكل مستمر.
- قلة شرب الماء مما يقلل من إنتاج اللعاب الضروري لطرد البكتيريا.
- حالات طبية معينة مثل جفاف الفم أو اضطرابات الغدد اللعابية.
ما هي أضرار جير الاسنان؟

تراكم الجير لا يؤثر فقط على مظهر الأسنان، بل يتسبب في أضرار صحية متعددة تشمل:
- رائحة الفم الكريهة (Halitosis) نتيجة تراكم البكتيريا التي تنتج المركبات الكبريتية.
- التهاب اللثة (Gingivitis)، حيث تصبح اللثة حمراء، منتفخة وتنزف بسهولة أثناء تنظيف الأسنان.
- انحسار اللثة (Receding gums)، مما يؤدي إلى كشف جذور الأسنان وزيادة حساسيتها.
- فقدان الأسنان (tooth loss) إذا لم يتم علاج الجير المتراكم، حيث تتأثر عظام الفك واللثة الداعمة للأسنان.
أقرأ أيضاً : اسعار تنظيف الأسنان .
هل يؤثر جير الأسنان من الداخل؟
نعم، تأثير شكل الجير في الاسنان يمتد أحياناً إلى الداخل:
- الضغط المستمر على اللثة يسبب التهابات مزمنة تؤثر على دعم الأسنان.
- البكتيريا الموجودة تحت الجير قد تدخل مجرى الدم وتؤثر على أعضاء أخرى في الجسم.
- تراكم الجير لفترات طويلة يؤدي إلى تدهور العظام المحيطة بالأسنان.
- يسبب حساسية الأسنان، خصوصًا عند انحسار اللثة وكشف جذور الأسنان.
- يقلل من فعالية علاجات الأسنان الأخرى مثل الحشوات والتيجان.
هل يمكن إزالة جير الاسنان بالمنزل؟
إزالة الجير في المنزل ممكنة جزئيًا إذا كان حديث التكوّن:
- استخدام فرشاة كهربائية مع شعيرات ناعمة للوصول إلى المناطق الصعبة.
- غسولات الفم المضادة للبكتيريا لتقليل نمو الجير.
- وصفات منزلية آمنة مثل بيكربونات الصوديوم أو الفحم النشط، مع الحذر من الإفراط لتجنب تلف المينا.
- تنظيف الأسنان بالخيط الطبي لإزالة البلاك قبل تصلبه إلى جير صلب.
ودّك بابتسامة متناسقة وطبيعية؟ ابتسامة هوليود خيار مثالي لتعديل اللون والشكل—تواصل للحجز.
علاج جير الاسنان

علاج الجير يمثل خطوة أساسية للحفاظ على صحة الأسنان واللثة، ويشمل عدة طرق وأساليب متنوعة حسب حالة الجير:
- الفحص الدوري عند طبيب الأسنان لتحديد مدى تراكم الجير.
- إزالة الجير المتراكم على الأسنان باستخدام أدوات احترافية.
- استخدام غسولات الفم الطبية لتقليل نمو البكتيريا بعد تنظيف الجير.
- معالجة أي التهابات في اللثة تظهر نتيجة تراكم الجير.
- متابعة روتينية لمنع عودة الجير بعد إزالته.
تؤكد الدراسات أن تجاهل شكل الجير في الاسنان قد يؤدي إلى مضاعفات طويلة المدى تشمل التهاب اللثة وتراجع اللثة وحتى فقدان الأسنان.
أقرأ أيضاً : عيادات تقويم أسنان بجدة .
تنظيف جير الاسنان في العيادة
التنظيف المهني للجير في العيادة هو الطريقة الأكثر فاعلية لإزالة الترسبات الصلبة، خصوصًا في الحالات المتقدمة:
- استخدام أجهزة الموجات فوق الصوتية لإزالة الجير دون إيذاء الأسنان.
- تنظيف المناطق الصعبة الوصول، مثل الأسنان الخلفية وبين الأسنان.
- تلميع الأسنان بعد إزالة الجير للحفاظ على البياض ومنع تراكمه مرة أخرى.
- تقييم صحة اللثة وعلاج أي التهابات موجودة بعد إزالة الجير.
- تعليم المريض طرق العناية اليومية للحد من تراكم الجير مستقبلاً.
محلول سحري لإزالة الجير من الأسنان

هناك بعض الغسولات والمحاليل الطبية التي تعمل بشكل فعال على تقليل تراكم الجير وإزالته تدريجيًا:
- تحتوي على مركبات مضادة للبكتيريا تمنع نموها بين الأسنان وعلى اللثة.
- تستخدم يوميًا بعد التفريش لتقليل سرعة تكون الجير.
- تمنع ظهور البقع الصفراء والبنية الناتجة عن تراكم الجير المتصلب.
- تعد وسيلة مساعدة جيدة، لكنها ليست بديلاً عن تنظيف الجير الاحترافي في العيادة.
علاج أمراض اللثة
تراكم الجير على الأسنان قد يؤدي إلى مشاكل كبيرة في اللثة، ومن هنا تأتي أهمية علاج أمراض اللثة:
- إزالة الجير المتراكم فوق وتحت خط اللثة.
- استخدام مضادات الالتهاب الطبية لعلاج التورم والنزيف.
- تعليم المريض طرق تنظيف الأسنان الدقيقة لمنع تكرار الإصابة.
- متابعة دورية للتأكد من عدم عودة الجير وظهور أي أعراض جديدة.
- تحسين صحة اللثة بشكل كامل يضمن حماية الأسنان من التسوس وفقدانها.
أقرأ أيضاً : افضل علاج لالتهاب اللثة .
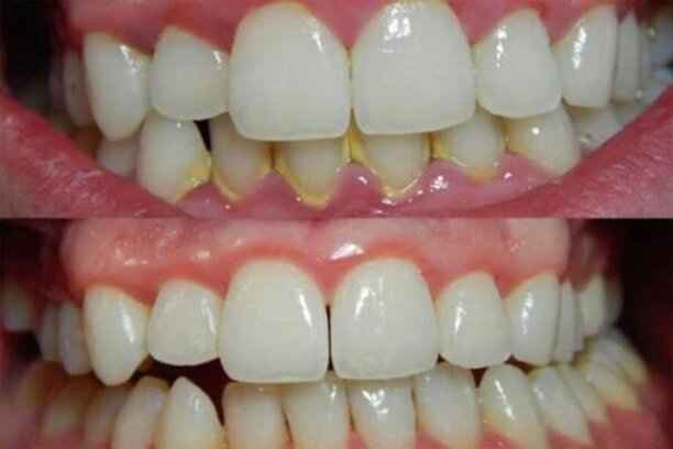
إزالة جير الاسنان تجربتي
كانت تجربتي مع إزالة الجير مذهلة. قبل التنظيف، كان شكل الجير في الاسنان واضحًا على الأسنان الأمامية والخلفية، مما أعطى ابتسامتي مظهرًا غير صحي. بعد جلسة تنظيف شاملة في العيادة، أصبحت الأسنان ناعمة واختفت البقع، وتحسنت رائحة الفم بشكل كبير. لاحظت أيضًا تحسن حالة اللثة وانخفاض الالتهاب، وأدركت أن الالتزام بتنظيف الأسنان يوميًا والزيارات الدورية يمنع تراكم شكل الجير في الاسنان ويحافظ على صحة الفم والابتسامة.
إزالة جير الأسنان الاسود

الجير الأسود يمثل النوع الأخطر والأكثر صلابة، ويحتاج إلى اهتمام خاص:
- يظهر عادة على الأسنان الخلفية وتحت اللثة، ويكون متراكمًا منذ فترة طويلة.
- مرتبط بالتدخين واستهلاك المشروبات الداكنة مثل القهوة والشاي.
- يمكن أن يؤدي إلى التهاب اللثة المزمن وتراجعها.
- يغير شكل الجير في الاسنان بشكل واضح ويؤثر على المظهر الجمالي للابتسامة.
- يتطلب تنظيفه استخدام أجهزة متقدمة وتقنيات احترافية لضمان إزالته بالكامل.
عندك استفسار سريع؟ اكتب لنا على الواتساب الآن، وخلّنا نجاوبك ونقترح لك الحل الأنسب.
لماذا يجب الاهتمام بـ لماذا يجب الاهتمام بعلاج الجير الأسود؟
الاهتمام بالجير الأسود أمر حيوي لعدة أسباب:
- الوقاية من التهابات اللثة المزمنة التي قد تؤدي إلى فقدان الأسنان.
- الحفاظ على جمال الابتسامة.
- منع انتشار البكتيريا إلى أجزاء أخرى من الفم والجسم.
- تحسين صحة الأسنان الداخلية والحفاظ على العظام الداعمة للأسنان.
- تعزيز ثقة الشخص بنفسه من خلال أسنان نظيفة وصحية.
- منع تطور التسوس والتجاويف الناتجة عن تراكم البلاك تحت الجير الأسود.
كم سعر تنظيف جير الاسنان؟

يختلف السعر حسب عدة عوامل:
- كثافة تراكم الجير وحالته، سواء كان أبيض حديث التكوّن أو أسود متراكم.
- مستوى العيادة والتقنية المستخدمة في إزالة الجير.
- وجود التهابات في اللثة أو مشاكل إضافية تتطلب علاجًا مكملاً.
عادةً تتراوح الأسعار بين 150 إلى 400 ريال سعودي للجلسة، وقد تزيد في الحالات المعقدة.
الفرق بين الجير الأسود والتسوس
هناك اختلاف جوهري بين الفرق بين الجير الأسود والتسوس، رغم أن كلاهما يظهر على الأسنان ويؤثر على المظهر الخارجي:
1- الجير الأسود:
- يظهر نتيجة تراكم الترسبات الصلبة على الأسنان، غالبًا في المناطق الخلفية وتحت اللثة.
- لونه داكن جدًا بسبب التدخين أو شرب القهوة والشاي لفترات طويلة.
- لا يسبب دائمًا ألمًا في البداية، لكنه يضر بصحة اللثة والعظام الداعمة للأسنان.
- إذا لم يتم تنظيفه بانتظام، يؤدي إلى التهاب اللثة وانحسارها.
2- التسوس:
- ينتج عن تحلل المينا بسبب الأحماض الناتجة عن البكتيريا التي تتغذى على السكريات.
- يظهر على شكل فجوات صغيرة أو ثقوب على الأسنان وقد يصاحبه ألم شديد عند التقدم.
- يؤثر بشكل مباشر على بنية الأسنان ويحتاج إلى حشوات أو علاجات أخرى.
فهم شكل الجير في الاسنان يساعد على التمييز بين الجير والتسوس، مما يسهل التدخل العلاجي الصحيح في الوقت المناسب.
كيفية الوقاية من الجير الأسود

الوقاية دائمًا أفضل من العلاج، وهناك استراتيجيات واضحة لتقليل تراكم الجير الأسود والحفاظ على صحة الأسنان:
1- استخدم الفرشاة والخيط
- تنظيف الأسنان بالفرشاة مرتين يوميًا على الأقل.
- استخدام الخيط الطبي لإزالة بقايا الطعام بين الأسنان والمناطق الصعبة الوصول.
- الحرص على تنظيف جميع أسطح الأسنان، خصوصًا الخلفية والجانبية حيث يتراكم الجير بسرعة.
2- اختر معجون أسنان فلورايد
- الفلورايد يقوي مينا الأسنان ويقلل من فرص تراكم الجير.
- يساعد على الوقاية من التسوس والتآكل الناتج عن الأحماض.
- يضمن الحفاظ على شكل الجير في الاسنان نظيفًا ويمنع البقع الداكنة من التكون.
3- المضمضة يوميًا مع غسول الفم
- الغسولات المضادة للبكتيريا تمنع تراكم اللويحة البكتيرية قبل تصلبها إلى جير.
- تساعد على الحفاظ على رائحة الفم منعشة وصحة اللثة.
- تقلل من فرص ظهور شكل الجير في الاسنان الأسود أو الداكن.
4- تناول الطعام وتنظيفه
- تجنب الأطعمة السكرية واللزجة التي تلتصق بالأسنان بسهولة.
- بعد تناول الطعام، يُفضل شطف الفم بالماء أو تنظيف الأسنان فورًا.
- يساعد على تقليل تراكم الجير وحماية شكل الجير في الاسنان من التغير إلى اللون الداكن.
أربعة طرق لمنع ظهور جير الأسنان

هناك طرق عملية وفعالة لمنع تراكم الجير على الأسنان والحفاظ على صحة الفم بشكل مستمر:
- تنظيف الأسنان يوميًا بالفرشاة والخيط: هذه الطريقة الأساسية تمنع تراكم البلاك قبل تصلبه إلى جير صلب.
- اختيار معجون أسنان يحتوي على الفلورايد: يعزز من قوة مينا الأسنان ويقي من التسوس.
- المضمضة المنتظمة بغسول الفم المضاد للبكتيريا: تقضي على البكتيريا التي تسبب التلون وتراكم الجير الأسود.
- تنظيف الأسنان بعد تناول الطعام: يقلل من بقايا الطعام التي تتغذى عليها البكتيريا وتتحول إلى جير مع مرور الوقت.
اتباع هذه الخطوات يضمن أن يظل شكل الجير في الاسنان صحيًا، أبيضًا ومرنًا، ويمنع التحول إلى اللون الداكن أو الأسود.
علاج الأسنان يبدأ بتشخيص دقيق وخطة واضحة تناسب حالتك—احجز موعدك الآن واطمّن.
الخلاصة حول شكل الجير في الاسنان
شكل الجير في الاسنان يعكس صحة الفم واللثة ويشير إلى مدى الاهتمام بالنظافة اليومية. تراكم الجير، سواء كان أبيض، أصفر، أو أسود، قد يؤدي إلى التهابات اللثة، تسوس الأسنان، ورائحة الفم الكريهة، ويؤثر على المظهر الجمالي للابتسامة. الوقاية المبكرة والتنظيف المنتظم بالفرشاة والخيط، واستخدام غسول الفم، بالإضافة إلى الزيارات الدورية لطبيب الأسنان، تساعد على إزالة الجير والحفاظ على أسنان صحية وابتسامة مشرقة. مراقبة شكل الجير في الاسنان باستمرار تضمن اكتشاف أي تراكم مبكر والتدخل قبل تفاقم المشكلة، مما يحافظ على صحة الفم على المدى الطويل.
هل لديك استفسار؟ 🤔 راسلنا عبر الواتساب واحصل على رد سريع .
الأسئلة الأكثر شيوعًا [FAQs] حول شكل الجير في الاسنان
✤ كيف أعرف أن أسناني فيها جير؟
يمكن ملاحظة الجير على الأسنان من خلال ظهور طبقة صلبة صفراء أو بنية قرب خط اللثة، أو رائحة فم كريهة، ونزيف خفيف للثة عند التفريش. هذه علامات على شكل الجير في الاسنان.
✤ كيف أزيل الجير من الأسنان؟
أفضل طريقة هي التنظيف الاحترافي في العيادة باستخدام أدوات متخصصة، مع دعم ذلك بالفرشاة والخيط وغسول الفم يوميًا للحفاظ على نظافة الأسنان.
✤ هل إزالة الجير تسقط الأسنان؟
لا، تنظيف الجير بطرق احترافية يحمي الأسنان من التسوس والتهاب اللثة، ولا يؤدي إلى سقوطها إذا تم بواسطة طبيب مؤهل.
✤ ما سبب تكون الجير في الأسنان؟
يتكون الجير من تراكم البلاك وبقايا الطعام التي تتصلب بالمعادن الموجودة في اللعاب، ويزيد بسبب الإهمال في النظافة، التدخين، الأطعمة السكرية، والمشروبات الداكنة، مؤديًا إلى شكل الجير في الاسنان.
✤ هل يمكن إزالة الجير من الأسنان بدون طبيب؟
يمكن إزالة الجير الطازج والخفيف بالفرشاة والخيط وغسولات الفم، لكن الجير المتراكم لفترة طويلة، خاصة الجير الأسود، يحتاج تنظيفًا احترافيًا في العيادة.