أسعار تنظيف الأسنان وأفضل الطرق للحفاظ على ابتسامة صحية

١٠ يناير ٢٠٢٦
amjad alomari
أسعار تنظيف الأسنان

اسعار تنظيف الاسنان

اسعار تنظيف الاسنان تعد من أهم الموضوعات التي يهتم بها كثير من الناس عند البحث عن الحفاظ على صحة الفم والأسنان. تنظيف الأسنان ليس مجرد إجراء تجميلي، بل هو استثمار في صحة الأسنان واللثة والوقاية من الأمراض المزمنة مثل التهاب اللثة وتسوس الأسنان.

تهدف هذه العملية إلى إزالة الترسبات والجير والبلاك التي تتجمع على الأسنان مع مرور الوقت، وتحافظ على ابتسامة صحية ونظيفة. في هذا المقال سنتناول بالتفصيل ماذا يقصد بـ تنظيف الاسنان؟

ما هو سبب الحاجة إلى تنظيف الأسنان عند الطبيب؟، ما هي خطوات تنظيف الأسنان عند الطبيب؟، وكم مرة تحتاج إلى تنظيف الأسنان لدى الطبيب؟، مع التركيز على اسعار تنظيف الاسنان في مختلف العيادات والتقنيات المتاحة.



ماذا يقصد بـ تنظيف الاسنان؟



اسعار تنظيف الاسنان ترتبط مباشرة بفهم الهدف من هذه العملية، فتنظيف الأسنان هو إجراء طبي يهدف إلى إزالة جميع الرواسب واللويحات الجرثومية المتراكمة على سطح الأسنان وتحت اللثة. تشمل العملية إزالة الجير الذي يصعب إزالته بالفرشاة العادية والخيط، وتحسين صحة اللثة والوقاية من التهاباتها.

  • تنظيف الأسنان يشمل إزالة البلاك والجير المتراكم على أسطح الأسنان الأمامية والخلفية.
  • يساعد على منع تكون تسوسات جديدة وتقليل الروائح الكريهة الناتجة عن تراكم البكتيريا.
  • العملية تساهم في تحسين المظهر الجمالي للابتسامة، حيث تعيد للسن لونه الطبيعي وتزيل التصبغات الناتجة عن القهوة والشاي والتدخين.
  • تنظيف الأسنان عند الطبيب يتضمن فحصًا دقيقًا لكل سن لتحديد المناطق التي تحتاج اهتمامًا خاصًا.
  • العملية تحافظ على صحة اللثة وتمنع النزيف الناتج عن التهاباتها المزمنة.
  • إزالة البلاك والجير تقلل من احتمالات تكوّن التكلسات الصلبة تحت اللثة، والتي قد تتطلب تدخلًا جراحيًا لاحقًا.

تنظيف الأسنان عندنا يزيل الجير والتصبغات ويمنحك إحساسًا فوريًا بالنظافة والانتعاش—احجز موعدك الآن.


ما هو سبب الحاجة إلى تنظيف الأسنان عند الطبيب؟



هناك أسباب عديدة تجعل من الضروري اللجوء إلى تنظيف الأسنان عند الطبيب بشكل دوري، وتتراوح بين الصحية والجمالية. ترتبط اسعار تنظيف الاسنان بعوامل مختلفة مثل خبرة الطبيب، نوع التقنية المستخدمة، وعدد الأسنان المراد تنظيفها.

  • تراكم الجير والبلاك بشكل مستمر يؤدي إلى أمراض اللثة المزمنة والتهابات اللثة الحادة.
  • تسوس الأسنان يبدأ غالبًا من طبقة البلاك التي تحتوي على بكتيريا تؤدي إلى تآكل مينا الأسنان.
  • التخلص من الترسبات الصلبة يقلل من فرص رائحة الفم الكريهة ويحسن نظافة الفم بشكل عام.
  • بعض الأشخاص لديهم استعداد جيني لتراكم الجير بسرعة، مما يجعل زيارة الطبيب كل ستة أشهر أمرًا ضروريًا.
  • تنظيف الأسنان عند الطبيب يمنع تراجع اللثة وانكشاف جذور الأسنان، وهي مشاكل قد تؤدي إلى فقدان الأسنان على المدى الطويل.
  • يوفر تنظيف الأسنان فرصة للطبيب لاكتشاف مشاكل أخرى مبكرًا، مثل كسر الأسنان أو وجود خراجات صغيرة لم يلاحظها المريض.

أقرأ أيضاً : تقويم الأطفال .


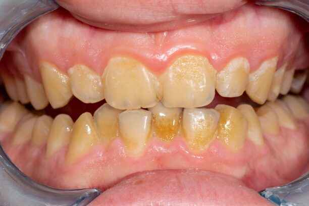
اسباب الجير في الاسنان



تتعدد اسباب الجير في الاسنان وتختلف من شخص لآخر، ولكن أبرزها تشمل:

  • تراكم البلاك نتيجة ضعف تنظيف الأسنان بالخيط والفرشاة.
  • الإفراط في تناول السكريات والمشروبات الغازية التي تساعد على ترسيب البلاك وتكوّن الجير.
  • التدخين والإفراط في تناول الشاي والقهوة التي تساهم في تصبغ الأسنان وتسريع تكون الجير.
  • قلة التدخل الطبي الدوري، حيث يؤدي تجاهل تنظيف الأسنان عند الطبيب إلى تراكم الجير على مدى الأشهر والسنوات.
  • عوامل وراثية قد تجعل بعض الأشخاص أكثر عرضة لتكوّن الجير بسرعة مقارنة بالآخرين.
  • جفاف الفم وقلة إفراز اللعاب، مما يقلل من قدرة الفم على تنظيف نفسه طبيعياً ويزيد احتمالية تكوّن الجير.
  • بعض الأمراض المزمنة مثل السكري تؤثر على صحة اللثة وزيادة فرص تراكم الجير.
  • استخدام بعض الأدوية التي تقلل من إفراز اللعاب أو تؤثر على بيئة الفم.
  • ضعف العادات الغذائية والصحية اليومية، حيث يؤثر ذلك بشكل مباشر على سرعة تراكم الجير.
  • قلة الوعي بأهمية تنظيف الأسنان من الجير بشكل دوري قد يؤدي إلى مشاكل أكبر على المدى الطويل.

ابتسامة أفتح وثقة أعلى: تبييض الأسنان بـ350 ريال بنتيجة ملحوظة—تواصل للحجز.


ما هي خطوات تنظيف الأسنان عند الطبيب؟



اسعار تنظيف الاسنان تختلف وفقًا للتقنيات والخطوات المتبعة، لكن جميع الطرق تتضمن مراحل دقيقة لضمان أفضل النتائج.

  1. يبدأ الطبيب بفحص شامل للفم لتحديد وجود أي التهابات أو تسوسات أو مناطق حساسة.
  2. إزالة الجير باستخدام أجهزة بالموجات فوق الصوتية أو أدوات يدوية دقيقة للوصول إلى جميع أسطح الأسنان، بما في ذلك تحت خط اللثة.
  3. استخدام مقشر أسنان طبي لإزالة التصبغات والبقع السطحية الناتجة عن الأطعمة والمشروبات المختلفة.
  4. تنظيف الأسنان بالخيط الطبي لإزالة البلاك المتراكم بين الأسنان والذي لا يمكن الوصول إليه بالفرشاة.
  5. تلميع الأسنان باستخدام معجون طبي خاص لتعزيز نعومة السطح ومنع تراكم البكتيريا مستقبلًا.
  6. تطبيق مادة فلوريد على الأسنان لتعزيز مينا الأسنان وحمايتها من التسوس في الأشهر التالية.
  7. تقديم نصائح شخصية للمريض حول العناية بالأسنان في المنزل والمنتجات المناسبة لكل حالة.

أقرأ أيضاً : أنواع تسوس الأسنان .


كم مرة تحتاج إلى تنظيف الأسنان لدى الطبيب؟



يعتمد عدد مرات تنظيف الأسنان على حالة كل فرد، وحالة تراكم الجير، وعادات النظافة اليومية، وكذلك عمر المريض وحالته الصحية العامة.

  • عادةً يُنصح بتنظيف الأسنان كل ستة أشهر للحفاظ على صحة اللثة والأسنان، وقد يحدد الطبيب فترة أقصر في حال وجود مشاكل خاصة مثل أمراض اللثة.
  • الأشخاص الذين لديهم ميل لتراكم الجير بسرعة يحتاجون لتنظيف الأسنان كل ثلاثة إلى أربعة أشهر.
  • الأطفال والمراهقون يحتاجون لمتابعة منتظمة بسبب نمو الأسنان الدائم واحتمالية تراكم البلاك بشكل أسرع.
  • مرضى السكري أو ضعف المناعة يجب أن يخضعوا لتنظيف الأسنان بشكل دوري أكثر للحماية من الالتهابات.
  • الالتزام بالزيارات الدورية يضمن فعالية علاج الأسنان الوقائي ويقلل من تكاليف العلاج الطويلة، مما يؤثر على اسعار تنظيف الاسنان الإجمالية.
  • بعض العيادات تقدم برامج متابعة خاصة تشمل تنظيف الأسنان والفحص الدوري، مع إمكانية ضبط التكلفة وفقًا للخدمة المقدمة.


اسعار تنظيف الاسنان



تتفاوت اسعار تنظيف الاسنان في المملكة العربية السعودية حسب عدة عوامل، من بينها:

  • مستوى تخصص الطبيب وخبرته.
  • حالة الفم وعدد الجلسات المطلوبة.
  • نوع التقنية المستخدمة (تنظيف يدوي أم بالموجات فوق الصوتية أم بالليزر).
  • موقع العيادة ومدى تطورها.

في المتوسط تكون الأسعار كما يلي:

  • تنظيف بسيط وإزالة الجير السطحي: من 150 إلى 300 ريال سعودي تقريبًا.
  • تنظيف متوسط يشمل إزالة الجير والبلاك وتلميع الأسنان: من 300 إلى 600 ريال سعودي تقريًبا.
  • إزالة جير عميق تحت اللثة أو تنظيف شامل في الحالات الخاصة: من 600 إلى 900 ريال سعودي أو أكثر حسب الحالة.
  • استخدام تقنيات حديثة مثل الليزر يمكن أن يرفع اسعار تنظيف الاسنان إلى ما بين 700 و1200 ريال سعودي، خاصة في العيادات المتقدمة.

لأي استفسار عن تنظيف وتبييض الأسنان (المدة، الحساسية، العناية بعد الجلسة) تواصل معنا عبر الواتساب ونفيدك بالتفاصيل.


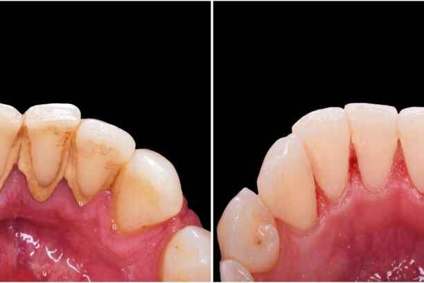
تنظيف الأسنان من الجير



تراكم الجير هو أحد الأسباب الرئيسة التي تجعل من تنظيف الأسنان عند الطبيب أمرًا ضروريًا، فهو لا يقتصر على التجميل فقط، بل يشكل خطرًا صحيًا حقيقيًا على الأسنان واللثة.

  • إزالة الجير تساعد في الوقاية من التهاب اللثة ونزيفها عند التفريش.
  • يقلل الجير المتراكم من احتمالية الإصابة برائحة الفم الكريهة الناتجة عن نمو البكتيريا.
  • تنظيف الأسنان من الجير يعزز قدرة اللثة على الالتئام ويمنع تكون جيوب لثوية حول الأسنان.
  • إزالة الجير تعيد للأسنان لونها الطبيعي وتقلل من التصبغات الناتجة عن الأطعمة والمشروبات مثل الشاي والقهوة.
  • تنظيف الجير بشكل دوري يمنع تفاقم المشاكل ويقلل الحاجة للعلاجات المكلفة لاحقًا.
  • يتيح للطبيب فحص الأسنان بدقة بعد إزالة الجير، للتأكد من عدم وجود تسوسات مخفية أو مشكلات في الأسنان الخلفية.
  • تنظيف الجير يحسن تماسك الأسنان مع اللثة ويقلل من احتمالية تحرك الأسنان مع مرور الوقت.
  • عملية تنظيف الجير تسهم في تحسين صحة الجسم بشكل عام، لأن التهاب اللثة المزمن مرتبط بأمراض القلب والسكري.
  • الالتزام بجدولة تنظيف الجير يعزز نتائج تنظيف الاسنان حيث يكون المريض أقل عرضة لمشاكل لاحقة.

أقرأ أيضاً : أسعار تركيبة الزيركون .


نصائح للعناية بعد تنظيف الاسنان في العياده:



بعد تنظيف الأسنان، يصبح الحفاظ على النتائج واستدامتها أمرًا حيويًا، ويمكن تلخيص أهم النصائح في نقاط متعددة لضمان فعالية العملية:

  • استخدام فرشاة أسنان ناعمة مرتين يوميًا لتجنب تهيج اللثة والحفاظ على نظافة الأسنان.
  • الحرص على استخدام معجون أسنان يحتوي على الفلورايد لتقوية مينا الأسنان وحمايتها من التسوس.
  • تنظيف الأسنان بالخيط الطبي يوميًا لإزالة البلاك بين الأسنان الذي لا يمكن الوصول إليه بالفرشاة.
  • تجنب الأطعمة والمشروبات السكرية والمشروبات الغازية التي تسهم في تكوّن البلاك والجير بسرعة.
  • شرب الماء بعد الوجبات لإزالة بقايا الطعام وتقليل فرص نمو البكتيريا.
  • زيارة الطبيب بشكل دوري كل ستة أشهر لمراجعة صحة الأسنان واللثة وإجراء تنظيف دوري إذا لزم الأمر.
  • تجنب التدخين لما له من تأثير ضار على اللثة وزيادة التصبغات على الأسنان.
  • الالتزام بتعليمات الطبيب حول أي غسولات أو منتجات مخصصة بعد التنظيف لضمان استمرارية النتائج.
  • ملاحظة أي تهيج أو ألم في اللثة بعد التنظيف وإبلاغ الطبيب فورًا لتجنب المضاعفات.
  • اتباع خطة غذائية صحية تحتوي على الكالسيوم وفيتامين D لدعم صحة الأسنان واللثة.

للاستفسار عن الأسعار والعروض والمواعيد المتاحة، تواصل معنا عبر الواتساب وسيتم الرد عليك مباشرة.


فوائد تنظيف الأسنان في عياداتنا (أضواء الحكمة بالدمام):



العيادات المتخصصة توفر بيئة آمنة وتقنيات متطورة لتنظيف الأسنان، وهذه بعض الفوائد:

  • استخدام أحدث الأجهزة لإزالة الجير والبلاك بدقة عالية دون إيذاء اللثة.
  • مراقبة صحة اللثة والأسنان خلال الجلسة لاكتشاف أي مشاكل مبكرًا.
  • تلميع الأسنان بعد التنظيف لتعزيز نعومة سطح الأسنان ومنع تراكم البلاك مستقبلاً.
  • تقديم استشارات فردية حول المنتجات المناسبة لكل مريض، مما يحافظ على النتائج ويطيل عمرها.
  • توفير بيئة آمنة للأطفال والبالغين على حد سواء مع أدوات معقمة ومتطورة.
  • متابعة دقيقة من قبل أطباء متخصصين تقلل من أي مضاعفات محتملة وتزيد فعالية علاج الأسنان الوقائي.
  • برامج تنظيف مخصصة تشمل إزالة الجير وتنظيف الأسنان من التصبغات وتحسين الصحة العامة للفم.
  • الاستفادة من خبرة الأطباء في تقديم نصائح عملية لتقليل الحاجة لتنظيف الأسنان بشكل متكرر.
  • تحسين المظهر الجمالي والابتسامة بشكل واضح بعد كل جلسة تنظيف.


كم جلسة تنظيف الاسنان من الجير؟



تختلف عدد الجلسات المطلوبة حسب كمية الجير ونوعه، وحسب حالة كل مريض، ومن أبرز النقاط:

  • غالبًا تحتاج الحالات البسيطة لجلسة واحدة فقط لإزالة الجير السطحي واللطيف.
  • الحالات المتوسطة التي تراكم فيها الجير لعدة أشهر قد تحتاج إلى جلستين إلى ثلاث جلسات.
  • الحالات المعقدة التي تحتوي على جير كثيف أو متصلب بين الأسنان وتحت خط اللثة قد تتطلب أكثر من ثلاث جلسات لإزالة كل الترسبات بالكامل.
  • جلسات تنظيف الجير تشمل إزالة الترسبات، تلميع الأسنان، وفحص الأسنان واللثة لضمان صحة الفم بالكامل.
  • الطبيب قد يحدد فترات زمنية بين الجلسات لتقليل تهيج اللثة وتحسين نتائج التنظيف.
  • التكرار الدوري للزيارات بعد إزالة الجير يساعد على منع تراكمه مجددًا ويقلل الحاجة لجلسات إضافية مستقبلًا.
  • في بعض الحالات قد يوصي الطبيب باستخدام غسولات فموية مضادة للبكتيريا بين الجلسات لتسهيل إزالة الجير.
  • مراقبة أي أعراض مثل النزيف أو التهيج بين الجلسات تضمن الاستفادة القصوى من كل جلسة تنظيف.
  • الحفاظ على مراجعة كل ستة أشهر يعتبر معيارًا صحيًا يمنع تراكم الجير ويقلل الحاجة لجلسات إضافية.

عندك استفسار أو تبغى حجز موعد؟ ارسل لنا رسالة واتساب الآن وخدمة العملاء جاهزة تساعدك.


7 نصائح بعد ازالة جير الاسنان تجربتي



بعد إزالة الجير من الأسنان، هناك مجموعة من النصائح الأساسية لضمان استمرارية النتائج وتقليل المضاعفات:

  1. تجنب الأطعمة والمشروبات الملونة لمدة 24 ساعة بعد التنظيف للحفاظ على تلميع الأسنان.
  2. استخدام فرشاة أسنان ناعمة وخيط الأسنان يوميًا للحفاظ على نظافة الأسنان واللثة.
  3. شرب الماء بعد كل وجبة للمساعدة في إزالة بقايا الطعام ومنع تراكم البلاك.
  4. تجنب التدخين لمدة يومين على الأقل بعد إزالة الجير لتقليل تهيج اللثة.
  5. اتباع نظام غذائي صحي غني بالكالسيوم وفيتامين D لدعم صحة الأسنان بعد الجلسة.
  6. استخدام غسول فم مضاد للبكتيريا حسب توصية الطبيب لتقليل تراكم الجير الجديد.
  7. المراجعة الدورية مع الطبيب كل ستة أشهر لضمان استمرار النتائج وتقليل اسعار تنظيف الاسنان المرتبطة بالعلاج المتأخر أو المعقد.


متى أقدر أن آكل بعد تنظيف الجير؟



بعد تنظيف الجير يُفضل الانتظار لمدة 30 إلى 60 دقيقة قبل تناول أي طعام لتجنب تهيج اللثة. يُنصح بالابتعاد عن الأطعمة الساخنة أو الباردة جدًا والأطعمة الصلبة أو اللزجة خلال الساعات الأولى، والتركيز على الأطعمة اللينة مثل الزبادي والفواكه المهروسة. شرب الماء يساعد على تنظيف الفم طبيعيًا ويقلل تكوّن الجير مرة أخرى.

أقرأ أيضاً : سعر تلبيسة الضرس .


الخلاصة حول اسعار تنظيف الاسنان

تُعد اسعار تنظيف الاسنان استثمارًا مهمًا لصحة الفم والأسنان، فهي تختلف بحسب نوع التنظيف، كمية الجير، الأجهزة والتقنيات المستخدمة، وحالة اللثة والأسنان. التنظيف المنتظم يمنع تراكم الجير، يقلل من مشاكل التسوس واللثة، ويحافظ على ابتسامة صحية وجميلة. الالتزام بجلسات دورية كل 6 أشهر يقلل الحاجة لجلسات مكثفة ومكلفة، ما يجعل التكلفة على المدى الطويل مجدية وفعالة. بالتالي، يمكن اعتبار اسعار تنظيف الاسنان جزءًا من خطة وقائية تحمي الأسنان من المشاكل المزمنة وتحافظ على صحة الفم بشكل مستدام.


الأسئلة الأكثر شيوعًا [FAQs] حول اسعار تنظيف الاسنان

✤ كم سعر جلسة تنظيف الأسنان؟

تختلف اسعار تنظيف الاسنان حسب حالة الفم والعيادة المستخدمة، وعادة تتراوح بين 150 إلى 400 ريال سعودي للجلسة الواحدة، مع إمكانية ارتفاع السعر إذا كان هناك تراكم كبير للجير أو الحاجة لتقنيات متقدمة.


✤ كم تبلغ تكلفة تنظيف الأسنان في السعودية؟

تكلفة تنظيف الأسنان في السعودية تعتمد على نوع التنظيف وحالة اللثة، حيث يمكن أن تتراوح بين 500 إلى 1500 ريال سعودي للجلسة الكاملة التي تشمل إزالة الجير والتلميع والفحص.


✤ كم جلسة تنظيف الأسنان؟

عدد الجلسات يختلف حسب كمية الجير والتسوس وحالة الفم، غالبًا يحتاج معظم الأشخاص لجلسة واحدة أو جلستين سنويًا، مع زيادة عدد الجلسات إذا كانت الحالة متقدمة.


✤ ما هي اسعار تنظيف الاسنان من التسوس؟

تنظيف الأسنان من التسوس يشمل إزالة الترسبات والجير والفحص الوقائي، وتبدأ اسعار تنظيف الاسنان لهذا النوع عادة من 200 إلى 500 ريال سعودي، وقد تزيد مع الحاجة لعلاج الأسنان المصابة بالتسوس.


✤ كم سعر تنظيف الأسنان من الجير؟

إزالة الجير فقط تتراوح تكلفتها عادة بين 150 إلى 350 ريال سعودي للجلسة الواحدة حسب كمية الجير وتقنيات العيادة، وقد تتطلب جلسة إضافية في الحالات الصعبة.


✤ كم جلسة تنظيف الأسنان من الجير؟

غالبًا يحتاج معظم المرضى لجلسة واحدة لإزالة الجير، لكن بعض الحالات الشديدة أو تراكم الجير على فترة طويلة قد تحتاج إلى جلستين أو أكثر لتحقيق النتائج المثالية.


✤ كم سعر تنظيف الأسنان بالليزر؟

تنظيف الأسنان بالليزر يعتبر تقنية متقدمة وفعّالة لإزالة الجير والبقع، وتبدأ اسعار تنظيف الاسنان بالليزر عادة من 400 ريال سعودي وقد تصل إلى 800 ريال حسب العيادة وكفاءة الجهاز.


✤ هل تنظيف الجير يضعف الأسنان؟

تنظيف الجير لا يضعف الأسنان عند القيام به بطريقة صحيحة على يد طبيب مختص، بل يحافظ على صحة اللثة ويمنع التسوس، مع ضرورة اتباع نصائح للعناية بعد تنظيف الاسنان في العياده للحفاظ على النتائج.