هل تقويم الاسنان ضروري
تتجلى أهمية الابتسامة المتناسقة ليس فقط في المظهر الجمالي، بل في الصحة الفموية ووظيفة الأسنان على حد سواء، وهنا يبرز التساؤل المتكرر: هل تقويم الاسنان ضروري في جميع الحالات أم أنه خيار تجميلي بحت؟ في الواقع، تقويم الأسنان لم يعد رفاهية كما يظن البعض، بل أصبح تدخلًا علاجيًا دقيقًا يعالج مشكلات اعوجاج الأسنان، سوء الإطباق، وصعوبات المضغ والنطق.
ومع تطور التقنيات الحديثة داخل مراكز متخصصة مثل مركز أضواء الحكمة لطب وتقويم الأسنان، أصبح بالإمكان تحقيق نتائج متقدمة تجمع بين الراحة والفعالية في آن واحد، مما يجعل قرار التقويم خطوة مدروسة تعود بالنفع الصحي والوظيفي على المدى الطويل.
أنواع تقويم الأسنان بالصور واسعارها

تتنوع أنواع التقويم لتناسب احتياجات المرضى المختلفة، ولكل نوع خصائصه التي تميزه من حيث الشكل، التكلفة، ومدة العلاج. اختيار النوع المناسب يعتمد على تقييم دقيق من الطبيب المختص، مع مراعاة الحالة السنية ودرجة التعقيد. ومن هنا يتكرر التساؤل: هل تقويم الاسنان ضروري بكل هذه الأنواع، والإجابة ترتبط بطبيعة الحالة وهدف العلاج.
- تقويم الأسنان المعدني: يُعد الأكثر شيوعًا والأكثر فعالية في الحالات المعقدة، يتميز بقوته وقدرته على تحريك الأسنان بدقة عالية، كما أن تكلفته غالبًا أقل مقارنة بالأنواع الأخرى.
- تقويم الأسنان الشفاف: خيار تجميلي مفضل للكثيرين، يعتمد على قوالب شفافة قابلة للإزالة، ويوفر مظهرًا غير ملحوظ مع راحة نسبية أثناء الاستخدام.
- تقويم الأسنان الداخلي (اللساني): يتم تركيبه من الجهة الداخلية للأسنان، مما يجعله غير مرئي تمامًا، لكنه يتطلب مهارة عالية في التركيب والتعامل معه.
- تقويم الأسنان الخزفي: يشبه المعدني في الشكل العام لكنه بلون قريب من لون الأسنان، ما يجعله أقل وضوحًا وأكثر قبولًا من الناحية الجمالية.
ابدأ رحلتك نحو ابتسامة أفضل 😁 اضغط الآن وتواصل معنا عبر الواتساب .
حالات تقويم الأسنان قبل وبعد

تُظهر حالات التقويم قبل وبعد تحولًا ملحوظًا في ترتيب الأسنان وتحسين الإطباق، وهو ما ينعكس مباشرة على شكل الابتسامة وثقة الشخص بنفسه. في مركز أضواء الحكمة لطب وتقويم الأسنان، يتم توثيق هذه الحالات بدقة لإبراز النتائج الواقعية التي يمكن تحقيقها، حيث تتغير محاذاة الأسنان بشكل تدريجي حتى الوصول إلى النتيجة المثالية.
هذه التحولات لا تقتصر على الشكل فقط، بل تشمل تحسين الوظائف الحيوية للفم، مما يجعل البعض يعيد التفكير ويتساءل مجددًا هل تقويم الاسنان ضروري لتحقيق هذا المستوى من التوازن.
فوائد وأضرار تقويم الأسنان
رغم الفوائد الكبيرة لتقويم الأسنان، إلا أن له بعض التحديات التي يجب أخذها في الاعتبار قبل البدء في العلاج، وهو ما يتطلب وعيًا كاملاً من المريض.
فوائد تقويم الأسنان
- تحسين مظهر الابتسامة بشكل واضح وجذاب
- تصحيح مشاكل الإطباق التي تؤثر على المضغ
- تقليل احتمالية تسوس الأسنان الناتج عن تراكبها
- تحسين النطق في بعض الحالات
- تعزيز صحة اللثة من خلال تسهيل التنظيف
- توزيع القوى على الأسنان بشكل متوازن
في ضوء هذه الفوائد، يتكرر السؤال مرة أخرى: هل تقويم الاسنان ضروري لمن يعاني من هذه المشكلات؟ وغالبًا ما تكون الإجابة نعم عند وجود خلل وظيفي أو جمالي واضح.
أضرار تقويم الأسنان
- الشعور ببعض الألم أو الضغط في بداية العلاج
- صعوبة مؤقتة في الأكل والتحدث
- الحاجة إلى التزام صارم بنظافة الفم
- احتمال تهيج اللثة أو الخدود في بعض الحالات
- طول مدة العلاج في الحالات المعقدة
- ضرورة المراجعات الدورية المستمرة
ورغم هذه الأضرار البسيطة، إلا أنها تُعد مؤقتة مقارنة بالفوائد طويلة المدى، مما يعزز من قيمة العلاج ويعيد طرح السؤال الأساسي: هل تقويم الاسنان ضروري لكل من يعاني من مشكلات في ترتيب الأسنان؟ الإجابة تعتمد على التقييم الطبي الدقيق لكل حالة.
تقويم الأسنان الأمامية فقط

في بعض الحالات، يقتصر العلاج على الأسنان الأمامية دون الحاجة إلى تقويم كامل للفكين، وهو ما يُعرف بالتقويم الجزئي. هذا النوع يُستخدم عندما تكون المشكلة محصورة في ترتيب الأسنان الأمامية أو وجود فراغات أو تزاحم خفيف.
- يُعتبر خيارًا مناسبًا للحالات البسيطة أو المتوسطة
- يساهم في تحسين المظهر العام للابتسامة بسرعة نسبية
- قد تكون مدته أقصر مقارنة بالتقويم الشامل
- يتطلب تقييمًا دقيقًا لتحديد مدى كفايته دون التأثير على الإطباق العام
ورغم بساطته، إلا أن قرار اللجوء إليه يطرح مجددًا تساؤل هل تقويم الاسنان ضروري في هذه الحالة أم يمكن الاكتفاء بتدخل تجميلي محدود، والإجابة تعتمد على الفحص السريري الدقيق.
أصعب حالات تقويم الأسنان
تتضمن الحالات المعقدة مشكلات عميقة في ترتيب الأسنان أو العلاقة بين الفكين، وقد تشمل بروزًا شديدًا أو تزاحمًا حادًا أو اختلالًا هيكليًا.
- تحتاج إلى خطة علاجية طويلة المدى
- قد تتطلب استخدام أجهزة مساعدة أو تدخلات إضافية
- تعتمد على متابعة دورية دقيقة لضبط الحركة السنية
- في بعض الأحيان تُدمج مع إجراءات جراحية تصحيحية
في هذه الحالات، يصبح السؤال هل تقويم الاسنان ضروري واضحًا، إذ لا يمكن تجاهل العلاج لما له من تأثير مباشر على الوظيفة والصحة العامة للفم.
تقويم الأسنان لمدة 6 شهور

يُعد التقويم السريع لمدة 6 شهور خيارًا لبعض الحالات البسيطة التي لا تتطلب تعديلات كبيرة في الإطباق أو حركة واسعة للأسنان.
- مناسب لتصحيح مشكلات طفيفة في المحاذاة
- يعتمد على تقنيات حديثة تسرّع من حركة الأسنان
- يحقق نتائج تجميلية ملحوظة خلال فترة قصيرة
- لا يُناسب الحالات المعقدة أو العميقة
ورغم سرعته، إلا أن تحديد ما إذا كان مناسبًا يتطلب تقييمًا متخصصًا، مما يعيد طرح التساؤل هل تقويم الاسنان ضروري أم أن الحالة لا تحتاج سوى تدخل محدود.
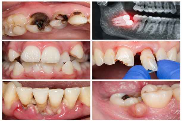
تجربتي مع خلع الأسنان للتقويم
تجربة خلع الأسنان قبل التقويم تختلف من شخص لآخر، لكنها غالبًا تكون جزءًا من خطة علاجية تهدف إلى خلق مساحة كافية لتحريك الأسنان بشكل صحيح.
- قد يشعر المريض ببعض القلق قبل الإجراء
- يتم الخلع تحت تخدير موضعي لتقليل الألم
- يستغرق وقتًا قصيرًا نسبيًا
- يتبعه التزام بإرشادات طبية محددة لضمان التعافي
كثير من المرضى يلاحظون لاحقًا أن هذا الإجراء كان ضروريًا، مما يعزز إدراكهم بأن هل تقويم الاسنان ضروري في حالات التزاحم الشديد، خاصة عندما لا تتوفر مساحة كافية داخل الفك.
الحالات التي تحتاج إلى خلع الأسنان

ليست كل حالات التقويم تتطلب خلع الأسنان، لكن هناك حالات معينة يصبح فيها الخلع جزءًا أساسيًا من الخطة العلاجية.
- تزاحم شديد يمنع ترتيب الأسنان بشكل صحيح
- بروز واضح في الأسنان الأمامية
- عدم توافق حجم الأسنان مع مساحة الفك
- وجود أسنان زائدة أو غير وظيفية
- الحاجة إلى إعادة توزيع الأسنان بشكل متوازن
في هذه الحالات، يكون الخلع خطوة تمهيدية ضرورية، ويصبح السؤال هل تقويم الاسنان ضروري مرتبطًا بتحقيق نتائج مستقرة وطويلة الأمد.
مراحل خلع الأسنان عند التقويم
تمر عملية الخلع ضمن خطة منظمة تبدأ بالتقييم وتنتهي بالشفاء الكامل قبل بدء التقويم الفعلي.
- إجراء فحص شامل وأشعة لتحديد الأسنان المراد خلعها
- تحديد خطة الخلع ضمن خطة التقويم العامة
- تنفيذ الخلع تحت إشراف طبي متخصص
- متابعة التئام اللثة قبل بدء حركة الأسنان
هذه المراحل تضمن أن يتم العلاج بشكل آمن ومدروس، مما يعزز فعالية التقويم لاحقًا ويؤكد أهمية الإجابة عن هل تقويم الاسنان ضروري في ضوء النتائج المتوقعة.
فوائد خلع الأسنان للتقويم

- توفير مساحة كافية لتحريك الأسنان
- تحسين محاذاة الأسنان بشكل أكثر دقة
- تقليل الضغط داخل الفم
- تعزيز استقرار النتائج بعد انتهاء العلاج
- المساعدة في تصحيح بروز الأسنان بشكل فعال
- تحسين الإطباق العام بين الفكين
رغم أن قرار الخلع قد يبدو صعبًا، إلا أن نتائجه الإيجابية تجعل الكثيرين يدركون لاحقًا أن هل تقويم الاسنان ضروري كان مرتبطًا بخطوات علاجية مدروسة لتحقيق أفضل نتيجة ممكنة.
نصائح قبل خلع الضرس
- إجراء فحص شامل لدى طبيب مختص
- إبلاغ الطبيب بأي أمراض مزمنة أو أدوية مستخدمة
- تناول وجبة خفيفة قبل الإجراء إذا سمح الطبيب
- تجنب التوتر والاستعداد النفسي للعملية
- الالتزام بتعليمات الطبيب قبل الخلع
اتباع هذه النصائح يساعد في جعل التجربة أكثر راحة وسلاسة، ويهيئ المريض للمرحلة التالية من العلاج، خاصة عند وجود خطة تقويم متكاملة.
إرشادات بعد خلع الضرس

- تجنب الأكل الصلب أو الساخن في الساعات الأولى
- الحفاظ على نظافة الفم دون ملامسة مباشرة لمكان الخلع
- الالتزام بتناول الأدوية الموصوفة
- تجنب التدخين والمشروبات الغازية لفترة مؤقتة
- الراحة وتجنب المجهود البدني الزائد
- مراجعة الطبيب في حال ظهور أي أعراض غير طبيعية
هذه الإرشادات تساهم في تسريع الشفاء وتقليل المضاعفات، مما يضمن انطلاق مرحلة التقويم بسلاسة وفعالية.
نصائح بعد خلع الاسنان
- الحفاظ على الضغط على مكان الخلع باستخدام الشاش الطبي لتقليل النزيف
- تجنب المضمضة القوية في الساعات الأولى
- الامتناع عن تناول الأطعمة الصلبة أو الساخنة مباشرة بعد الخلع
- الالتزام بتناول الأدوية الموصوفة من الطبيب
- تجنب التدخين لأنه يؤثر سلبًا على التئام الجرح
- الحفاظ على نظافة الفم مع تجنب المنطقة المصابة في الأيام الأولى
- الراحة وتجنب المجهود البدني الشديد
هذه النصائح تساعد على تسريع التعافي، خاصة في الحالات التي تكون جزءًا من خطة علاج تقويمية، حيث يرتبط ذلك بالإجابة عن هل تقويم الاسنان ضروري في بعض الحالات التي تتطلب تهيئة مسبقة للفم.
مدة زراعة الاسنان بعد الخلع

تختلف مدة زراعة الأسنان بعد الخلع حسب حالة العظم وصحة اللثة، وقد تتراوح بين عدة أسابيع إلى عدة أشهر.
- في بعض الحالات يمكن إجراء الزراعة الفورية مباشرة بعد الخلع
- في حالات أخرى يتم الانتظار حتى التئام العظم بشكل كامل
- تقييم كثافة العظم يلعب دورًا رئيسيًا في تحديد التوقيت
- قد تتطلب بعض الحالات إجراءات إضافية مثل زراعة العظم
هذا التوقيت الدقيق يعكس أهمية التخطيط العلاجي المتكامل، خاصة عندما تكون الزراعة جزءًا من خطة تشمل التقويم، مما يعزز فهم هل تقويم الاسنان ضروري قبل أو بعد هذه الإجراءات.
أنواع ألم بعد تقويم الأسنان
- ألم الضغط الناتج عن تحريك الأسنان
- ألم في اللثة بسبب احتكاك الأجهزة
- حساسية في الأسنان عند تناول الطعام
- ألم مؤقت في الفك نتيجة التكيف مع الوضع الجديد
- انزعاج في بداية العلاج يخف تدريجيًا
هذا الألم غالبًا يكون مؤقتًا ويمكن السيطرة عليه، وهو جزء طبيعي من رحلة العلاج التي تهدف إلى تحقيق توازن وظيفي وجمالي، مما يدعم الإجابة على هل تقويم الاسنان ضروري لمن يعانون من مشكلات في الإطباق.
خطوات تركيب تقويم الأسنان

- الفحص السريري الشامل وتقييم الحالة
- إجراء الأشعة اللازمة لتحديد خطة العلاج
- تنظيف الأسنان وتجهيزها للتركيب
- تثبيت الحاصرات وربطها بالأسلاك
- ضبط التقويم وفق الخطة العلاجية
- متابعة دورية لتعديل الحركة تدريجيًا
هذه الخطوات تتم بدقة داخل مركز أضواء الحكمة لضمان تحقيق نتائج متوازنة، حيث يتم تصميم الخطة العلاجية بما يتناسب مع كل حالة على حدة، مما يجعل التساؤل هل تقويم الاسنان ضروري مرتبطًا بتشخيص علمي دقيق.
طرق حديثة لعلاج ألم تقويم الأسنان
- استخدام المسكنات تحت إشراف الطبيب
- تطبيق كمادات باردة لتقليل الالتهاب
- استخدام الشمع الطبي لتقليل الاحتكاك
- الاعتماد على تقنيات تقويم حديثة أقل إزعاجًا
- تعديل قوة الضغط بشكل تدريجي لتخفيف الألم
تساهم هذه الطرق في تحسين تجربة المريض وتقليل الانزعاج، مما يجعل رحلة التقويم أكثر راحة ويشجع على الالتزام بالعلاج حتى النهاية.
حالات تقويم الأسنان

تشمل حالات التقويم مجموعة واسعة من المشكلات مثل تزاحم الأسنان، الفراغات، بروز الأسنان الأمامية، أو سوء الإطباق بين الفكين.
- حالات بسيطة يمكن علاجها بتقويم قصير المدة
- حالات متوسطة تحتاج إلى خطة علاجية متكاملة
- حالات معقدة تتطلب تدخلات إضافية
- حالات تجمع بين مشاكل جمالية ووظيفية
في هذه السياقات المختلفة، يتكرر التساؤل هل تقويم الاسنان ضروري، وتكون الإجابة مرتبطة بدرجة الخلل وأثره على الصحة العامة للفم.
حالات تقويم الأسنان عند الكبار
- يمكن علاج العديد من المشكلات حتى في الأعمار المتقدمة
- يستغرق العلاج وقتًا أطول مقارنة بالأطفال
- يتطلب التزامًا أكبر من المريض
- قد يترافق مع علاجات مساندة مثل علاج اللثة
رغم الاعتقاد الشائع بأن التقويم مخصص للأطفال فقط، إلا أن الكبار يمكنهم الاستفادة بشكل كبير، مما يعيد طرح هل تقويم الاسنان ضروري لتحسين جودة الحياة بغض النظر عن العمر.
حالات تقويم الاسنان عند الأطفال
- تصحيح نمو الفك في مراحل مبكرة
- معالجة العادات الفموية الخاطئة
- توجيه الأسنان أثناء النمو بشكل صحيح
- تقليل الحاجة إلى تدخلات معقدة مستقبلًا
التدخل المبكر يمنح نتائج أفضل وأسرع، ويقلل من التعقيدات لاحقًا، مما يجعل التقويم خيارًا وقائيًا وعلاجيًا في آن واحد.
أسباب تمنع تركيب التقويم

- وجود أمراض لثوية غير معالجة
- ضعف في صحة الأسنان أو العظم الداعم
- عدم التزام المريض بتعليمات النظافة
- بعض الحالات الطبية الخاصة التي تتطلب تقييمًا دقيقًا
- عدم جاهزية الفم لأي تدخل تقويمي
في هذه الحالات، يتم تأجيل أو تعديل الخطة العلاجية لضمان سلامة المريض، مما يؤكد أن قرار التقويم يجب أن يكون مبنيًا على تقييم شامل وليس قرارًا عشوائيًا.
الخلاصة حول هل تقويم الاسنان ضروري
في النهاية، يتضح أن الإجابة عن هل تقويم الاسنان ضروري ليست واحدة لكل الحالات، بل تختلف حسب التشخيص الدقيق واحتياجات كل مريض، ومع وجود خبرة متخصصة وتقنيات حديثة داخل مركز أضواء الحكمة لطب وتقويم الأسنان، يمكن الوصول إلى حلول علاجية متكاملة تحقق التوازن بين الصحة والجمال، وتعيد رسم الابتسامة بشكل أكثر انسجامًا وثباتًا.
الأسئلة الأكثر شيوعًا [FAQs] حول هل تقويم الاسنان ضروري
✤ متى احتاج تقويم اسنان؟
يُحتاج تقويم الأسنان عند وجود تزاحم، فراغات، بروز أو تراجع في الأسنان، أو مشاكل في الإطباق تؤثر على المضغ أو النطق، حيث يساعد التقويم على إعادة ترتيب الأسنان بشكل وظيفي وجمالي وتحسين صحة الفم بشكل عام.
✤ ما هو السن المناسب لتركيب تقويم اسنان؟
لا يوجد سن محدد ثابت، لكن يُفضل البدء في سن مبكرة بعد ظهور الأسنان الدائمة، وغالبًا بين 10 إلى 14 عامًا، مع إمكانية العلاج في أي عمر للكبار حسب الحالة الصحية للفم.
✤ كم مدة تقويم الأسنان الأمامية؟
تتراوح مدة تقويم الأسنان الأمامية من عدة أشهر إلى حوالي سنة، وذلك حسب درجة الاعوجاج واستجابة الأسنان للعلاج، وقد تكون أقصر في الحالات البسيطة وأطول في الحالات الأكثر تعقيدًا.
✤ هل يوصى بخلع الأسنان قبل التقويم؟
يُوصى بخلع الأسنان فقط في بعض الحالات مثل التزاحم الشديد أو عدم توفر مساحة كافية لترتيب الأسنان، ويُحدد ذلك بعد فحص دقيق من طبيب التقويم لتجنب التأثير على الإطباق.
✤ هل تقويم الاسنان يؤلم؟
قد يسبب التقويم شعورًا بالضغط أو الألم الخفيف في الأيام الأولى أو بعد التعديلات، وهو ألم مؤقت ناتج عن حركة الأسنان، ويمكن التحكم فيه باستخدام وسائل بسيطة ومسكنات خفيفة.
✤ متى تبدأ الأسنان تتحرك بعد التقويم؟
تبدأ الأسنان في التحرك تدريجيًا خلال الأيام الأولى بعد تركيب التقويم، لكن التغيرات الملحوظة تحتاج إلى أسابيع، حيث تتم الحركة بشكل بطيء ومنتظم لضمان استقرار النتائج.
✤ كيف يمكن تخفيف الألم الناتج عن تقويم الأسنان؟
يمكن تخفيف الألم باستخدام مسكنات يوصي بها الطبيب، وتناول أطعمة لينة، واستخدام كمادات باردة، بالإضافة إلى الالتزام بتعليمات العناية الفموية لتقليل الالتهاب والانزعاج.
✤ ما هي العوامل التي تسبّب الألم في علاج تقويم الأسنان؟
ينتج الألم عن ضغط الأجهزة على الأسنان لتحريكها، وتغير الأنسجة المحيطة، بالإضافة إلى احتكاك الحاصرات مع اللثة أو الخدود، وهي عوامل طبيعية مرتبطة بعملية العلاج.
✤ كيف يمكن التخلص من الألم بعد تقويم الاسنان؟
يمكن تقليل الألم تدريجيًا مع التكيف، واستخدام مسكنات بسيطة عند الحاجة، والحرص على تناول أطعمة لينة، مع استخدام الشمع الطبي لتقليل الاحتكاك في الفم.
✤ هل تركيب التقويم يحتاج بنج
لا يحتاج تركيب التقويم إلى بنج لأنه إجراء غير مؤلم، ويتم تثبيت الحاصرات والأسلاك بدون تدخل جراحي، وقد يشعر المريض فقط بانزعاج بسيط أثناء وبعد التركيب.
✤ هل تقويم الاسنان ضروري
يُعد تقويم الأسنان ضروريًا في الحالات التي تعاني من اختلال في ترتيب الأسنان أو مشاكل في الإطباق تؤثر على الوظيفة أو الصحة الفموية، بينما قد لا يكون ضروريًا في الحالات البسيطة التي لا تسبب مشكلات وظيفية، ويعتمد القرار النهائي على تقييم طبي دقيق لكل حالة.