نصائح لأصحاب تقويم الأسنان
العناية بالابتسامة لم تعد رفاهية أو تفصيلًا جماليًا هامشيًا، بل أصبحت جزءًا لا يتجزأ من الصحة العامة وجودة الحياة. ومع التطور الكبير في طب الأسنان، برز تقويم الأسنان كحل ذكي ودقيق لمعالجة مشكلات الاصطفاف، الإطباق، والتناسق الوظيفي والجمالي للفك. هذا المقال موجّه لكل من بدأ رحلته مع التقويم أو يفكر بها، ويقدّم نصائح لأصحاب تقويم الأسنان بأسلوب احترافي يراعي التفاصيل الدقيقة، ويضعك على الطريق الصحيح نحو ابتسامة متوازنة تدوم.
أهمية تقويم الأسنان، لماذا نلجأ اليه؟

تقويم الأسنان ليس مجرد إجراء لتحسين الشكل الخارجي للأسنان، بل هو تدخل علاجي يهدف إلى إعادة التوازن الوظيفي للفم بالكامل. الأسنان غير المنتظمة قد تؤدي إلى صعوبات في المضغ، اضطرابات في النطق، تآكل غير متساوٍ للأسطح السنية، بل وقد تمتد آثارها إلى الصداع وآلام المفصل الفكي الصدغي. اللجوء إلى التقويم يعني الاستثمار في صحة طويلة الأمد، حيث يساعد على:
- تحسين توزيع قوى المضغ بشكل متوازن
- تقليل فرص التسوس والتهاب اللثة الناتج عن صعوبة التنظيف
- تعزيز الثقة بالنفس من خلال ابتسامة متناغمة
- الوقاية من مشكلات مستقبلية أكثر تعقيدًا وتكلفة
في مركز أضواء الحكمة، يتم تصميم خطة التقويم وفق دراسة تشريحية دقيقة، باستخدام أحدث التقنيات الرقمية، ما يجعل تجربة العلاج أكثر راحة وفعالية. وهنا تتجلى نصائح لأصحاب تقويم الأسنان كعامل أساسي لنجاح الخطة العلاجية.
نصائح قبل تركيب التقويم

مرحلة ما قبل تركيب التقويم لا تقل أهمية عن مرحلة العلاج نفسها، فهي الأساس الذي يُبنى عليه نجاح التجربة. الإعداد الجيد يقلل المضاعفات ويُسرّع النتائج. تشمل النصائح الأساسية:
- إجراء فحص شامل للأسنان واللثة والتأكد من خلو الفم من الالتهابات
- علاج أي تسوس أو مشكلات جذرية قبل البدء
- الالتزام بتنظيف احترافي للأسنان لإزالة الجير والبلاك
- مناقشة الخطة العلاجية بالتفصيل مع الطبيب وفهم المدة المتوقعة
- الاستعداد النفسي لتغيرات مؤقتة في الإحساس والمضغ
نصائح بعد تركيب التقويم
بعد تركيب التقويم، تبدأ المرحلة الأهم، حيث يصبح المريض شريكًا فعليًا في نجاح العلاج. الأيام الأولى قد تحمل بعض الانزعاج، لكنه مؤقت ويُدار بسهولة باتباع التعليمات الصحيحة. من أهم الإرشادات:
- الالتزام بنظام غذائي لين في البداية
- تجنب الأطعمة الصلبة أو اللاصقة
- استخدام المسكنات الموصوفة عند الحاجة
- الحفاظ على نظافة فائقة باستخدام أدوات مخصصة للتقويم
- مراجعة الطبيب فور الشعور بأي ألم غير طبيعي
أهم 9 نصائح بعد تركيب التقويم

هذه قائمة تفصيلية تمثل جوهر النجاح في رحلة التقويم، وهي خلاصة الخبرة السريرية الطويلة
- تنظيف الأسنان بعد كل وجبة باستخدام فرشاة تقويم خاصة
- استعمال خيط الأسنان المخصص لإزالة البقايا الدقيقة
- استخدام غسول فم طبي يقلل البكتيريا ويحمي اللثة
- تجنب قضم الأطعمة القاسية مثل المكسرات والثلج
- الامتناع عن العلكة والحلوى اللاصقة
- الالتزام بمواعيد الشد والمتابعة دون تأخير
- عدم العبث بأسلاك أو حاصرات التقويم
- شرب كميات كافية من الماء للحفاظ على صحة الفم
- التحلي بالصبر والالتزام الكامل حتى نهاية الخطة العلاجية
اتباع هذه النقاط لا يضمن فقط نتيجة جمالية مبهرة، بل يحمي من المضاعفات ويقلل مدة العلاج. وهي جوهر نصائح لأصحاب تقويم الأسنان التي يوصي بها أطباء أضواء الحكمة بدقة واهتمام.
تكلفة تقويم الأسنان

تُعد تكلفة تقويم الأسنان من أكثر الأسئلة شيوعًا قبل اتخاذ قرار العلاج، وهي عامل مهم لكنه لا يجب أن يكون المعيار الوحيد للاختيار. فالتقويم ليس إجراءً مؤقتًا، بل استثمار طويل الأمد في صحة الفم، توازن الفك، وجمال الابتسامة.
في المملكة العربية السعودية، توجد أسعار فعلية متداولة يمكن الاستناد إليها كمتوسط تقريبي، مع الأخذ في الاعتبار أن التكلفة النهائية تختلف من حالة لأخرى. بشكل عام، تتراوح أسعار تقويم الأسنان في السعودية كالتالي:
- التقويم المعدني التقليدي يبدأ عادة من 8,000 ريال سعودي وقد يصل إلى 12,000 ريال سعودي، ويُعد الخيار الأكثر شيوعًا وفعالية للحالات البسيطة والمعقدة.
- التقويم الخزفي، الذي يتميز بلونه القريب من لون الأسنان ومظهره الأقل وضوحًا، تتراوح تكلفته بين 12,000 إلى 18,000 ريال سعودي.
- التقويم الشفاف (غير المرئي) يُعد الأعلى تكلفة، حيث تبدأ أسعاره من 15,000 ريال سعودي وقد تصل إلى 30,000 ريال سعودي أو أكثر، حسب مدة العلاج وعدد القوالب المستخدمة.
- بعض الحالات الخاصة أو التقنيات المتقدمة قد تتجاوز تكلفتها 30,000 ريال سعودي عندما تتطلب خطط علاج معقدة أو أجهزة مخصصة.
هذه الأسعار غالبًا تشمل:
- الفحص والتشخيص الأولي
- تركيب التقويم
- جلسات المتابعة الدورية
- التعديلات الأساسية طوال فترة العلاج
في مركز أضواء الحكمة لطب وتقويم الأسنان يتم تحديد التكلفة بعد تقييم دقيق للحالة، مع شرح واضح لكل مرحلة دون أي مصاريف مخفية، إضافة إلى توفير خيارات متعددة وخطط سداد مرنة تناسب مختلف الميزانيات. والأهم أن الالتزام بتعليمات الطبيب وتطبيق نصائح لأصحاب تقويم الأسنان بدقة يساعد على تقليل مدة العلاج، وتجنّب أي إجراءات إضافية قد ترفع التكلفة النهائية.
طريقة الأكل بعد تركيب التقويم

الأكل بعد تركيب التقويم يمر بمرحلة إعادة تعلّم. الفم يحتاج إلى وقت للتكيف، والأسنان تصبح أكثر حساسية في الأيام الأولى، ما يتطلب وعيًا خاصًا بطريقة المضغ ونوعية الطعام. في البداية يُنصح بالالتزام بخيارات غذائية مدروسة:
- تقطيع الطعام إلى قطع صغيرة جدًا لتقليل الضغط على الأسنان
- المضغ ببطء وبالجانبين وليس بالأسنان الأمامية فقط
- تجنب العض المباشر على الأطعمة الصلبة
- استخدام أدوات طعام مناسبة تسهّل التحكم بالحجم
ومع مرور الوقت، يبدأ المريض في استعادة نمط الأكل الطبيعي تدريجيًا، لكن مع الالتزام الدائم بالتعليمات. اتباع نصائح لأصحاب تقويم الأسنان في هذه المرحلة يقلل من الألم، ويحمي التقويم من التلف، ويجعل التكيف أسرع وأكثر سلاسة.
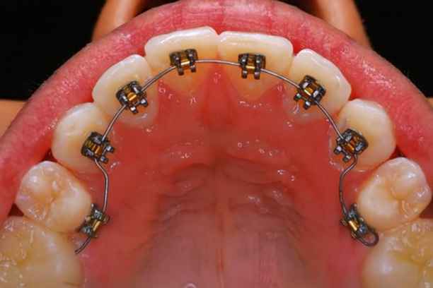
نصائح حول كيفية العناية بأسنانك أثناء ارتداء تقويم الأسنان

العناية بالأسنان أثناء التقويم ليست عادية، بل دقيقة ومضاعفة. وجود الأسلاك والحاصرات يخلق زوايا خفية تتجمع فيها بقايا الطعام، ما يستدعي روتينًا صارمًا. من أهم إرشادات العناية اليومية:
- تنظيف الأسنان بعد كل وجبة وليس مرتين فقط
- استخدام فرشاة مخصصة لتقويم الأسنان ذات شعيرات متدرجة
- الاعتماد على خيط الأسنان الخاص أو الفرش البينية
- استعمال غسول فم طبي يقلل من البكتيريا ويحافظ على اللثة
- فحص التقويم يوميًا للتأكد من ثبات الأسلاك
- مراجعة الطبيب فور ملاحظة أي تهيج غير طبيعي
هذه الخطوات ليست رفاهية، بل ضرورة حتمية لضمان نجاح العلاج. وهنا تتجلى نصائح لأصحاب تقويم الأسنان كقاعدة ذهبية تمنع التسوس، الالتهابات، والتصبغات الدائمة.
الأطعمة التي يجب تجنبها خلال علاج تقويم الأسنان هي

اختيارات الطعام خلال التقويم قد تكون العامل الفاصل بين علاج ناجح وتجربة مليئة بالمشكلات. بعض الأطعمة تشكل خطرًا مباشرًا على سلامة الجهاز. تشمل قائمة الممنوعات:
- الأطعمة القاسية مثل المكسرات الصلبة والثلج
- الحلويات اللاصقة كالعلكة والكراميل
- الخبز القاسي أو المحمص بشدة
- الذرة غير المنزوعة من الكوز
- التفاح والجزر دون تقطيع
- المشروبات السكرية بكثرة
تجنب هذه الأصناف يحافظ على التقويم ويقلل من الزيارات الطارئة للطبيب. الالتزام هنا ليس مؤقتًا، بل جزء أساسي من نصائح لأصحاب تقويم الأسنان التي لا يمكن التهاون بها.
الأطعمة التي يمكن تناولها خلال علاج تقويم الأسنان
في المقابل، هناك خيارات غذائية واسعة تضمن التغذية السليمة دون تعريض التقويم للخطر. من الأطعمة الموصى بها:
- الأطعمة اللينة مثل الأرز والمعكرونة
- الخضروات المطهية جيدًا
- الفواكه اللينة أو المهروسة
- اللحوم المفرومة أو المطهية ببطء
- الزبادي والأجبان الطرية
- الشوربات الدافئة غير الساخنة
هذه الخيارات لا تحافظ فقط على التقويم، بل تضمن توازنًا غذائيًا يدعم صحة اللثة والعظام طوال فترة العلاج.
أعراض بعد تركيب تقويم الأسنان:

ظهور بعض الأعراض بعد التركيب أمر طبيعي ومتوقع، وهي جزء من عملية التكيف البيولوجي للأسنان مع القوى الجديدة. من أكثر الأعراض شيوعًا:
- ألم خفيف إلى متوسط في الأيام الأولى
- إحساس بالضغط أو الشد
- تهيج بسيط في الشفاه أو الخدين
- زيادة إفراز اللعاب مؤقتًا
- صعوبة طفيفة في النطق
هذه الأعراض تزول تدريجيًا مع الالتزام بتعليمات الطبيب. في مركز أضواء الحكمة، تتم متابعة هذه المرحلة بعناية لتخفيف أي انزعاج، تطبيقًا عمليًا لمفهوم نصائح لأصحاب تقويم الأسنان الواقعية.
صور قبل وبعد تقويم الاسنان

رؤية التحول الحقيقي تُحدث فارقًا نفسيًا كبيرًا. صور قبل وبعد تقويم الأسنان ليست مجرد مقارنة شكلية، بل شهادة حية على فعالية العلاج ودقته. في مركز أضواء الحكمة، توثق الحالات بعناية:
- إبراز تحسن الاصطفاف
- تصحيح الإطباق
- استعادة التناسق الطبيعي للابتسامة
- تحسين ملامح الوجه بشكل ملحوظ
هذه الصور تمنح المريض دافعًا للاستمرار، وتؤكد أن الالتزام اليومي يؤتي ثماره في النهاية.
شكل الأسنان الطبيعي بعد تقويم الأسنان

بعد انتهاء العلاج، تصل الأسنان إلى مرحلة الاستقرار الجمالي والوظيفي. الشكل النهائي لا يكون مصطنعًا أو مبالغًا فيه، بل متوازنًا، متناغمًا مع ملامح الوجه. النتيجة المثالية بعد تقويم الأسنان تشمل:
- أسنان مصطفة بدقة دون تزاحم أو فراغات مزعجة، مع توزيع متوازن داخل الفك
- إطباق صحيح يحقق توازنًا بين الفكين العلوي والسفلي، ويقلل الإجهاد العضلي وآلام الفك
- سهولة كبيرة في تنظيف الأسنان يوميًا، ما يقلل من احتمالية التسوس والتهابات اللثة
- ابتسامة طبيعية مريحة للنظر تعكس صحة الفم وتعزز الثقة بالنفس في المواقف الاجتماعية والمهنية
وهنا تتجلى القيمة الحقيقية للالتزام بجميع نصائح لأصحاب تقويم الأسنان منذ اليوم الأول للعلاج وحتى آخر مراجعة، فهذه التفاصيل الصغيرة هي ما يصنع الفارق بين نتيجة جيدة ونتيجة مثالية تدوم لسنوات طويلة.
أفضل مركز لتركيب تقويم الأسنان
اختيار المركز الطبي المناسب لتركيب تقويم الأسنان ليس قرارًا عشوائيًا، بل خطوة محورية تُبنى عليها كل مراحل العلاج ونتائجه النهائية. فمهما كان نوع التقويم متطورًا، فإن غياب الخبرة الطبية والمتابعة الدقيقة قد يؤثر سلبًا على النتائج. لذلك يُعد اختيار المركز حجر الأساس لنجاح تجربة التقويم من بدايتها وحتى نهايتها.
مركز أضواء الحكمة لطب وتقويم الأسنان يُعد من المراكز الرائدة التي تجمع بين العلم، الخبرة، والرؤية الجمالية الدقيقة. يتم التعامل مع كل حالة كملف مستقل، له خصوصيته وخطته العلاجية المصممة بعناية، وليس كإجراء نمطي متكرر. ويتميز مركز أضواء الحكمة بـ:
- أطباء متخصصين في تقويم الأسنان يمتلكون خبرة طويلة في التعامل مع مختلف الحالات البسيطة والمعقدة
- استخدام أحدث تقنيات التقويم سواء التقليدي أو الشفاف، بما يضمن نتائج دقيقة وراحة أكبر للمريض
- وضع خطط علاج مخصصة لكل حالة بناءً على تشخيص شامل وتحليل دقيق للفكين والأسنان
- متابعة دقيقة ومنتظمة في كل مرحلة من مراحل العلاج لضمان سير الخطة بالشكل الصحيح
- بيئة علاجية مريحة وآمنة تراعي راحة المريض النفسية والجسدية
هذا التكامل بين الخبرة، التكنولوجيا، والمتابعة المستمرة يجعل مركز أضواء الحكمة وجهة موثوقة لكل من يبحث عن نتيجة مضمونة وتجربة علاجية راقية تُبنى على أسس علمية صحيحة.
بعض النصائح الإضافية التي يجب وضعها في الاعتبار:

إلى جانب التعليمات الأساسية، هناك مجموعة من التفاصيل اليومية الصغيرة التي قد تبدو بسيطة، لكنها تلعب دورًا جوهريًا في نجاح علاج تقويم الأسنان على المدى الطويل. الالتزام بهذه النقاط يختصر الكثير من الوقت ويقلل من أي مضاعفات محتملة. من أهم هذه النصائح:
- الالتزام بمواعيد المتابعة الدورية دون تأجيل، لأن أي تأخير قد يؤثر على تقدم العلاج
- عدم العبث بأسلاك أو حاصرات التقويم مهما بدا الأمر بسيطًا
- استخدام الشمع الطبي عند الشعور بالاحتكاك أو التهيج لحماية الشفاه والخدين
- شرب كميات كافية من الماء للحفاظ على رطوبة الفم وتقليل تراكم البكتيريا
- التحلي بالصبر وعدم استعجال النتائج، فحركة الأسنان عملية بيولوجية تحتاج إلى وقت
هذه التوصيات تكمل المنظومة العلاجية بشكل متوازن، وتضمن أن تكون رحلة تقويم الأسنان أقل مشقة، وأكثر أمانًا، وأكثر نجاحًا، وصولًا إلى ابتسامة مستقرة تعكس صحة حقيقية وثقة دائمة.
الخلاصة حول نصائح لأصحاب تقويم الأسنان
في الختام، تقويم الأسنان ليس مجرد مرحلة مؤقتة، بل استثمار في صحة دائمة وثقة متجددة. ومع الالتزام الواعي، والمتابعة الصحيحة، وتطبيق نصائح لأصحاب تقويم الأسنان بحرص، تتحول التجربة إلى قصة نجاح حقيقية، عنوانها ابتسامة متوازنة صنعت بعلم وخبرة في مركز أضواء الحكمة لطب وتقويم الأسنان.
الأسئلة الأكثر شيوعًا [FAQs] حول نصائح لأصحاب تقويم الأسنان
✤ متى تبدأ تتحرك الأسنان بعد تركيب تقويم الأسنان؟
تبدأ الأسنان في التحرك فعليًا بعد تركيب التقويم بفترة قصيرة قد تتراوح بين أسبوع إلى ثلاثة أسابيع، لكن هذا التحرك يكون دقيقًا وغير ملحوظ في البداية. حركة الأسنان عملية بيولوجية تدريجية تعتمد على استجابة العظم والأنسجة المحيطة للضغط الخفيف والمستمر الذي يطبقه التقويم، وتختلف سرعتها من شخص لآخر حسب العمر، كثافة العظام، ودرجة التزاحم.
✤ هل المشروبات الساخنة تضر تقويم الأسنان؟
المشروبات الساخنة لا تضر تقويم الأسنان بشكل مباشر، لكنها قد تسبب بعض المشكلات إذا تم الإفراط فيها. الحرارة العالية قد تؤدي إلى تمدد بسيط في الأسلاك أو ضعف المواد اللاصقة في بعض أنواع التقويم، كما أن الإكثار من القهوة والشاي قد يسبب تصبغات حول الحاصرات، لذلك يُنصح بتناولها باعتدال والاهتمام بتنظيف الأسنان بعدها.
✤ متى تتعود على تقويم الأسنان؟
غالبًا ما يبدأ المريض في التعود على تقويم الأسنان خلال فترة تتراوح بين أسبوعين إلى أربعة أسابيع من التركيب. في البداية قد يشعر بانزعاج أو ضغط أو صعوبة بسيطة في الأكل والكلام، لكن هذه الأعراض تقل تدريجيًا مع تعود الفم والأنسجة على وجود التقويم، ويصبح التعامل معه جزءًا طبيعيًا من الروتين اليومي.
✤ ما هي ممنوعات تقويم الأسنان؟
ممنوعات تقويم الأسنان تشمل كل ما قد يؤدي إلى كسر الحاصرات أو ثني الأسلاك أو زيادة خطر التسوس. من أهمها الأطعمة الصلبة جدًا، الحلويات اللاصقة، العلكة، قضم الأقلام أو الأظافر، والعض المباشر على الأطعمة القاسية. الالتزام بهذه التعليمات يحمي التقويم ويجنب الزيارات الطارئة للطبيب.
✤ كيف اكل وانا مركب تقويم؟
الأكل مع التقويم يحتاج إلى بعض التعديلات الذكية، مثل تقطيع الطعام إلى قطع صغيرة، المضغ ببطء، وتجنب العض بالأسنان الأمامية. يُفضل اختيار الأطعمة اللينة أو المطهية جيدًا، خاصة في الفترة الأولى بعد التركيب أو بعد جلسات الشد، مع الحرص على تنظيف الأسنان مباشرة بعد الانتهاء من الأكل.
✤ ما هي تعليمات تقويم الأسنان؟
تعليمات تقويم الأسنان تعتمد على الالتزام اليومي بالعناية والنظام، وتشمل تنظيف الأسنان بعد كل وجبة، استخدام أدوات تنظيف مخصصة للتقويم، الالتزام بمواعيد المتابعة، عدم العبث بالجهاز، واستخدام الشمع الطبي عند الحاجة. هذه التعليمات تضمن سير العلاج بالشكل الصحيح وتساعد على الوصول إلى نتائج مستقرة وجمالية في الوقت المحدد.