كم مدة تقويم الأسنان لسد الفراغات
تعد فراغات الأسنان مشكلة شائعة تؤثر على جمال الابتسامة ووظائف الفم، وقد تكون مصدر قلق نفسي للعديد من الأشخاص. معرفة كم مدة تقويم الأسنان لسد الفراغات تعتبر خطوة أساسية عند التخطيط لأي علاج تقويمي، حيث تختلف المدة حسب حجم الفراغ، نوع التقويم المستخدم، وعمر المريض.
تهدف هذه المقالة إلى تقديم شرح مفصل حول أسباب فراغات الأسنان، طرق علاجها المختلفة، وكيف يمكن للتقويم أن يحل المشكلة بشكل فعال ويضمن نتائج مستدامة. من خلال الفهم العميق لهذه الجوانب، يمكن تحقيق ابتسامة متناغمة وصحية ترفع من الثقة بالنفس.
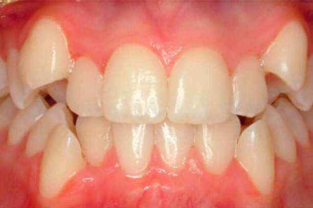
ما هي فراغات الأسنان؟

فراغات الأسنان هي المسافات أو الفجوات غير الطبيعية بين الأسنان، والتي قد تظهر بشكل واضح عند الابتسامة أو عند غلق الفم. يمكن أن تتكون هذه الفراغات بسبب حجم الأسنان الصغير مقارنة بحجم الفك، أو نتيجة فقدان سن واحد أو أكثر، أو بسبب سوء الاصطفاف الطبيعي للأسنان.
كما تلعب العوامل الوراثية دورًا كبيرًا في ظهور هذه الفراغات، بالإضافة إلى العادات اليومية مثل دفع الأسنان باللسان أو مص الإصبع عند الأطفال. قد تؤثر فراغات الأسنان على الوظائف الفموية مثل المضغ والنطق، وتؤثر أيضًا على المظهر الجمالي للابتسامة، مما يجعل سدها بواسطة التقويم أو الإجراءات التجميلية أمرًا مهمًا للحصول على ابتسامة متناسقة وصحة فموية أفضل.
تبغى تقويم بدون إحراج؟ احجز التقويم الشفاف بـ5000 ريال واستلم تقييم شامل وخطة واضحة للمدة والنتيجة.
ما هي أسباب فراغات الأسنان؟
- الوراثة: وجود فراغات بين الأسنان قد يكون مرتبطًا بالعوامل الوراثية وحجم الفك مقارنة بحجم الأسنان.
- فقدان الأسنان المبكر: يؤدي إلى تحرك الأسنان المجاورة وترك فراغات ملحوظة.
- نمو الفك بشكل غير متناسق: قد يترك مساحة أكبر من اللازم بين الأسنان الطبيعية.
- العادات السيئة: مثل مص الإصبع عند الأطفال أو الضغط على الأسنان باللسان لفترات طويلة.
كل هذه العوامل تجعل معرفة كم مدة تقويم الأسنان لسد الفراغات أمرًا ضروريًا لتحديد خطة العلاج المناسبة لكل حالة.
حل مشكلة الفراغات بين الأسنان

- استخدام تقويم الأسنان لتوجيه حركة الأسنان نحو الاصطفاف المثالي.
- اللجوء إلى الفينير للأسنان الأمامية لتحقيق نتائج جمالية سريعة.
- أجهزة التقويم المتحركة أو الشفافة للحالات البسيطة من الفراغات.
- تقييم سبب الفراغات أولًا لتحديد الطريقة المثلى للعلاج.
- إجراء تحليل الإطباق والفك لتجنب أي مشاكل مستقبلية بعد إغلاق الفراغات.
أقرأ أيضاً : فوائد تقويم الأسنان للوجه .
إغلاق فراغات الاسنان بدون تقويم
- الفينير أو القشور الخزفية تغطي الفراغات بشكل دائم مع تحسين لون الأسنان وشكلها.
- الترميمات المؤقتة للحالات الطارئة قبل بدء العلاج التقويمي.
- استخدام أجهزة تقويم شفافة متحركة صغيرة للحالات البسيطة جدًا.
- هذه الطرق مناسبة للفراغات الصغيرة، لكنها لا تعالج مشاكل الاصطفاف المعقدة.
كيف يتم إغلاق الفراغات بين الأسنان أثناء التقويم؟
- تركيب الأقواس أو التقويم الشفاف لتوجيه الأسنان تدريجيًا نحو بعضها البعض.
- استخدام أسلاك وأجهزة شد دقيقة لضمان حركة محسوبة للأسنان دون إلحاق الضرر بالنسج السنية.
- إعادة تقييم الإطباق بانتظام لضبط التقدم وتحقيق نتائج مثالية.
- في بعض الحالات، قد يلزم استخدام مطاطات أو أجهزة إضافية لسد الفراغات الكبيرة أو تصحيح الإطباق.
- الحفاظ على نظافة الفم أثناء العلاج لتجنب التسوس أو التهابات اللثة أثناء حركة الأسنان.
- توجيه الأسنان الأمامية والخلفية بشكل متناسق لإغلاق الفراغات بالكامل مع الحفاظ على الوظائف الفموية الطبيعية.
للاستفسار عن الأسعار والعروض والمواعيد، اكتب لنا على الواتساب وسنرسل لك التفاصيل كاملة بطريقة بسيطة.
كم مدة تقويم الأسنان المعوجة وسد الفراغات؟

كم مدة تقويم الأسنان لسد الفراغات تعتمد على شدة معوجة الأسنان وحجم الفراغات وعمر المريض، وتتراوح عادة بين 6 أشهر إلى سنتين. الحالات البسيطة قد تُغلق الفراغات خلال 6-12 شهرًا، بينما الحالات الأكثر تعقيدًا قد تحتاج 18-24 شهرًا. الالتزام بالمراجعات الدورية ونوع التقويم المستخدم يؤثر بشكل مباشر على سرعة النتائج النهائية.
ما هو تقويم الأسنان الأمامية؟
تقويم الأسنان الأمامية يركز على تنظيم الأسنان الأمامية العليا والسفلى لتحقيق ابتسامة متناسقة وجاذبة. يهدف بشكل أساسي إلى سد الفراغات بين الأسنان الأمامية وتحسين الشكل الجمالي للابتسامة. يستخدم تقنيات مشابهة للتقويم الكامل، لكنه يركز على الأسنان الظاهرة مباشرة عند الابتسام، مما يسهم في تحسين المظهر الجمالي بسرعة نسبية. بالإضافة إلى ذلك، يساعد على رفع مستوى الثقة بالنفس من خلال تحسين ترتيب الأسنان والابتسامة بشكل ملحوظ.
ما أهمية تقويم الأسنان الأمامية؟

- تحسين المظهر الجمالي للوجه والابتسامة.
- تصحيح الفراغات التي تؤثر على النطق ووظائف الفم.
- توجيه حركة الأسنان الأمامية بشكل يحافظ على سلامة الإطباق والفك.
- الحد من تآكل الأسنان بسبب توزيع الضغط غير المتوازن.
- تعزيز التناسق بين الفك والشفاه والفم للحصول على مظهر طبيعي وجذاب.
ابتسامة مرتبة ما تحتاج تأجيل: تقويم معدني قوي وفعّال بـ2200 ريال مع متابعة دورية لضبط التقدم.
ما هي مدة تقويم الاسنان للكبار عموماً؟
الكبار عادة يحتاجون إلى مدة أطول مقارنة بالأطفال والمراهقين بسبب قلة مرونة العظام مع التقدم في العمر. متوسط مدة العلاج للكبار يتراوح بين سنة إلى سنتين حسب تعقيد الحالة، وقد تمتد في بعض الحالات المعقدة إلى أكثر من سنتين لإغلاق الفراغات والفجوات الكبيرة. الالتزام بتعليمات الطبيب والمتابعة الدورية يساعد على تقليل المدة وتحقيق نتائج أفضل. تحديد كم مدة تقويم الأسنان لسد الفراغات يعتمد دائمًا على تقييم طبي شامل قبل بدء العلاج.
ما هو العمر المناسب لتقويم الأسنان؟

العمر المثالي لتقويم الأسنان يتراوح عادة بين 10 و14 سنة، حيث تكون الأسنان الدائمة قد اكتملت والفك لا يزال في مرحلة النمو. عند هذه المرحلة، تكون العظام أكثر مرونة، ما يسهل تحريك الأسنان بسرعة أكبر وبدون مضاعفات كبيرة.
البالغون أيضًا يمكنهم إجراء التقويم، لكن مدة تقويم الأسنان لسد الفراغات قد تكون أطول بسبب صلابة العظام وقلة المرونة. تقييم حالة الفكين واللثة قبل البدء بالعلاج أمر ضروري لتحديد العمر الأمثل لكل مريض.
ما هي خطوات تقويم الاسنان الأمامية؟
- الفحص السريري للسن والفك لتحديد مواضع الفراغات وشدة الزحام.
- إجراء الأشعة السينية البانورامية: لتقييم الأسنان الدائمة، جذورها، وحجم العظم الداعم.
- أخذ صور داخل الفم وخارجه لتوثيق الوضع الحالي ولتخطيط النتائج المتوقعة.
- تصميم خطة علاجية تشمل اختيار نوع التقويم المناسب، سواء كان ثابتًا أو شفافًا.
- تركيب الأقواس وربطها بأسلاك دقيقة لتحريك الأسنان تدريجيًا نحو الإطباق المثالي.
- متابعة التقدم بشكل دوري وضبط قوة الشد على الأسلاك حسب استجابة الأسنان.
- في نهاية المرحلة، تركيب المثبتات لضمان استقرار النتائج.
أقرأ أيضاً : سعر تقويم أسنان شفاف .
كيفية التعامل مع الألم والتورم بعد تقويم الأسنان الأمامية؟

- الشعور بالألم أو الضغط في أول أيام تركيب الأقواس أمر طبيعي نتيجة حركة الأسنان.
- استخدام مسكنات الألم الموصوفة من قبل الطبيب لتخفيف الانزعاج.
- تناول الأطعمة اللينة وتجنب القضم على أطعمة صلبة أو لزجة لتقليل الضغط على الأسنان.
- استخدام كمادات باردة على الخارج لتخفيف التورم والالتهاب.
- الحفاظ على نظافة الأسنان باستخدام فرشاة ناعمة وخيط أسنان مخصص لتجنب التهيج أو التسوس أثناء العلاج.
متى تظهر نتائج تقويم الأسنان الأمامية؟
النتائج الأولية عادة تظهر بعد 6 إلى 8 أسابيع من بداية العلاج، خصوصًا في الحالات البسيطة. التغييرات الأكبر في ترتيب الأسنان والفك تحتاج عدة أشهر، وقد تصل إلى سنة أو أكثر حسب شدة الفراغات.
ما هي مراحل تشخيص حالة الأسنان والفكين؟

- تقييم عدد الأسنان، موقعها، وجود فراغات أو تزاحم.
- استخدام الأشعة السينية البانورامية لتحديد موضع الجذور والعظم الداعم.
- دراسة الصور الفوتوغرافية لتوثيق الوضع الحالي ومقارنته بعد العلاج.
- تحليل الإطباق ووضع خطة لمعالجة أي اختلال في توزيع الأسنان والفك.
- تحديد أفضل نوع تقويم مناسب لحالة المريض.
عرض حشو العصب 450 ريال لفترة محدودة—ثبّت موعدك الآن قبل اكتمال الحجوزات.
ما هي النتائج المتوقعة لتقويم الأسنان الأمامية؟
- سد الفراغات بين الأسنان الأمامية بشكل كامل أو شبه كامل حسب حجم الفراغ.
- تحسين شكل الأسنان الأمامية وتناسق الابتسامة.
- دعم الإطباق الصحيح بين الفك العلوي والسفلي، مما يقلل مشاكل المضغ والتآكل.
- تعزيز جماليات الوجه من خلال تحسين محاذاة الشفاه والفم.
- زيادة الثقة بالنفس بفضل الابتسامة المتناسقة والمظهر الجمالي الطبيعي.
- الحد من التغيرات المستقبلية في الأسنان والفك عند الالتزام بالتعليمات بعد العلاج.
كم مدة تقويم الأسنان للحالات البسيطة؟
الحالات البسيطة من الفراغات أو معوجة الأسنان غالبًا تحتاج من 6 إلى 12 شهرًا لتحقيق النتائج المرجوة. قد تختلف المدة قليلًا حسب استجابة الأسنان للحركة، عمر المريض، ونوع التقويم المستخدم. المتابعة الدورية وتعديل أسلاك التقويم يساهمان في تسريع عملية الإغلاق.
ما هو سبب تزاحم الأسنان؟

- صغر حجم الفك بالنسبة لحجم الأسنان، مما يترك مساحة غير كافية لكل سن.
- الوراثة تلعب دورًا كبيرًا في تحديد حجم الفك وشكل الأسنان.
- فقدان الأسنان اللبنية أو الدائمة مبكرًا يؤدي إلى تحرك الأسنان المجاورة وظهور الزحام.
- العادات السنية مثل مص الإصبع أو دفع الأسنان باللسان لفترات طويلة.
- مشاكل نمو الفك أو سوء الإطباق يمكن أن تسبب اختلال ترتيب الأسنان.
- معرفة سبب الزحام يساعد في تحديد خطة علاجية مناسبة لتقويم الأسنان الأمامية وسد الفراغات بشكل فعال.
- كل هذه العوامل تؤثر على تقدير كم مدة تقويم الأسنان لسد الفراغات بشكل دقيق لكل حالة.
أقرأ أيضاً : سعر حشو أسنان اليوم .
ما أهم النصائح في أثناء تقويم الأسنان؟
- المواظبة على تنظيف الأسنان بعد كل وجبة باستخدام فرشاة ناعمة ومعجون أسنان منخفض الكشط للحفاظ على صحة اللثة والحشوات الوقائية.
- استخدام خيط الأسنان المخصص للتقويم لإزالة البقايا بين الأقواس والأسلاك.
- تجنب قضم الأطعمة الصلبة أو اللزجة مثل الثلج أو الحلوى الصلبة التي قد تؤدي إلى تلف الأقواس أو الأسلاك.
- شرب الماء بكثرة بعد تناول المشروبات الملونة لتقليل التصبغ حول الأقواس.
- ارتداء واقي الفم أثناء الأنشطة الرياضية لتجنب كسور أو صدمات للأسنان والأقواس.
ما هي أفضل منتجات للعناية بتقويم الأسنان؟

- فرشاة أسنان ناعمة أو متوسطة مع تصميم خاص للأقواس والأسلاك.
- خيط أسنان مخصص لإزالة البقايا بين الأسنان والأسلاك.
- معاجين أسنان تحتوي على الفلورايد لتقوية الأسنان وتقليل خطر التسوس أثناء العلاج.
- غسول فم مضاد للبكتيريا للحد من تراكم اللويحة وتحسين صحة اللثة.
- استخدام الشطف بالماء بعد الأطعمة الملونة لتقليل التصبغ والحفاظ على نتائج التقويم.
هل يمكن سد الفجوات بين الأسنان بشكل طبيعي؟
في بعض الحالات البسيطة جدًا، قد تقلص الفراغات جزئيًا نتيجة نمو الأسنان الجديدة أو التغيرات الطبيعية للفك خلال مرحلة المراهقة. العادات الصحية مثل المضغ المنتظم أو تمارين العضلات المحيطة بالفم قد تساعد بشكل محدود في تحسين الاصطفاف، لكن معظم الفراغات تحتاج لتدخل تقويمي لضمان النتائج المستمرة. الاعتماد على الحلول الطبيعية وحدها غالبًا لا يحقق سد الفراغات بشكل كامل، خصوصًا إذا كانت الفراغات واسعة أو مصحوبة بزحام الأسنان.
لذلك يظل السؤال حول كم مدة تقويم الأسنان لسد الفراغات مهمًا لمعرفة الوقت اللازم لتحقيق النتيجة المرجوة باستخدام التقويم.
هل يمكن علاج فراغات الأسنان في المنزل؟

العلاجات المنزلية لا تعدل موضع الأسنان بشكل دائم، لكنها قد تساعد في تحسين صحة الفم وتقليل تفاقم الفراغات الطفيفة. استخدام خيط الأسنان، الغسولات المضادة للبكتيريا، وتجنب العادات الضارة مثل الضغط على الأسنان باللسان قد يقلل من زيادة الفراغات. لا توجد طريقة منزلية فعالة لإغلاق الفراغات الكبيرة أو تعديل الاصطفاف، ويظل التقويم أو الفينير الحل الطبي الأمثل.
لا تؤجل ابتسامتك: تواصل عبر الواتساب لأي سؤال عن تقويم الأسنان وسنساعدك في حجز كشف التقويم خلال دقائق.
هل يمكن تسريع مدة تقويم الأسنان؟
يمكن لبعض الإجراءات الطبية تسريع حركة الأسنان، مثل استخدام أجهزة مساعدة صغيرة أو تقنيات تسريع الحركة بالليزر أو الضغط الخفيف. الالتزام بتعليمات الطبيب بشأن الوجبات، النظافة، وتجنب قضم الأشياء الصلبة يقلل من تأخر العلاج. متابعة مواعيد تعديل الأسلاك والمراجعات الدورية تساعد على تسريع النتائج.
فوائد سد الفراغات

- تحسين جمال الابتسامة وزيادة الثقة بالنفس بشكل ملحوظ.
- تعزيز وظائف الفم، مثل المضغ والنطق بشكل صحيح.
- تقليل مشاكل الإطباق والتآكل غير المتوازن للأسنان.
- تسهيل تنظيف الأسنان والحفاظ على صحة اللثة، وبالتالي الحد من التسوس والالتهابات.
- تعزيز التناسق بين الفك والشفاه والفم، ما يحسن شكل الوجه بشكل عام.
- زيادة استقرار الأسنان على المدى الطويل بعد العلاج.
لماذا تختار عيادات أضواء الحكمة بالدمام؟
- توفر العيادات أحدث تقنيات التقويم، بما في ذلك الأقواس المعدنية والشفافة وأنظمة التسريع الحديثة.
- وجود فريق طبي متخصص ذو خبرة طويلة في علاج الفراغات المعقدة والمشكلات الجمالية للفم.
- استخدام الأشعة السينية البانورامية وتقنيات التصوير الحديثة لتخطيط دقيق للعلاج.
- تقديم خطط علاجية مخصصة لكل حالة مع متابعة مستمرة.
- توفر مختبرات رقمية لتصنيع الأجهزة والتقويم حسب مقاسات دقيقة لكل مريض، مما يحسن النتائج ويختصر مدة العلاج.
- الالتزام بجودة المواد ورضا المرضى، مع متابعة دورية حتى بعد انتهاء فترة التقويم لضمان استقرار النتائج.
سعر تقويم الأسنان لسد الفراغات

تتراوح تكلفة تقويم الأسنان بين الحالات البسيطة والمعقدة حسب حجم الفراغات ونوع التقويم المستخدم. في المملكة العربية السعودية، تبدأ الأسعار من حوالي 4000 ريال للحالات البسيطة باستخدام الأقواس التقليدية، وقد تصل إلى 15000 ريال أو أكثر للحالات المعقدة والتقويم الشفاف.
تركيبات سنية بسعر 500 ريال: رجّع شكل سنّك الطبيعي واستمتع براحة وثقة—احجز موعدك الآن.
الخلاصة حول مدة تقويم الأسنان لسد الفراغات
تحديد كم مدة تقويم الأسنان لسد الفراغات يعتمد على حجم الفراغات، عمر المريض، نوع التقويم، واستجابة الأسنان للحركة. التقويم الأمامي والخلفي يساهم في سد الفراغات، تحسين المظهر الجمالي للابتسامة، وتقليل مشاكل الإطباق والتآكل. الالتزام بالنصائح، استخدام منتجات العناية المناسبة، ومتابعة الطبيب بشكل دوري يضمن نتائج مستقرة وطويلة الأمد، مع تعزيز الصحة العامة للفم والوجه.
الأسئلة الأكثر شيوعًا [FAQs] حول مدة تقويم الأسنان لسد الفراغات
✤ كم مدة تقويم الأسنان الثابت؟
مدة تقويم الأسنان الثابت تعتمد على شدة مشكلة الأسنان وعدد الأسنان المعالجة. غالبًا تتراوح الفترة بين 12 إلى 24 شهرًا لإغلاق الفراغات وتحقيق الاصطفاف المثالي. التزام المريض بمواعيد تعديل الأقواس والنظافة الجيدة يسرع النتائج.
✤ كم مدة تقويم الأسنان المعوجة؟
في الحالات المعوجة البسيطة، يمكن أن يستغرق العلاج حوالي 6 إلى 12 شهرًا، أما المعوجة الشديدة فقد تمتد إلى 18–24 شهرًا. متابعة الطبيب بشكل دوري تضمن تحريك الأسنان بشكل صحيح وتقليل المضاعفات.
✤ كم مدة تقويم الأسنان البارزة؟
الأسنان البارزة تحتاج عادة بين 12 إلى 30 شهرًا، حسب حجم البروز وحالة الفك. استخدام أجهزة مساعدة مثل الأقواس أو الدعامات يمكن أن يقلل الوقت بعض الشيء.
✤ كم مدة تقويم الاسنان الشفاف الانفزالين؟
التقويم الشفاف الانفزالين غالبًا يكون أقل وضوحًا لكنه قد يستغرق مدة مشابهة للتقويم الثابت، بين 12 إلى 24 شهرًا، مع إمكانية تعديل الجداول الزمنية حسب تجاوب الأسنان للحركة.
✤ كم مدة تقويم الاسنان السفلية؟
تقويم الأسنان السفلية فقط يحتاج عادة 6 إلى 18 شهرًا، ويعتمد على شدة الزحام أو الفراغات في الفك السفلي. النتائج تكون أسرع عند الحالات البسيطة.
✤ كم من الوقت يستغرق إغلاق فراغ السن بالتقويم؟
إغلاق فراغ السن عادة يستغرق من 6 إلى 12 شهرًا للحالات البسيطة، بينما قد تحتاج الفراغات الكبيرة إلى 18 شهرًا أو أكثر، مع متابعة دقيقة من قبل طبيب الأسنان.
✤ كم سعر تقويم الأسنان لسد الفراغات؟
تتراوح أسعار تقويم الأسنان لسد الفراغات في السعودية بين 4000 ريال للحالات البسيطة وحتى 15000 ريال للحالات المعقدة أو استخدام التقويم الشفاف. السعر يعتمد على خبرة الطبيب ونوع التقويم والتقنيات المستخدمة.
✤ هل التقويم يعالج فراغات الأسنان؟
نعم، التقويم هو الحل الطبي الأكثر فاعلية لسد الفراغات بين الأسنان سواء كانت بسيطة أو كبيرة، ويعمل على تحسين الاصطفاف والتوازن بين الفكين.
✤ كم من الوقت يستغرق تقويم الأسنان لعلاج الفراغات بين الأسنان؟
عادةً يستغرق من 12 إلى 24 شهرًا حسب حجم الفراغات وشدة الزحام أو اختلال الإطباق، وقد تختلف حسب استجابة الأسنان للعلاج.
✤ كم يستغرق وقت تركيب التقويم؟
تركيب التقويم الثابت عادة يستغرق حوالي ساعة إلى ساعتين في الجلسة الأولى، بينما التقويم الشفاف الانفزالين يمكن تركيبه خلال جلسة أقصر مع تعليمات متابعة دقيقة.
✤ كم مدة تقويم الأسنان الفك العلوي فقط؟
تقويم الأسنان للفك العلوي فقط يحتاج غالبًا 6 إلى 18 شهرًا، حسب حالة الفراغات أو البروز، مع متابعة دورية للتأكد من استقرار الأسنان وتحقيق النتائج المرجوة.