سعر خلع الضرس
يعد خلع الأسنان من الإجراءات الشائعة في طب الأسنان، ولكنه يحتاج إلى فهم دقيق للتقنيات المتاحة والتكلفة المرتبطة بكل حالة. تختلف العملية باختلاف طبيعة الضرس، الحالة الصحية للفم، وأسباب الخلع سواء كانت تسوسًا عميقًا، التهابات، أو مشاكل تقويمية. إن معرفة سعر خلع الضرس والعوامل التي تحدده تساعد المريض على التخطيط المالي والاستعداد النفسي والإجرائي قبل الزيارة إلى العيادة.
خلع الأسنان

خلع الأسنان هو إجراء طبي يُستخدم لإزالة الأسنان التالفة، المتضررة، أو الضروس المطمورة التي تسبب مشاكل صحية أو ألمًا مزمنًا. يعتمد نوع الخلع على حالة السن ومكانه داخل الفم، ويُصنّف عادة إلى خلع عادي وبسيط، أو خلع جراحي معقد يتطلب تدخلًا أوسع. من أبرز مواقف اللجوء إلى خلع الأسنان:
- الأسنان المتضررة بشدة: مثل الأسنان المتكسرة أو المتآكلة التي لا يمكن ترميمها.
- الضروس المطمورة أو ضرس العقل: والتي تنمو بزاوية غير صحيحة أو تسبب مشاكل في الفك.
- العدوى أو خراج الأسنان: الذي لا يستجيب للعلاج التحفظي مثل المضادات الحيوية أو حشو الجذور.
- ازدحام الأسنان: أحيانًا يُخلع سن لإنشاء مساحة ضرورية لترتيب الأسنان في حالات تقويم الأسنان.
- مشاكل اللثة: التي تؤثر على ثبات الأسنان وتجعل الخلع ضروريًا للحفاظ على صحة الفم.
خلع الأسنان يتم بعد فحص دقيق لتحديد أفضل حل لحالتك وتقليل الألم قدر الإمكان—احجز موعدك الآن.
تكلفة خلع الأسنان في الدمام

تتراوح سعر خلع الضرس في الدمام حسب نوع الضرس، التقنية المستخدمة، وخبرة الطبيب، بالإضافة إلى مستوى العيادة والمعدات الطبية المتوفرة فيها. على سبيل المثال:
- الخلع البسيط للضرس غالبًا يبدأ من 200 إلى 400 ريال سعودي للضرس الواحد في العيادات العادية، وقد يصل إلى 600 ريال في العيادات الفاخرة.
- الخلع الجراحي أو الضرس المدفون تحت اللثة يحتاج غالبًا إلى تكلفة أعلى تتراوح بين 500 و1200 ريال سعودي حسب صعوبة الحالة وتعقيد العملية.
بعض العيادات تقدم أسعارًا شاملة تشمل التخدير والفحوصات الأولية بعد تقييم المريض، ما يجعل سعر خلع الضرس يشمل كافة الخدمات الإضافية. هذه الأسعار تمثل متوسط تكلفة الإجراء في الدمام، لكنها قابلة للارتفاع إذا استدعى الوضع الصحي استخدام أدوات خاصة أو تدخل جراحي معقد.
للحجز السريع عبر الواتساب، أرسل صورة المشكلة أو الأشعة إن وجدت، ونحدد لك أقرب موعد متاح.
العوامل المؤثرة على التكلفة

هناك عدة عناصر تحدد سعر خلع الضرس وتؤثر على التكلفة النهائية للعملية، أهمها:
- نوع الضرس: الأسنان الخلفية، وخاصة ضروس العقل، غالبًا ما تحتاج إلى تدخل جراحي وبالتالي تكلفة أعلى.
- حالة الضرس: وجود تسوس متقدم، التهابات أو ضرس مكسور يزيد من صعوبة الإجراء ويزيد السعر.
- التخدير: التخدير الموضعي العادي أقل تكلفة من التخدير الكامل أو التخدير المتقدم للعمليات الجراحية.
- خبرة الطبيب: كلما زادت خبرة الطبيب وتخصصه في جراحة الفم، ارتفعت التكلفة لكنها تضمن نتائج أفضل وسلامة أعلى.
- مستوى العيادة: العيادات المزودة بأحدث التقنيات الطبية ووسائل التعقيم الفائقة عادةً ما تكون الأسعار فيها أعلى.
- الفحوصات والتحضيرات: تصوير الأشعة والفحوصات المبدئية قبل الخلع تعتبر جزءًا من التكلفة الإجمالية.
أقرأ أيضاً : أفضل علاج لالتهاب اللثة .
ما الفرق بين خلع الضرس العادي والجراحي؟

فهم الفرق بين النوعين يساعد المريض على اختيار الطريقة الأنسب ويؤثر على سعر خلع الضرس:
أولًا: خلع الضرس العادي (البسيط):
- يتم عادة على الأسنان الظاهرة بالكامل في الفم.
- يستخدم الطبيب أدوات قياسية مثل الملاقط والمرفعات لإزالة الضرس.
- غالبًا ما يستغرق بضع دقائق فقط ويحتاج إلى تخدير موضعي بسيط.
- فترة التعافي قصيرة، مع شعور بسيط بعدم الراحة وانتفاخ طفيف.
- التكلفة متوسطة وتبدأ غالبًا من 200 ريال سعودي للضرس الواحد.
ثانيًا: خلع الضرس الجراحي:
- يتم على الضروس المدفونة أو المتأثرة بالتعقيدات مثل ضروس العقل.
- يتطلب استخدام مشرط لفتح اللثة وأحيانًا تقسيم الضرس إلى أجزاء لتسهيل الإزالة.
- يحتاج إلى تخدير موضعي قوي، وأحيانًا تخدير كلي حسب حالة المريض وتعقيد العملية.
- فترة التعافي أطول وقد تحتاج لمضادات حيوية ومسكنات للسيطرة على الألم والالتهاب.
- التكلفة أعلى بشكل ملحوظ وتتراوح بين 500 و1200 ريال سعودي للضرس الواحد حسب الصعوبة.
تنظيف وتبييض الأسنان يجمع لك بين نظافة عميقة ولمعة أجمل—احجز موعدك الآن وخلي ابتسامتك تتكلم.
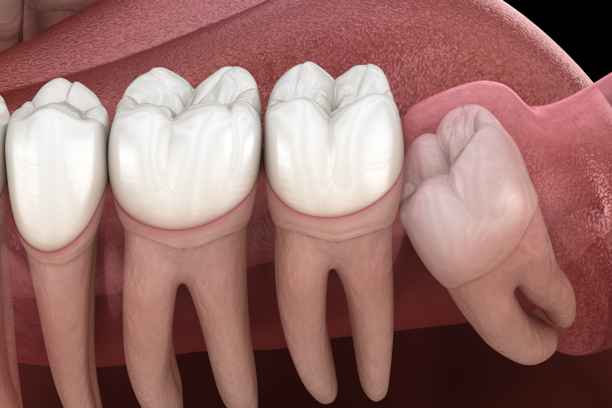
ما هي الأسباب التي تجعل خلع ضرس العقل جراحيًا ضروريًا؟
هناك عدة أسباب تجعل خلع ضرس العقل جراحيًا ضرورة طبية ملحة:
1- الانطمار

الانطمار هو الحالة التي يكون فيها الضرس غير ظاهر في الفم، أي مدفون جزئيًا أو كليًا داخل العظم. هذا النوع من الضروس لا يمكن خلعه بالطريقة التقليدية، ويحتاج إلى تدخل جراحي. تشمل تدابير الخلع في حالات الانطمار:
- استخدام مشرط لفتح اللثة وكشف الضرس.
- إزالة جزء من العظم المحيط بالضرس لتسهيل استخراجه.
- أحيانًا تقسيم الضرس إلى أجزاء لتسهيل الإزالة دون الإضرار بالعظام المجاورة.
- تطبيق التخدير الموضعي أو الكلي حسب حالة المريض.
- متابعة دقيقة بعد العملية للوقاية من العدوى والتورم.
تؤدي هذه التعقيدات إلى زيادة سعر خلع الضرس مقارنة بالخلع البسيط، حيث يتراوح عادة بين 500 و1200 ريال سعودي في الدمام.
2- النمو بزاوية غير صحيحة

ضرس العقل الذي ينمو بزاوية خاطئة يشكل ضغطًا على الأسنان المجاورة، ما يسبب تآكلًا جزئيًا أو إزاحة الأسنان. في هذه الحالة، تشمل خطوات الخلع الجراحي:
- تقييم زاوية نمو الضرس باستخدام الأشعة السينية.
- قطع العظم أو تقسيم الضرس أحيانًا لتقليل الضرر على الأسنان المجاورة.
- تطبيق التخدير المناسب لضمان راحة المريض أثناء العملية.
- متابعة ما بعد العملية لملاحظة أي انحراف أو مشاكل في محاذاة الأسنان.
هذا النوع من الخلع غالبًا ما يجعل سعر خلع الضرس أعلى من المتوسط، نظرًا لتعقيد العملية وحاجة الطبيب لخبرة متقدمة.
3- التهاب اللثة والعدوى

العدوى حول ضرس العقل المنطمر تسبب التهابات متكررة وألم شديد، وقد تؤدي إلى تورم وانتفاخ اللثة وصعوبة فتح الفم. إجراءات الخلع تشمل:
- تنظيف المنطقة المصابة قبل استخراج الضرس لتجنب انتشار العدوى.
- استخدام مضادات حيوية قبل وبعد العملية حسب توصية الطبيب.
- تطبيق تقنيات جراحية دقيقة لتقليل التهيج والنزيف.
- متابعة دورية للتأكد من شفاء اللثة بشكل كامل.
هذه التعقيدات تجعل سعر خلع الضرس أعلى من الخلع البسيط، حيث يحتاج الطبيب لمهارات إضافية وتقنيات خاصة.
أقرأ أيضاً : اعراض ضرس العقل .
4- تكوين الأكياس

أحيانًا يتكون حول ضرس العقل أكياس سائلة أو كيس مملوء بالسوائل، ما قد يؤدي إلى تلف العظم والأسنان المجاورة. خطوات الخلع تشمل:
- تصوير الأشعة لتحديد حجم ومكان الكيس بدقة.
- فتح اللثة وإزالة الكيس قبل استخراج الضرس.
- تنظيف العظم المحيط لضمان عدم ترك أي بقايا قد تسبب العدوى.
- تقديم تعليمات ما بعد العملية لضمان شفاء كامل وتقليل المضاعفات.
وجود الأكياس يزيد من تعقيد العملية وبالتالي يرفع سعر خلع الضرس بشكل ملحوظ.
5- ألم مزمن

الألم المستمر الناتج عن ضرس العقل المنطمر يؤثر على نوعية الحياة اليومية، بما في ذلك النوم والمضغ. يشمل الخلع الجراحي:
- تقييم سبب الألم باستخدام الفحوصات السريرية والأشعة.
- تطبيق التخدير الموضعي أو الكلي لضمان راحة المريض.
- إزالة الضرس بحذر لتجنب إصابة الأعصاب أو الأنسجة المجاورة.
- متابعة استخدام المسكنات والمضادات الحيوية عند الحاجة.
وجود ألم مزمن يجعل العملية أكثر تعقيدًا، ما يرفع من سعر خلع الضرس بالمقارنة مع الخلع الروتيني.
6- صعوبات في الأكل

النمو الخاطئ لضرس العقل قد يجعل المضغ صعبًا، ما يؤثر على الصحة الهضمية والغذائية للمريض. خطوات الخلع تشمل:
- تقييم تأثير الضرس على العضلات والفك.
- استخدام تقنيات جراحية لإزالة الضرس دون إلحاق ضرر بالفك أو الأسنان المجاورة.
- تقديم تعليمات خاصة بعد العملية لتجنب صعوبات الأكل أثناء التعافي.
- متابعة المريض لضمان قدرة الفم على العمل بشكل طبيعي بعد الشفاء.
هذه الصعوبة تجعل سعر خلع الضرس أعلى من المعتاد بسبب الحاجة لمزيد من الدقة والعناية أثناء العملية.
7- تسوس الأسنان

ضرس العقل المنطمر يصعب تنظيفه، ما يزيد من احتمال تسوسه وتلف الأسنان المجاورة. خطوات الخلع تشمل:
- إزالة الضرس بشكل جراحي مع مراعاة حماية الأسنان المحيطة.
- تنظيف أي تسوس أو بقايا ناتجة عن العدوى لمنع انتشارها.
- استخدام المضادات الحيوية ومسكنات الألم بعد العملية حسب الحاجة.
- متابعة ما بعد العملية لضمان شفاء كامل للفم واللثة.
تزداد تكلفة الخلع الجراحي في حالات التسوس، مما يرفع سعر خلع الضرس في الدمام إلى حدود أعلى مقارنة بالخلع العادي.
نوفّر علاجات الأسنان من الحشوات إلى العصب والتركيبات بخيارات تناسب احتياجك—احجز استشارتك.
هل خلع ضرس العقل جراحه مؤلم؟
قد يشعر الكثير من المرضى بالقلق من الألم المصاحب لـ جراحة ضرس العقل. في الحقيقة، الألم أثناء العملية يكون محدودًا للغاية بفضل استخدام التخدير الموضعي أو الكلي، ولكن بعض الحالات قد يشعر المريض بعد انتهاء التخدير بأعراض مزعجة:
- تورم في اللثة والفك نتيجة تحريك الأنسجة والعظام.
- ألم خفيف إلى متوسط يمتد لبضعة أيام بعد العملية.
- حساسية الأسنان المحيطة بالضرس المستخرج.
- ظهور كدمات طفيفة على الوجه أو داخل الفم.
- صعوبة بسيطة في فتح الفم أو المضغ خلال الأيام الأولى.
مع الالتزام بتعليمات الطبيب واستخدام أقوى مسكن بعد خلع الضرس العقل حسب الحاجة، يكون الألم قابلًا للتحمل، مما يجعل التجربة أكثر أمانًا وراحة.
هل جراحه ضرس العقل خطيره؟

رغم أن جراحة ضرس العقل تبدو مخيفة للبعض، إلا أنها تعتبر إجراءً آمنًا نسبيًا إذا تم تنفيذها تحت إشراف طبيب مختص. المخاطر المحتملة محدودة وتشمل:
- نزيف خفيف بعد العملية، غالبًا يتوقف خلال 24 ساعة.
- التهابات موضعية يمكن الوقاية منها بالمضادات الحيوية.
- إصابة الأعصاب في حالات نادرة تؤدي إلى شعور بتنميل مؤقت في الشفة أو الفك السفلي.
- كسر جزئي للضرس أثناء الخلع، ما يستدعي إزالة الأجزاء المتبقية بدقة.
- تورم وألم مؤقت يزول مع مرور أيام قليلة.
هذه المخاطر تُدار بشكل احترافي في أغلب العيادات المتخصصة، ما يجعل سعر خلع الضرس يعكس خبرة الطبيب ومستوى الإجراءات الوقائية المتبعة.
أقرأ أيضاً : عيادات تقويم بجدة رخيصة .
كم تستغرق عملية خلع ضرس العقل؟
تتراوح مدة عملية خلع ضرس العقل بين البسيط والجراحي حسب تعقيد الحالة:
- الخلع البسيط: عادة يستغرق من 15 إلى 30 دقيقة فقط للضرس الواحد.
- الخلع الجراحي: قد يمتد من 45 دقيقة إلى ساعة كاملة، خصوصًا إذا كان الضرس مطمورًا أو منحنيًا.
- الحالات التي تحتاج تقسيم الضرس أو إزالة جزء من العظم المحيط قد تزيد مدة الجراحة قليلاً لضمان سلامة الأسنان المجاورة.
متابعة الإجراءات الوقائية بعد العملية مثل تنظيف المنطقة وتطبيق خيوط جراحية مؤقتة، تستغرق بعض الوقت أيضًا، لكن هذه الخطوات مهمة للشفاء الكامل. مدة العملية تعتبر من العوامل التي تؤثر على سعر خلع الضرس، فكلما زادت مدة الخلع وتعقيد الإجراء، ارتفع السعر بشكل ملحوظ.
أقوى مسكن بعد خلع الضرس العقل
بعد الانتهاء من العملية، يوصي الأطباء باستخدام أقوى مسكن بعد خلع الضرس العقل للتخفيف من الألم والتورم، ويمكن أن تشمل الخيارات:
- الباراسيتامول أو الإيبوبروفين للألم الخفيف إلى المتوسط.
- مزيج من الإيبوبروفين والأسيتامينوفين لتخفيف الألم الشديد حسب وصف الطبيب.
- مضادات الالتهاب الموضعية لتخفيف التورم في منطقة اللثة والفك.
- كمادات باردة على الوجه لتقليل التورم والكدمات.
- الالتزام بنظام غذائي لين خلال أول يومين لتجنب الضغط على مكان الخلع.
توفير مسكن فعال يضمن راحة المريض ويقلل المضاعفات، ويجعل تجربة الخلع أكثر قابلية للتحمل.
كم سعر خلع ضرس العقل؟

يختلف سعر خلع ضرس العقل حسب طبيعة العملية ومستوى العيادة، وفي الدمام على سبيل المثال:
- الخلع البسيط للضرس المستقيم عادة يتراوح بين 300 و500 ريال سعودي.
- الخلع الجراحي للضرس المطمور أو المنحني قد يصل بين 800 و1200 ريال سعودي للضرس الواحد.
- بعض العيادات توفر أسعار مخفضة عند إزالة أكثر من ضرس في جلسة واحدة.
- استخدام التخدير الكلي أو التقنيات الجراحية المتقدمة قد يزيد من تكلفة العملية.
- مراعاة متابعة ما بعد العملية والفحوصات الإضافية جزء من السعر النهائي، لضمان عدم حدوث مضاعفات.
لذلك، يبقى من الضروري سؤال الطبيب عن سعر خلع الضرس قبل تحديد موعد العملية، ليتمكن المريض من التخطيط المالي بشكل مناسب.
للحجز عبر الواتساب: ارسل اسمك + العمر + الخدمة المطلوبة، ونرد عليك بتأكيد الموعد.
الخلاصة حول سعر خلع الضرس
يُعد سعر خلع الضرس جزءًا من استثمارك في صحة الفم والأسنان، فهو يعكس جودة الرعاية الطبية وخبرة الطبيب وتعقيد العملية، سواء كان الخلع بسيطًا أو جراحيًا. تختلف الأسعار حسب نوع الضرس، موقعه، وحالته الصحية، إضافة إلى مستوى العيادة والتقنيات المستخدمة. فهم تكلفة الخلع يساعد المريض على التخطيط المالي واتخاذ قرار واعٍ، ويضمن أن العملية تتم بأمان وفعالية مع تقليل المضاعفات. في النهاية، سعر خلع الضرس ليس مجرد رقم، بل هو مقابل لراحة المريض وصحة فمه على المدى الطويل.
الأسئلة الأكثر شيوعًا [FAQs] حول سعر خلع الضرس
✤ كم من الوقت يستغرق خلع الضرس العادي؟
عادةً ما يستغرق خلع الضرس العادي من 10 إلى 30 دقيقة حسب حالة السن وموقعه، ويُجرى غالبًا تحت تخدير موضعي لتخفيف الألم. العملية سريعة نسبيًا، ويشعر المريض بالضغط فقط دون ألم شديد. يُنصح بعدم تناول الطعام مباشرة قبل الإجراء لتجنب أي مضاعفات.
✤ كم تبلغ تكلفة خلع ضرس العقل؟
تكلفة خلع ضرس العقل تعتمد على نوع العملية وتعقيد الحالة، فالخلع البسيط قد يتراوح بين 300 و500 ريال سعودي، بينما الخلع الجراحي قد يصل إلى 1200 ريال أو أكثر. تشمل التكلفة أيضًا التخدير والفحوصات الأولية والمتابعة بعد العملية لضمان الشفاء الكامل. يُنصح باستشارة الطبيب لتحديد التكلفة الدقيقة حسب حالة الضرس.
✤ ما هو أصعب ضرس في الخلع؟
أصعب ضرس عادةً هو ضرس العقل المطمور أو المائل بزاوية غير صحيحة، لأنه غالبًا مغطى بالعظم أو اللثة، مما يتطلب تدخلًا جراحيًا دقيقًا. يحتاج الطبيب إلى استخدام أدوات متخصصة لتقسيم الضرس وإزالته بأمان. هذا يقلل من خطر إصابة الأسنان المجاورة ويضمن شفاءً أسرع للمريض.
✤ هل يستطيع طبيب الأسنان خلع سن مكسور؟
نعم، يمكن للطبيب خلع السن المكسور غالبًا عن طريق تقسيمه إلى أجزاء صغيرة لتسهيل الإزالة. تُستخدم أدوات وتقنيات دقيقة لتجنب أي مضاعفات محتملة بعد الخلع. بعد العملية، يُنصح باتباع تعليمات الطبيب للحد من الألم وتسريع الشفاء.
✤ هل خلع الضرس يؤثر على شكل الوجه؟
عادةً لا يؤثر خلع الضرس على شكل الوجه بشكل دائم، لكن قد يظهر تورم مؤقت في الخد أو اللثة بعد الإجراء. يختفي هذا التورم خلال أيام قليلة، ولا يغير تعابير الوجه أو بنيته الأساسية. الحفاظ على الراحة وتجنب الضغط على مكان الخلع يساعد على الشفاء السريع.
✤ متى تأكل بعد خلع الضرس؟
يوصى بتجنب الأطعمة الصلبة أو الساخنة خلال أول 24 ساعة بعد العملية لتفادي النزيف أو الضغط على مكان الخلع. يُفضل تناول الأطعمة اللينة مثل الحساء والبطاطس المهروسة. بعد ذلك، يمكن العودة تدريجيًا لتناول الأطعمة العادية حسب تعليمات الطبيب لتجنب أي مضاعفات.
✤ هل يضر خلع الضرس وفيه خراج؟
في حالة وجود خراج في الضرس، غالبًا لا يُؤجل الخلع، بل يتم تنظيف المنطقة أولًا باستخدام مضادات حيوية مناسبة لتقليل خطر العدوى. بعد السيطرة على الالتهاب، يمكن خلع الضرس بأمان. اتباع تعليمات الطبيب بعد العملية يضمن الشفاء السريع ويقلل المضاعفات المحتملة.