كم سعر حشوة الأسنان الأمامية وأفضل الأنواع؟

٣ أبريل ٢٠٢٦
amjad alomari
سعر حشوة الأسنان الأمامية

سعر حشوة الأسنان الأمامية

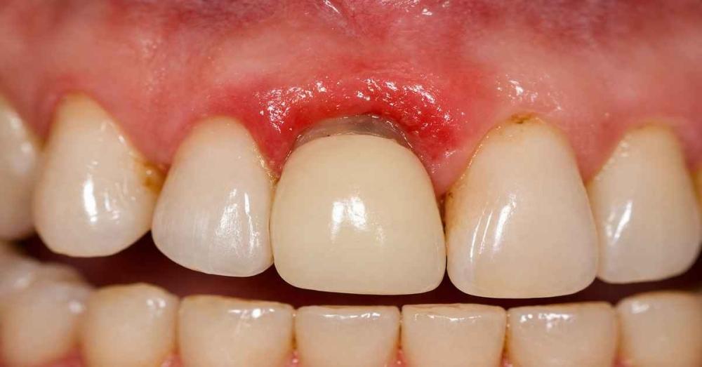
في تفاصيل الوجه الصغيرة تختبئ أسرار الجاذبية، وتأتي الأسنان الأمامية في مقدمة هذه التفاصيل، فهي أول ما يُلاحظ عند الابتسام وأول ما يُحكم عليه عند الحديث. وعندما تتعرض لأي خلل، حتى وإن كان بسيطًا، يبدأ الشعور بعدم الارتياح. هنا يظهر التساؤل الطبيعي حول سعر حشوة الأسنان الأمامية، ليس فقط من باب التكلفة، بل من باب البحث عن أفضل نتيجة ممكنة تجمع بين الجمال والدقة.


ما هي حشوة الاسنان الامامية؟



حشوة الأسنان الأمامية ليست مجرد مادة تُوضع داخل السن، بل هي عملية ترميم دقيقة تهدف إلى استعادة الشكل والوظيفة في آنٍ واحد.

  • تُستخدم لعلاج التلف أو التسوس أو الكسور التي تصيب الأسنان الأمامية، مع الحفاظ على مظهر طبيعي يصعب تمييزه عن الأسنان الأصلية
  • تعتمد على مواد حديثة مثل الكمبوزيت التي تُصمم بدرجات لونية متعددة لتتناسب تمامًا مع لون الأسنان
  • تساعد في تقوية بنية السن ومنع تفاقم المشكلة، مما يطيل عمره ويحافظ على سلامته

هذا الإجراء البسيط ظاهريًا قد يكون الفارق الحقيقي بين ابتسامة عادية وأخرى آسرة.

إنقاذ الضرس أفضل من خلعه 😁 مع حشوة العصب بأحدث التقنيات الطبية .


سعر حشوة الاسنان الامامية في السعودية

تختلف الأسعار بشكل واضح، ويرجع ذلك إلى عدة عوامل تتداخل فيما بينها لتحديد القيمة النهائية للعلاج.

  • يتراوح سعر حشوة الأسنان الأمامية في السعودية بين 150 إلى 500 ريال سعودي في الحالات البسيطة التي لا تتطلب تدخلات إضافية
  • قد يصل السعر إلى 700 ريال سعودي أو أكثر في الحالات التجميلية الدقيقة التي تحتاج إلى مهارة عالية وتقنيات متقدمة
  • تختلف التكلفة أيضًا حسب نوع المادة المستخدمة، فالحشوات التجميلية عالية الجودة تكون أعلى سعرًا لكنها تقدم نتائج تدوم لفترة أطول

في عيادات أضواء الحكمة، يتم تقديم توازن مثالي بين الجودة والتكلفة، مما يجعل سعر حشوة الأسنان الأمامية مناسبًا مقابل القيمة المقدمة.


حشوة الأسنان الأمامية وأنواعها



تتعدد الخيارات المتاحة، ويعتمد الاختيار على الحالة والهدف من العلاج. إليك أبرز أنواع حشوات الأسنان الأمامية:

  • حشوة الكمبوزيت (البيضاء) التي تُعد الخيار الأكثر شيوعًا، حيث تتميز بقدرتها الفائقة على محاكاة لون الأسنان الطبيعي، مما يجعلها مثالية للأسنان الأمامية التي تتطلب دقة جمالية عالية
  • الحشوات الزجاجية التي تُستخدم في بعض الحالات البسيطة، وتتميز بقدرتها على إطلاق الفلورايد الذي يساعد في تقوية الأسنان وحمايتها من التسوس
  • الحشوات التجميلية المتطورة التي تعتمد على تقنيات حديثة تمنح شفافية وتناسقًا عاليًا، مما يجعل النتيجة النهائية أقرب ما تكون إلى الأسنان الطبيعية

اختيار النوع المناسب لا يؤثر فقط على الشكل، بل يلعب دورًا مباشرًا في تحديد سعر حشوة الأسنان الأمامية.

هل لديك سؤال عن خدماتنا؟ 😁 تواصل معنا عبر الواتساب واحصل على استشارة مجانية .


متى تحتاج إلى حشو الأسنان؟



الحاجة إلى الحشو قد تكون ضرورية في عدة حالات، وليس فقط عند الشعور بالألم. الحالات التي تستدعي حشو الأسنان:

  1. تسوس الأسنان: عندما تبدأ طبقات السن بالتآكل نتيجة نشاط البكتيريا، يصبح الحشو ضرورة لإيقاف انتشار التسوس والحفاظ على بنية السن
  2. كسر الأسنان: التعرض لصدمات مفاجئة قد يؤدي إلى كسر جزء من السن الأمامي، مما يتطلب ترميمًا سريعًا للحفاظ على الشكل الجمالي
  3. تآكل الأسنان: نتيجة العادات اليومية مثل الضغط على الأسنان أو تناول الأطعمة القاسية، قد يحدث تآكل يستدعي التدخل
  4. ترميم حشوات قديمة متضررة: الحشوات السابقة قد تتلف مع الوقت، مما يستدعي استبدالها لضمان استمرار الحماية
  5. وجود فجوات أو شقوق في الأسنان: هذه الشقوق قد تتحول إلى بيئة خصبة للبكتيريا، لذلك يتم ملؤها لمنع تطور المشكلة
  6. لتجميل شكل الأسنان: في بعض الحالات، يتم استخدام الحشوات لتحسين المظهر العام للأسنان وإخفاء العيوب البسيطة

كل هذه الحالات تجعل التفكير في سعر حشوة الأسنان الأمامية خطوة ضرورية للحفاظ على صحة وجمال الابتسامة.

لا تؤجل علاج أسنانك ، العلاج المبكر يحميك من مشاكل أكبر وتكاليف أعلى .


نصائح لاختيار الحشوة المناسبة للأسنان الأمامية



اختيار الحشوة المناسبة لا يجب أن يكون قرارًا عشوائيًا، بل يحتاج إلى وعي ببعض المعايير الأساسية.

  • اختيار مادة تتناسب مع لون الأسنان الطبيعي لضمان الحصول على نتيجة جمالية متناسقة لا يمكن تمييزها بسهولة
  • الاعتماد على طبيب ذو خبرة عالية، لأن دقة التنفيذ تلعب دورًا محوريًا في نجاح الحشو واستمراريته
  • مراعاة جودة المواد المستخدمة، حيث تؤثر بشكل مباشر على عمر الحشوة ومقاومتها للتآكل
  • اختيار مركز متخصص مثل أضواء الحكمة، حيث يتم استخدام أحدث التقنيات لضمان نتائج دقيقة ومريحة

اتباع هذه الإرشادات يضمن تحقيق أفضل نتيجة ممكنة مقابل سعر حشوة الأسنان الأمامية.


لماذا تختار عيادات أضواء الحكمة لحشو أسنانك؟

لأن الابتسامة لا تحتمل التجربة، بل تحتاج إلى خبرة حقيقية.

  • فريق طبي متخصص يمتلك خبرة واسعة في مجال الحشوات التجميلية الدقيقة، ويحرص على تحقيق أفضل نتيجة لكل حالة
  • استخدام أحدث الأجهزة والتقنيات التي تضمن دقة عالية في تشكيل الحشوة بحيث تبدو طبيعية تمامًا
  • تقديم استشارات مخصصة لكل مريض لتحديد الحل الأنسب بناءً على حالته وميزانيته
  • بيئة علاجية مريحة تهتم براحة المريض وتجعله يشعر بالاطمئنان طوال فترة العلاج

في عيادات أضواء الحكمة، لا يتم التعامل مع الحشو كإجراء روتيني، بل كعمل دقيق يعيد صياغة الابتسامة بأسلوب احترافي.

فريقنا الطبي جاهز لخدمتك 👨‍⚕️ راسلنا الآن عبر الواتساب لمعرفة التفاصيل والعروض .


ما هي أنواع حشو الأسنان واسعارها



تتعدد أنواع الحشوات بشكل ملحوظ، ويختلف كل نوع في خصائصه وسعره ومدى ملاءمته للأسنان الأمامية أو الخلفية. إليك التفاصيل الكاملة:

  1. حشوة الأملغم (الفضية): تُعد من أقدم أنواع الحشوات وأكثرها استخدامًا في الماضي، وتتراوح أسعارها بين 100 إلى 300 ريال سعودي، وتتميز بصلابتها العالية وقدرتها على تحمل الضغط، لكنها لا تناسب الأسنان الأمامية بسبب لونها الداكن
  2. الحشوة البيضاء (الكمبوزيت): تتراوح أسعارها بين 150 إلى 500 ريال سعودي، وهي الخيار الأكثر شيوعًا للأسنان الأمامية بفضل قدرتها على محاكاة لون الأسنان الطبيعي بشكل دقيق للغاية، مما يجعلها مثالية من الناحية التجميلية
  3. الحشوة الزجاجية (الزجاج الأيوني): تبدأ من 150 إلى 400 ريال سعودي، وتتميز بإطلاق الفلورايد الذي يساعد في حماية الأسنان من التسوس، لكنها أقل صلابة مقارنة بالكمبوزيت
  4. الحشوة الذهبية: تتراوح بين 1000 إلى 3000 ريال سعودي، وتُعد من أقوى الحشوات وأكثرها تحملًا، لكنها نادرة الاستخدام بسبب تكلفتها المرتفعة ومظهرها غير المناسب للأسنان الأمامية
  5. حشوات البورسلين (السيراميك): تبدأ من 500 إلى 1500 ريال سعودي، وتتميز بمظهرها الجمالي العالي ومقاومتها للتصبغات، مما يجعلها خيارًا فاخرًا للأسنان الأمامية

اختيار النوع المناسب يؤثر بشكل مباشر على النتيجة النهائية وكذلك على سعر حشوة الأسنان الأمامية.

أقرأ أيضاً : أسعار خلع الضرس للأطفال .


كيفية اختيار نوع الحشوة المناسب

اختيار الحشوة لا يجب أن يكون عشوائيًا، بل يعتمد على مجموعة من العوامل الدقيقة التي تحدد نجاح النتيجة.

  • مراعاة موقع السن، فالأسنان الأمامية تحتاج إلى مواد تجميلية دقيقة مثل الكمبوزيت أو السيراميك لضمان مظهر طبيعي
  • تحديد الهدف من الحشو، هل هو علاجي بحت أم تجميلي، لأن ذلك يحدد نوع المادة المستخدمة
  • مقارنة العمر الافتراضي لكل نوع، حيث تختلف مدة بقاء الحشوة حسب جودتها وقوة تحملها
  • الاستعانة بطبيب متخصص داخل مركز موثوق مثل أضواء الحكمة لضمان اختيار الحل الأمثل

هذا الاختيار الواعي يضمن تحقيق أفضل نتيجة ممكنة مقابل سعر حشوة الأسنان الأمامية.


خطوات حشو الأسنان في عيادات أضواء الحكمة



في أضواء الحكمة، يتم تنفيذ الحشو وفق خطوات دقيقة تضمن الراحة والدقة.

  1. فحص شامل للأسنان باستخدام تقنيات حديثة لتحديد حجم المشكلة بدقة متناهية
  2. إزالة الجزء التالف من السن بعناية للحفاظ على أكبر قدر ممكن من البنية الطبيعية
  3. تنظيف المنطقة وتعقيمها لمنع أي بكتيريا من التسبب في مشاكل مستقبلية
  4. وضع الحشوة وتشكيلها بدقة عالية لتتناسب مع شكل السن الطبيعي
  5. تلميع الحشوة للحصول على مظهر نهائي متناسق ولامع

كل خطوة تُنفذ باحتراف، مما يجعل تجربة العلاج مريحة ونتيجتها مثالية.

أقرأ أيضاً : حشو أسنان زيركون .


أسعار حشو الأسنان في عيادات أضواء الحكمة

تُقدم عيادات أضواء الحكمة خيارات متعددة تناسب جميع الحالات.

  • تتراوح أسعار الحشوات العادية بين 150 إلى 400 ريال سعودي حسب نوع المادة
  • الحشوات التجميلية المتقدمة قد تصل إلى 700 ريال سعودي في الحالات التي تتطلب دقة عالية
  • يتم تحديد السعر النهائي بعد الفحص لضمان اختيار الأنسب لكل حالة

هذا التنوع في الخيارات يجعل سعر حشوة الأسنان الأمامية مناسبًا مع الحفاظ على جودة عالية.


مدة بقاء الحشوة في الأسنان



تختلف مدة بقاء الحشوة حسب نوعها وطريقة العناية بها.

  • حشوات الكمبوزيت تدوم عادة من 5 إلى 7 سنوات مع العناية الجيدة
  • الحشوات الزجاجية قد تستمر لفترة أقصر تتراوح بين 3 إلى 5 سنوات
  • الحشوات السيراميكية يمكن أن تدوم حتى 10 سنوات أو أكثر

العناية اليومية تلعب دورًا كبيرًا في إطالة عمر الحشوة والحفاظ على نتيجتها.

تخلص من اصفرار الأسنان بسهولة 😁 واستمتع بابتسامة ناصعة مع تبييض الأسنان .


الفرق بين الحشوة المؤقتة والدائمة

  • الحشوة المؤقتة تُستخدم لفترة قصيرة لحماية السن حتى يتم تركيب الحشوة النهائية، وهي أقل صلابة
  • الحشوة الدائمة تُصمم لتدوم لفترة طويلة وتتحمل الضغط اليومي، كما أنها أكثر دقة من حيث الشكل

اختيار النوع المناسب يعتمد على خطة العلاج التي يحددها الطبيب.


مميزات تركيب الحشوات التجميلية للأسنان الأمامية:



  • تمنح مظهرًا طبيعيًا للغاية يجعل الحشوة غير مرئية تقريبًا، مما يحافظ على جمال الابتسامة
  • تساعد في استعادة الثقة بالنفس عند التحدث أو الابتسام
  • تُصمم بدقة لتتناسب مع شكل الأسنان، مما يوفر راحة أثناء الاستخدام
  • مقاومة للتصبغات مقارنة بالأنواع التقليدية .


طريقة تركيب الحشوات التجميلية للأسنان الأمامية:

  1. يتم تنظيف السن وإزالة أي تسوس أو تلف موجود
  2. اختيار لون الحشوة بعناية ليتطابق مع لون الأسنان الطبيعية
  3. وضع المادة التجميلية على طبقات وتشكيلها بدقة عالية
  4. استخدام تقنيات ضوئية لتثبيت الحشوة بشكل قوي
  5. تلميع الحشوة للحصول على مظهر نهائي مثالي .

استعد جمال أسنانك خلال جلسة واحدة ✨ مع الحشوات التجميلية بمظهر طبيعي تمامًا .


نصائح للحفاظ على الحشوات التجميلية للأسنان:



  • تنظيف الأسنان بانتظام باستخدام فرشاة ومعجون مناسب للحفاظ على الحشوة من التآكل
  • تجنب العادات الضارة مثل قضم الأظافر أو فتح الأشياء بالأسنان
  • تقليل تناول المشروبات الملونة التي قد تؤثر على لون الحشوة مع الوقت
  • زيارة الطبيب بشكل دوري لفحص الحشوة والتأكد من سلامتها .


لماذا تختلف أسعار حشوات الأسنان الأمامية من مكان لآخر؟

تختلف الأسعار بشكل ملحوظ، ويرجع ذلك إلى مجموعة من العوامل المتداخلة التي تؤثر على التكلفة النهائية. إليك الأسباب الرئيسية:

  • نوع المادة المستخدمة: تختلف المواد المستخدمة في الحشوات من حيث الجودة والمتانة والمظهر، فالحشوات التجميلية مثل الكمبوزيت أو السيراميك تكون أعلى تكلفة نظرًا لقدرتها على محاكاة الأسنان الطبيعية بدقة عالية
  • خبرة الطبيب: كلما زادت خبرة الطبيب ومهارته في تنفيذ الحشوة بشكل احترافي، ارتفعت التكلفة، لأن النتيجة تكون أكثر دقة واستدامة
  • نوع الحشوة المؤقتة أو الدائمة: الحشوات الدائمة تكون أعلى تكلفة من المؤقتة، نظرًا لقدرتها على تحمل الضغط لفترات طويلة
  • موقع العيادة: تختلف الأسعار حسب موقع العيادة، فالمراكز المتقدمة التي توفر تقنيات حديثة وخدمات عالية الجودة تكون تكلفتها أعلى

كل هذه العوامل تؤثر بشكل مباشر على سعر حشوة الأسنان الأمامية، لذلك من المهم اختيار مركز يجمع بين الجودة والسعر المناسب مثل أضواء الحكمة.


العناية بعد حشو الأسنان



الحشوة ليست نهاية الرحلة، بل بداية مرحلة جديدة تتطلب عناية خاصة للحفاظ على النتائج. إليك أهم الإرشادات:

  1. تجنب المضغ على الجانب المعالج: يُفضل تجنب استخدام الجانب الذي تم حشوه لفترة مؤقتة حتى تستقر الحشوة بشكل كامل، مما يمنع تعرضها لأي ضغط قد يؤثر على ثباتها
  2. الامتناع عن الأطعمة القاسية أو اللاصقة: الأطعمة الصلبة أو اللزجة قد تسبب ضغطًا زائدًا على الحشوة، مما قد يؤدي إلى تلفها أو تحركها من مكانها
  3. الحذر من المشروبات الساخنة أو الباردة جدًا: التغيرات المفاجئة في درجة الحرارة قد تسبب حساسية مؤقتة، لذا يُفضل تناول المشروبات بدرجة حرارة معتدلة
  4. الحفاظ على نظافة الفم: تنظيف الأسنان بانتظام باستخدام فرشاة ومعجون مناسب يساعد في حماية الحشوة ومنع تراكم البكتيريا
  5. مراقبة أي علامات غير طبيعية: في حال الشعور بألم مستمر أو حساسية غير معتادة، يجب مراجعة الطبيب فورًا لتقييم الحالة
  6. مراجعة الطبيب دوريًا: الفحص الدوري يساعد في التأكد من سلامة الحشوة واكتشاف أي مشكلة في بدايتها
  7. تقليل العادات المضرة بالأسنان: مثل قضم الأظافر أو استخدام الأسنان في فتح الأشياء، حيث تؤثر هذه العادات سلبًا على الحشوة

الالتزام بهذه التعليمات يضمن الحفاظ على الحشوة لأطول فترة ممكنة ويزيد من قيمة سعر حشوة الأسنان الأمامية.

احجز موعدك خلال ثوانٍ ✨ أرسل رسالة الآن عبر الواتساب وسنخدمك فورًا .


مميزات حشو الأسنان الأمامية في عيادات أضواء الحكمة



الفرق لا يكمن فقط في العلاج، بل في الطريقة التي يتم بها تقديمه.

  • استخدام أحدث تقنيات الحشو التجميلي التي تضمن دقة عالية في الشكل واللون، مما يجعل الحشوة غير ملحوظة تقريبًا
  • فريق طبي متخصص يمتلك خبرة واسعة في التعامل مع الحالات التجميلية الدقيقة، مما يضمن نتائج طبيعية
  • اختيار مواد عالية الجودة تقاوم التآكل والتصبغات، مما يحافظ على مظهر الحشوة لفترة طويلة
  • تقديم استشارات دقيقة لكل مريض لتحديد أفضل خيار يناسب حالته وميزانيته

في أضواء الحكمة، لا يتم التركيز فقط على العلاج، بل على تجربة متكاملة تجعل سعر حشوة الأسنان الأمامية استثمارًا حقيقيًا في الجمال والثقة.


مدّة استمرار حشوة الكومبوزيت التجميلية بعد تركيبها



تعتمد مدة بقاء الحشوة على عدة عوامل، لكن في المتوسط:

  • تدوم حشوات الكمبوزيت التجميلية من 5 إلى 7 سنوات مع العناية الجيدة
  • في بعض الحالات، قد تستمر لفترة أطول إذا تم الالتزام بالتعليمات الطبية وتجنب العادات الضارة
  • جودة التركيب تلعب دورًا أساسيًا، حيث أن التنفيذ الاحترافي داخل مركز متخصص مثل أضواء الحكمة يساهم في إطالة عمر الحشوة

كلما كانت العناية أفضل، زادت مدة الاستفادة من الحشوة، مما يعزز القيمة الفعلية لـ سعر حشوة الأسنان الأمامية.


الخلاصة حول سعر حشوة الأسنان الأمامية

في النهاية، يبقى سعر حشوة الأسنان الأمامية عنصرًا مهمًا، لكنه ليس العامل الوحيد في اتخاذ القرار. الجودة، الدقة، والخبرة هي ما يصنع الفرق الحقيقي. ومع عيادات أضواء الحكمة، تتحول هذه التجربة إلى رحلة مريحة تنتهي بابتسامة أكثر إشراقًا وثقة.


الأسئلة الأكثر شيوعًا [FAQs] حول سعر حشوة الأسنان الأمامية


✤ ما هي أسعار حشو الأسنان الأمامية في السعودية؟

تتراوح أسعار حشو الأسنان الأمامية في السعودية بين 150 إلى 500 ريال سعودي للحشوة الواحدة، وقد تصل إلى 700 ريال سعودي في الحالات التجميلية المتقدمة التي تتطلب دقة عالية ومواد ذات جودة مميزة.


✤ هل يؤثر التدخين على حشوة الأسنان؟

نعم، يؤثر التدخين بشكل مباشر على الحشوات، حيث قد يسبب تغير لونها بمرور الوقت ويُضعف من عمرها الافتراضي نتيجة تراكم المواد الضارة.


✤ هل تؤثر حشوة الأسنان على الحامل؟

حشو الأسنان آمن للحامل في أغلب الحالات، خاصة إذا تم باستخدام مواد آمنة وتحت إشراف طبي، ويُفضل إجراؤه في الثلث الثاني من الحمل.


✤ ما الفرق بين الحشو العادي والتجميلي؟

الحشو العادي يُستخدم لعلاج التسوس فقط وغالبًا لا يهتم بالشكل، بينما الحشو التجميلي يُركز على استعادة الشكل الطبيعي للسن بلون مطابق للأسنان.


✤ كم جلسة تحتاج حشوة الأسنان؟

عادة تحتاج حشوة الأسنان إلى جلسة واحدة فقط، وقد تزيد إلى جلستين في الحالات التي تتطلب علاجًا إضافيًا قبل الحشو.


✤ كم سعر سن واحد على جسر الأسنان؟

يتراوح سعر السن الواحد ضمن جسر الأسنان بين 800 إلى 3000 ريال سعودي حسب نوع المادة المستخدمة مثل البورسلين أو الزيركون.


✤ كم يعيش السن بعد الحشو؟

يمكن أن يعيش السن بعد الحشو لسنوات طويلة، حيث تدوم الحشوة عادة من 5 إلى 10 سنوات حسب نوعها والعناية بها.


✤ هل حشو الأسنان مؤلم؟

لا، حشو الأسنان ليس مؤلمًا في الغالب لأنه يتم تحت تأثير التخدير الموضعي، وقد يشعر المريض بانزعاج بسيط بعد الإجراء.


✤ هل الحشو العادي يحتاج بنج؟

نعم، في أغلب الحالات يتم استخدام التخدير الموضعي أثناء الحشو لتجنب الشعور بالألم وضمان راحة المريض أثناء العلاج.