حشو الاسنان قبل التقويم
لابتسامة ليست مجرد صفٍ منتظم من الأسنان؛ إنها تناغم بصري ووظيفة بيولوجية متكاملة تتطلب تهيئة دقيقة قبل الشروع في أي إجراء تقويمي. كثيرون يظنون أن تركيب التقويم هو الخطوة الأولى في رحلة التعديل، غير أن الحقيقة السريرية تؤكد أن البداية الحقيقية تكمن في معالجة أي بؤر تسوس أو تلف بنيوي قد يتفاقم تحت تأثير القوى التقويمية المستمرة. هنا تتجلى أهمية حشو الاسنان قبل التقويم باعتباره إجراءً تأسيسيًا يضمن بيئة فموية مستقرة وآمنة.
إن حشو الاسنان قبل التقويم ليس خطوة ثانوية، بل هو صمام أمان يحمي الأسنان من مضاعفات قد تعرقل الخطة العلاجية وتطيل مدتها دون داعٍ.
تسوس الأسنان أثناء التقويم

وجود الحاصرات والأسلاك يخلق تضاريس فموية معقدة تحتجز جزيئات الطعام الدقيقة، مما يضاعف احتمالية تكاثر البكتيريا الحمضية. ومع مرور الوقت، قد تتكون بقع بيضاء طباشيرية تمثل المرحلة الأولى من إزالة المعادن. ومن أبرز أسباب تسوس الأسنان أثناء التقويم:
- تراكم اللويحات الجرثومية حول قواعد الحاصرات نتيجة صعوبة الوصول إليها بالفرشاة التقليدية مما يسمح بتكوين بيئة حمضية مستمرة تؤدي إلى تآكل الميناء تدريجيًا وتحوله من سطح أملس إلى بنية مسامية قابلة للنخر.
- الإفراط في تناول السكريات البسيطة والمشروبات الغازية التي تلتصق بالأسلاك المعدنية وتبقى لفترات أطول مقارنة بالأسنان غير المزودة بتقويم مما يزيد من زمن تعرض الميناء للأحماض.
- إهمال استخدام الخيط الطبي المخصص للتقويم أو الفرش البينية الدقيقة التي تم تصميمها خصيصًا للوصول إلى المسافات الضيقة بين السلك وسطح السن.
- ضعف المتابعة الدورية مع الطبيب مما يؤخر اكتشاف التغيرات اللونية أو البقع البيضاء في مراحلها الأولى.
لذلك فإن حشو الاسنان قبل التقويم يختصر الطريق ويمنع تحول المشكلات البسيطة إلى تدخلات علاجية معقدة أثناء ارتداء الجهاز.
تعاني من ألم شديد في الضرس؟ 🦷 حشو العصب يساعد في التخلص من الألم والحفاظ على الضرس .
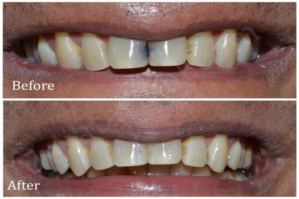
تسوس الأسنان الأمامية قبل وبعد

الأسنان الأمامية هي بطاقة التعريف الجمالية للإنسان، وأي تغير لوني أو تجويف صغير قد ينعكس مباشرة على الثقة بالنفس. قبل التقويم قد يكون التسوس مخفيًا خلف تزاحم أو دوران سنّي يجعل اكتشافه صعبًا، أما بعد التقويم فقد تظهر بقع بيضاء حول أماكن الحاصرات إذا لم تتم الوقاية بشكل صحيح. ومن أبرز الفروقات بين الحالتين:
- قبل التقويم قد يظهر التسوس كنقطة داكنة صغيرة غير مؤلمة لكنها تحمل قابلية للتوسع السريع تحت تأثير القوى التقويمية.
- بعد التقويم قد تتشكل بقع إزالة معادن حول مواضع تثبيت الحاصرات إذا لم يكن المريض ملتزمًا بإجراءات النظافة اليومية الدقيقة.
- في الحالات المتقدمة قد يتطلب الأمر حشوات تجميلية دقيقة تحاكي شفافية الميناء الطبيعية حتى لا يظهر أي اختلاف لوني بعد إزالة الجهاز.
لهذا يُعد حشو الاسنان قبل التقويم خطوة وقائية استراتيجية تحافظ على الجمالية والاستقرار البنيوي للأسنان الأمامية.
للاستفسار أو حجز موعد بسهولة 🦷 راسلنا الآن عبر الواتساب .
أعراض تسوس الأسنان أثناء التقويم

رغم وجود الجهاز، إلا أن هناك مؤشرات لا يجب تجاهلها، ومن أهمها:
- ألم خفيف متقطع يزداد عند المضغ على جهة معينة ويستمر لبضع ثوانٍ ثم يختفي، لكنه يتكرر مع تناول السكريات أو المشروبات الباردة مما يشير إلى بداية تأثر طبقة العاج.
- تغير لون السن إلى بني أو رمادي أو ظهور بقع بيضاء غير لامعة حول الحاصرات المعدنية مع إحساس بخشونة عند تمرير اللسان على سطح السن.
- رائحة فم غير معتادة رغم الالتزام بالتنظيف اليومي مما يدل على نشاط بكتيري موضعي في مناطق يصعب تنظيفها بدقة.
- نزيف لثوي موضعي حول سن محدد نتيجة تفاعل التهابي ناتج عن تراكم البلاك.
أقرأ أيضاً : عروض حشو الأسنان .
علاج وحشو الأسنان أثناء التقويم
عند اكتشاف التسوس أثناء ارتداء التقويم، يتم اتباع خطوات دقيقة تتطلب مهارة عالية حتى لا تتأثر الخطة العلاجية، وتشمل:
- إزالة الجزء النخري باستخدام أدوات دوارة دقيقة تحت عزل مطاطي خاص يمنع تسرب الرطوبة ويحافظ على بيئة جافة لضمان التصاق مثالي لمادة الحشو.
- اختيار مادة كومبوزيت ضوئية ذات مقاومة عالية لقوى الضغط والشد الناتجة عن التقويم لضمان عدم تشققها أو انفصالها.
- إعادة تثبيت الحاصرة إن لزم الأمر بطريقة تحافظ على مسار التحريك المبرمج للأسنان.
ومع ذلك يبقى الخيار الأكثر أمانًا هو حشو الاسنان قبل التقويم لتفادي هذه الإجراءات أثناء العلاج.
أسنان صحية تعني ابتسامة أجمل وثقة أكبر 😁 ابدأ اليوم رحلة علاج الأسنان .
حشو الأسنان الأمامية أثناء التقويم

يتطلب حشو الأسنان الأمامية أثناء التقويم حساسية تجميلية فائقة، حيث يتم اختيار درجات لونية متعددة تُطبّق بطبقات متدرجة تحاكي التدرج الطبيعي للميناء والعاج، مع تلميع نهائي يضمن سطحًا أملسًا يقلل من تراكم اللويحات الجرثومية ويحافظ على بريق الابتسامة طوال فترة العلاج.
كيف يتم تنظيف حشوة الأسنان الأمامية؟
تنظيف الحشوة الأمامية أثناء التقويم يحتاج إلى التزام صارم بإجراءات دقيقة، منها:
- استخدام فرشاة تقويم ناعمة ذات تصميم يسمح بالوصول أسفل السلك المعدني وتحريكها بزاوية مائلة نحو اللثة لإزالة الترسبات الدقيقة.
- تمرير خيط Super Floss المزود بطرف صلب لإدخاله بين السلك والسن ثم تنظيف الجوانب بحركة انسيابية دون ضغط مفرط قد يؤثر على الحشوة.
- الاستعانة بجهاز تنظيف مائي يضخ تيارًا مضغوطًا يزيل الجزيئات العالقة في المناطق الضيقة التي يصعب الوصول إليها يدويًا.
تراكم الجير قد يسبب اصفرار الأسنان ورائحة الفم 🦷 جلسة تنظيف الأسنان من الجير تعيد لابتسامتك النظافة والإشراق .
كيفية الوقاية من تسوس الأسنان أثناء التقويم

الوقاية تتطلب منظومة متكاملة من السلوكيات اليومية، وتشمل:
- تنظيف الأسنان بعد كل وجبة لمدة لا تقل عن دقيقتين باستخدام معجون غني بالفلورايد بتركيز علاجي مناسب لتعزيز إعادة تمعدن الميناء.
- تطبيق جل فلورايد أسبوعي بإشراف طبي لتقوية الطبقة السطحية للأسنان وجعلها أكثر مقاومة للأحماض البكتيرية.
- تقليل السكريات البسيطة والمشروبات الحمضية قدر الإمكان والاعتماد على نظام غذائي متوازن قليل الحموضة.
- الالتزام بالمراجعات الدورية المنتظمة لمراقبة أي تغيرات مبكرة ومعالجتها فورًا.
طرق العناية بالأسنان أثناء التقويم
العناية اليومية تمثل حجر الأساس في نجاح العلاج، وتشمل:
- استخدام فرش بينية بأحجام متعددة لتنظيف المسافات حول الحاصرات والأسلاك بدقة متناهية.
- تجنب قضم الأطعمة الصلبة أو اللزجة التي قد تكسر الحاصرات وتخلق مناطق احتباس جديدة للبكتيريا.
- شرب كميات كافية من الماء لتحفيز إفراز اللعاب الطبيعي الذي يعمل كدرع دفاعي ضد الأحماض.
- الالتزام بجدول متابعة شهري لضبط الجهاز وفحص صحة اللثة والأسنان.
ابتسامة طبيعية وقوة تدوم طويلاً 🦷 مع تركيبات الزيركون لأسنان أكثر جمالًا ومتانة .
أفضل عيادة لعلاج تسوس الأسنان أثناء التقويم

اختيار الجهة العلاجية المناسبة يُحدث فارقًا كبيرًا في مسار العلاج، خاصة عند التعامل مع تسوس يظهر أثناء وجود جهاز تقويمي. العيادة المثالية يجب أن تجمع بين خبرة علاجية وتقويمية متكاملة، وأن تمتلك بنية تقنية متقدمة تسمح بالتشخيص الدقيق دون فك الجهاز بالكامل. ومن المعايير التي تميز أفضل عيادة:
- توفر أجهزة تصوير رقمي ثلاثي الأبعاد تكشف أدق التشققات أو البقع البيضاء الناتجة عن إزالة المعادن، مما يسمح بالتدخل المبكر قبل تحولها إلى تجاويف عميقة.
- استخدام مواد حشو ضوئية عالية المقاومة قادرة على تحمّل الضغط المستمر دون أن تتشقق أو تنفصل عن جدران السن.
- وجود فريق طبي متعدد التخصصات يعمل بتناغم لضمان عدم تعارض العلاج التحفظي مع خطة التقويم.
- تطبيق بروتوكولات تعقيم صارمة تحافظ على بيئة علاجية آمنة.
في مركز أضواء الحكمة لطب وتقويم الأسنان تُطبّق هذه المعايير بدقة احترافية، مع متابعة دورية دقيقة تضمن رصد أي تغيرات مبكرة والتعامل معها فورًا.
أقرأ أيضاً : عيادة أسنان الدمام .
شروط تركيب التقويم على سن مسحوب عصب

تركيب التقويم على سن خضع لعلاج جذور يتطلب تقييمًا متأنّيًا، لأن السن بعد سحب العصب يفقد جزءًا من حيويته الطبيعية ويصبح أكثر عرضة للجفاف البنيوي. لذلك يجب التأكد من استيفاء مجموعة من الشروط الأساسية قبل البدء:
1- حالة السن بعد حشو العصب:
- التأكد من أن الترميم الخارجي محكم الإغلاق، سواء كان حشوة تجميلية متينة أو تلبيسة خزفية داعمة تمنع حدوث كسور طولية دقيقة تحت تأثير القوى التقويمية.
- فحص وجود أي تشقق مجهري قد يتفاقم مع الحركة التدريجية للأسنان.
- تقييم لون السن واستقراره للتأكد من عدم وجود تغيرات تدل على تسرب داخلي.
2- عدم وجود التهابات أو خراج:
- إجراء فحص سريري للتأكد من خلو اللثة والأنسجة المحيطة بالجذر من أي تورم أو ألم عند الضغط.
- التحقق من عدم وجود آفات ذروية قد تتفاقم مع تحريك السن.
- مراقبة أي إفرازات غير طبيعية قد تشير إلى نشاط بكتيري داخلي.
3- سلامة الجذور ودعم العظام:
- تقييم طول الجذر وكثافة العظم المحيط به لضمان تحمّله للقوى التقويمية دون حدوث امتصاص جذري.
- التأكد من عدم وجود فقد عظمي قد يضعف استقرار السن أثناء التحريك.
- دراسة العلاقة بين الجذور المجاورة لتجنب تداخلات ميكانيكية أثناء العلاج.
4- التقييم بالأشعة السينية:
- تحليل جودة الحشو الداخلي ومدى وصوله إلى الذروة الجذرية دون فراغات.
- الكشف عن أي تسرب أو تحلل قد يؤدي إلى التهاب مستقبلي.
- مقارنة الصور الحالية بصور سابقة لرصد أي تغيرات طفيفة.
5- التخطيط المناسب لحركة الأسنان:
- تصميم خطة تحريك تدريجية تقلل الضغط المباشر على السن المعالج عصبًا.
- توزيع القوى بشكل متوازن بين الأسنان المجاورة لتفادي إجهاد موضعي.
- استخدام أسلاك ذات قوة خفيفة في المراحل الأولى لتقليل المخاطر.
6- التأكد من عدم تحلل الحشو الداخلي:
- مراجعة الحشو الجذري دوريًا للتأكد من عدم وجود تسرب بكتيري.
- إعادة علاج الجذور إن لزم الأمر قبل تثبيت الجهاز لضمان الاستقرار الكامل.
- تقييم أي تغيرات لونية قد تشير إلى تحلل داخلي مبكر.
ابتسامة مرتبة تعني ثقة أكبر 😁 ابدأ الآن رحلة تقويم الأسنان نحو ابتسامة مثالية .
أسباب تسوس الأسنان خلال التقويم

وجود التقويم يخلق تضاريس فموية جديدة، زوايا خفية ومسافات دقيقة تتراكم فيها بقايا الطعام دون أن يشعر بها المريض. هذه البيئة قد تتحول إلى بؤرة نشاط بكتيري متسارع إن لم تتم العناية بها بدقة فائقة. ومن أبرز الأسباب:
- تراكم اللويحات الجرثومية حول قواعد الحاصرات نتيجة صعوبة الوصول إليها بالفرشاة التقليدية، مما يسمح بإنتاج أحماض عضوية تهاجم طبقة الميناء وتؤدي إلى إزالة المعادن تدريجيًا.
- استهلاك المشروبات الغازية والعصائر الحمضية التي تلتصق بالأسلاك المعدنية وتبقى لفترات أطول مقارنة بالأسنان غير المزودة بتقويم، مما يزيد من زمن التعرض للأحماض.
- ضعف استخدام الخيط الطبي المخصص للتقويم أو الفرش البينية، الأمر الذي يترك المسافات بين الأسنان بيئة مغلقة غنية بالبكتيريا اللاهوائية.
- إهمال الزيارات الدورية لمتابعة صحة الأسنان، مما يؤخر اكتشاف البقع البيضاء التي تمثل المرحلة الأولى من التسوس.
- جفاف الفم الناتج عن بعض الأدوية أو قلة شرب الماء، مما يقلل من دور اللعاب الطبيعي كحاجز دفاعي ضد الأحماض.
لهذا السبب يصبح حشو الاسنان قبل التقويم خطوة وقائية استراتيجية تقلل من احتمالية حدوث هذه المشكلات منذ البداية.
علاج تسوس الاسنان أثناء التقويم
عند ظهور تسوس خلال فترة العلاج، يتم التعامل معه بحذر بالغ لتجنب التأثير على مسار الخطة التقويمية. وتشمل الإجراءات:
- إزالة الجزء النخري باستخدام أدوات دقيقة تحت عزل مطاطي يمنع تسرب الرطوبة ويضمن التصاقًا مثاليًا لمادة الحشو.
- اختيار مادة كومبوزيت ضوئية مقاومة لقوى الشد والضغط المستمرة الناتجة عن التقويم.
- إعادة تثبيت الحاصرة أو ضبطها إن لزم الأمر لضمان استمرار الحركة المخططة دون انقطاع.
- متابعة استجابة السن في الزيارات الدورية لرصد أي تغيرات مبكرة.
ورغم إمكانية تنفيذ هذه الإجراءات أثناء العلاج، يبقى الخيار الأكثر أمانًا هو حشو الاسنان قبل التقويم لتفادي التعقيدات المحتملة.
أقرأ أيضاً : سعر حشو أسنان .
احتياطات عند تركيب التقويم على سن مسحوب عصبه

السن الذي خضع لعلاج جذور يفقد جزءًا من مرونته الطبيعية ويصبح أكثر عرضة للكسر إن لم يُدعّم بالشكل المناسب، لذلك يجب اتخاذ احتياطات دقيقة قبل تركيب التقويم عليه.
1. فحص السن قبل تركيب التقويم
- إجراء تقييم سريري شامل للكشف عن أي تصدع مجهري أو ضعف في جدران التاج قد يتفاقم تحت تأثير القوى التقويمية المستمرة.
- التأكد من إحكام الحشو الداخلي وعدم وجود فراغات قد تسمح بتسرب بكتيري مستقبلي.
- تحليل الصور الشعاعية للتأكد من سلامة الذروة الجذرية وخلوها من الآفات.
2. تقوية السن قبل بدء التقويم
- تركيب دعامة ليفية داخلية أو تلبيسة خزفية تعزز الصلابة البنيوية وتقلل احتمالية الكسر الطولي.
- استخدام مواد ترميم عالية المقاومة قادرة على تحمّل الضغط التدريجي.
- إعادة تقييم قوة الإطباق لضمان توزيع متوازن للقوى.
3. اختيار نوع التقويم المناسب
- اعتماد أنظمة تقويم ذات احتكاك منخفض تقلل الضغط المباشر على السن المعالج.
- استخدام أسلاك ذات قوة خفيفة في المراحل الأولى لتقليل الإجهاد.
- تصميم خطة تحريك تدريجية تراعي خصوصية الحالة.
4. مراقبة السن أثناء العلاج
- إجراء أشعة دورية لرصد أي تغير جذري أو امتصاص مبكر.
- متابعة أي تغير لوني قد يدل على تسرب داخلي.
- تقييم استجابة السن للحركة في كل زيارة ضبط شهرية.
5. العناية بالفم خلال التقويم
- تنظيف دقيق باستخدام فرش بينية مخصصة للوصول إلى المناطق الضيقة.
- استعمال خيط Super Floss المزود بطرف صلب لإدخاله أسفل السلك وتنظيف الجوانب.
- استخدام غسول فموي غني بالفلورايد لتعزيز إعادة تمعدن الميناء.
كيفية تثبيت التقويم على السن المسحوب عصبه
تثبيت الحاصرة على سن معالج عصبًا يتطلب تقنية دقيقة تضمن توزيع القوى على مساحة أوسع من سطح التاج لتفادي تركيز الضغط في نقطة واحدة، ويتم ذلك عبر:
- استخدام مواد لاصقة متوافقة مع سطح التلبيسة أو الحشوة الخارجية لضمان ثبات مثالي.
- ضبط زاوية الحاصرة بحيث تسمح بحركة تدريجية متوازنة دون إجهاد موضعي.
- التأكد من أن الشد الأولي للأسلاك خفيف ومدروس لتفادي أي ضغط مفاجئ.
لو كنت تؤجل تقويم الأسنان بسبب السعر الآن تقويم الأسنان المعدني 2200 ريال كاش لفترة محدودة .
الاعتبارات الخاصة بعد تركيب التقويم على سن مسحوب عصبه

بعد تثبيت الجهاز، يجب الالتزام بمتابعة دقيقة تشمل:
- مراقبة أي ألم غير معتاد أو إحساس بالضغط الزائد في الأيام الأولى.
- الالتزام بالزيارات الدورية لضبط الجهاز وفحص استجابة السن.
- تجنب المضغ على الأطعمة الصلبة باستخدام السن المعالج خلال المراحل الأولى من العلاج.
- الحفاظ على نظافة فموية صارمة لتجنب أي تسوس ثانوي.
مضاعفات محتملة عند تركيب التقويم على أسنان مسحوب عصبها
رغم إمكانية نجاح العلاج بنسبة عالية عند التخطيط السليم، إلا أن هناك احتمالات يجب أخذها بعين الاعتبار، مثل:
- احتمال حدوث كسر تاجي في حال عدم تدعيم السن بشكل كافٍ قبل بدء العلاج.
- زيادة خطر الامتصاص الجذري إذا لم يتم توزيع القوى بشكل متوازن ومدروس.
- التهاب حول الذروة في حال وجود تسرب داخلي غير مكتشف مسبقًا.
- تغير لوني تدريجي نتيجة ضعف التروية الداخلية.
هنا تتجلى مرة أخرى أهمية حشو الاسنان قبل التقويم كخطوة وقائية تقلل من احتمالية ظهور هذه المضاعفات.
كيفية العناية بأسنانك أثناء التقويم ؟

العناية اليومية تمثل حجر الزاوية في نجاح العلاج واستقرار نتائجه، وتشمل:
- تنظيف الأسنان بعد كل وجبة لمدة لا تقل عن دقيقتين باستخدام فرشاة تقويم ذات تصميم يسمح بالوصول أسفل السلك المعدني وتحريكها بزاوية مائلة نحو اللثة لإزالة الترسبات الدقيقة.
- استخدام خيط مخصص للتقويم مع طرف صلب لإدخاله بين السلك والسن وتنظيف الجوانب بحركات انسيابية دقيقة.
- الاستعانة بجهاز تنظيف مائي يضخ تيارًا مضغوطًا يزيل الجزيئات العالقة في المناطق الضيقة التي يصعب الوصول إليها يدويًا.
- تقليل السكريات اللزجة والمشروبات الحمضية قدر الإمكان والاعتماد على نظام غذائي متوازن قليل الحموضة.
- شرب كميات كافية من الماء لتحفيز إفراز اللعاب الطبيعي الذي يعمل كدرع واقٍ ضد الأحماض.
احجز موعدك خلال ثوانٍ 😁 أرسل رسالة الآن عبر الواتساب .
الخلاصة حول حشو الاسنان قبل التقويم
حشو الاسنان قبل التقويم خطوة أساسية لضمان نجاح العلاج التقويمي، لأنه يعالج التسوس ويقوي بنية الأسنان قبل تعريضها لقوى الشد والتحريك المستمرة، مما يقلل من المضاعفات ويمنع توقف الخطة العلاجية لاحقًا، ويمنح نتائج أكثر ثباتًا وجمالًا، ومع التقييم الدقيق والعلاج المتخصص في مركز أضواء الحكمة لطب وتقويم الأسنان تصبح رحلة التقويم أكثر أمانًا واستقرارًا من البداية وحتى الحصول على الابتسامة المثالية.
الأسئلة الأكثر شيوعًا [FAQs] حول حشو الاسنان قبل التقويم
✤ كيف يتم التعامل مع الأسنان المعالجة عصبيًا أثناء التقويم؟
يتم تقييم السن المعالج عصبيًا سريريًا وبالأشعة للتأكد من سلامة الجذور وعدم وجود التهابات، ثم يُدعَّم عند الحاجة بتلبيسة أو دعامة داخلية، وتُستخدم قوى تقويمية خفيفة ومدروسة مع متابعة دورية دقيقة لضمان تحمّله للحركة دون مضاعفات.
✤ هل يمكن تركيب التقويم بعد سحب العصب؟
نعم، يمكن تركيب التقويم بعد سحب العصب بشرط أن يكون علاج الجذور ناجحًا وخاليًا من الالتهاب، وأن تكون بنية السن قوية أو مدعّمة بشكل كافٍ لتحمّل الضغط التقويمي.
✤ هل يؤثر التقويم على العصب؟
التقويم لا يؤثر على العصب في الأسنان السليمة عند تطبيقه بطريقة صحيحة، لأنه يعتمد على تحريك السن عبر العظم وليس الضغط المباشر على العصب، لكن قد يحدث انزعاج مؤقت في الأيام الأولى نتيجة بدء الحركة.
✤ هل يجب حشو الأسنان قبل تركيب التقويم؟
نعم، يُفضّل علاج أي تسوس أو تلف قبل البدء بالتقويم حتى لا تتفاقم المشكلة تحت الحاصرات والأسلاك، ولضمان بيئة فموية صحية تدعم نجاح العلاج.
✤ هل ينبغي حشو الأسنان قبل تركيب التقويم؟
في حال وجود تسوس أو كسور، يصبح الحشو ضروريًا قبل التقويم لتقوية الأسنان ومنع حدوث آلام أو التهابات أثناء فترة العلاج التقويمي الطويلة.
✤ هل ينفع التقويم للأسنان المحشيه؟
نعم، يمكن تقويم الأسنان المحشية بنجاح طالما أن الحشوة سليمة والسن قوي، وقد يحتاج السن الكبير الحشو إلى تقوية إضافية لضمان ثبات النتائج.
✤ ماذا يفعل الطبيب قبل تركيب التقويم؟
يقوم الطبيب بفحص شامل للأسنان واللثة، وأخذ أشعة وصور قياسية، وعلاج التسوس أو الالتهابات، وتنظيف الأسنان احترافيًا، ثم وضع خطة علاجية دقيقة تحدد نوع التقويم ومدة العلاج المتوقعة.