أنواع الحشوات التجميلية وأسعارها في 2026

٦ يناير ٢٠٢٦
amjad alomari
انواع الحشوات التجميلية

انواع الحشوات التجميلية

تغيرت ملامح طب الأسنان جذريًا خلال العقود الأخيرة. لم يعد الترميم مجرد إجراء لإغلاق فجوة أو إيقاف تسوّس، بل أصبح ممارسة دقيقة تتقاطع فيها الكيمياء الحيوية مع علم المواد والجماليات السريرية.

المريض اليوم يريد نتيجةً متينة، غير مرئية تقريبًا، متناغمة مع لون الأسنان الطبيعي، وقادرة على الصمود أمام الإجهادات الميكانيكية والتبدلات الحرارية داخل الفم.

في هذا السياق، تظهر انواع الحشوات التجميلية كحلولٍ ذكية تُعيد بناء السن دون التضحية بالمظهر. سنستعرض في هذا المقال انواع الحشوات التجميلية بمنهجٍ تحليلي، مع تعمّق في الخصائص، المزايا، القيود، ودلالاتها السريرية.


ما هي حشوات الاسنان التجميلية؟



حشوات الأسنان التجميلية هي مواد ترميمية تُستخدم لإعادة تشكيل بنية السن المتضررة مع محاكاة اللون، الشفافية، والملمس الطبيعي للمينا والعاج. لا تقتصر وظيفتها على سدّ التجاويف، بل تهدف إلى استعادة التشريح الدقيق للأسطح الطاحنة والحواف القاطعة، وتحقيق اندماج بصري يكاد يكون غير قابل للرصد.

ماهي أنواع الحشوات التجميلية للأسنان؟

فيما يلي أبرز انواع الحشوات التجميلية:


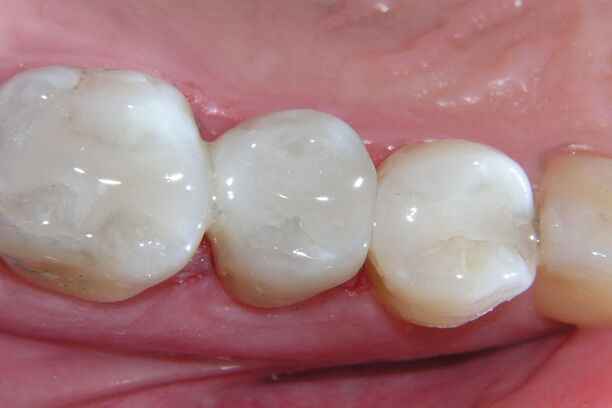
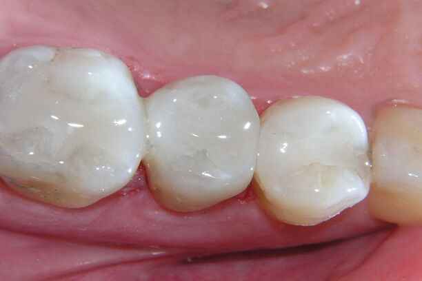
1. حشوة الكمبوزيت



الكمبوزيت مادة راتنجية مدعّمة بجسيمات مالئة ميكرونية أو نانوية، تُطبّق طبقيًا وتُصلّب ضوئيًا، ما يسمح بالتحكم الدقيق في الشكل واللون والشفافية. تُعد من أكثر انواع الحشوات التجميلية شيوعًا بسبب قدرتها العالية على المحاكاة الجمالية.


☆ ماهي مميزات الكومبوزيت؟

  • نحت دقيق لإعادة بناء الأخاديد والحدبات والحواف القاطعة بتشريح ميكروسكوبي.
  • إمكانية الإصلاح الموضعي دون استبدال كامل الحشوة.
  • توافق حيوي عالٍ وانخفاض خطر التفاعلات التحسسية.
  • مرونة في الاستخدام للأسنان الأمامية والخلفية على حدّ سواء.
  • إمكانية دمج ألياف تقوية لتحمل الإجهادات العالية.
  • دمج طبقات بأحجام جسيمية مختلفة لتحسين المقاومة والتلميع.
  • تكلفة متوسطة مقارنة بالحلول الخزفية المصنّعة مخبريًا.


☆ ماهي عيوب حشوات الكومبوزيت؟

  • قابلية التلوّن بمرور الوقت نتيجة امتصاص الصبغات الغذائية إذا لم تُلمَّع وتُحافَظ عليها جيدًا.
  • انكماش البوليمر أثناء التصلّب، ما قد يسبب فجوات دقيقة إن لم تُطبّق تقنيات طبقية دقيقة.
  • مقاومة تآكل أقل من بعض المواد المعدنية أو الخزفية في مناطق التحميل العالي.
  • حساسية تقنية مرتفعة؛ جودة النتيجة تعتمد بشدة على مهارة الطبيب ونظام العزل.
  • احتمال فقدان اللمعان السطحي بمرور الزمن دون صيانة دورية.
  • عمر افتراضي قد يكون أقصر من الخزف في حالات الطحن الشديد.
  • تأثر بالحرارة والرطوبة أثناء التطبيق إذا لم يتم التحكم البيئي بدقة.
  • حاجة إلى إعادة تلميع دوري للحفاظ على المظهر.

راسلنا أو احجز موعدك الآن لتقييم حالتك وتحديد عدد الحشوات التجميلية وتكلفتها قبل بدء العلاج.


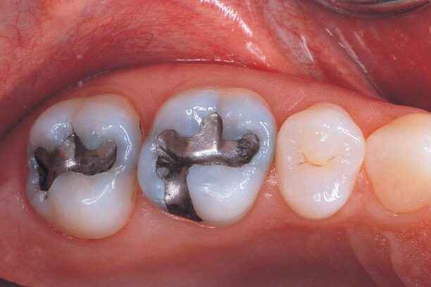
2. الحشوة الفضية



تُستخدم تاريخيًا في ترميمات الأسنان الخلفية، وهي خليط معدني يعتمد على الفضة ضمن مزيج أملغم. ورغم متانتها، فإن حضورها الجمالي محدود مقارنة بـ انواع الحشوات التجميلية الحديثة. تُعرف بقوتها الميكانيكية وقدرتها على تحمّل الضغط، لكنها تفتقر إلى التوافق اللوني مع الأسنان.

  • متانة عالية ومقاومة ممتازة للتآكل.
  • تكلفة منخفضة نسبيًا.
  • سهولة التطبيق في البيئات السريرية المختلفة.
  • مظهر معدني واضح غير متجانس مع لون السن.
  • حاجة إلى تحضير أوسع لإتاحة التثبيت الميكانيكي.
  • قلق لدى بعض المرضى بشأن المكوّنات المعدنية.


3. حشوة السيراميك



الخزف أو السيراميك مادة خزفية تُحضّر غالبًا في المختبر أو عبر أنظمة CAD/CAM داخل العيادة. تُعد من أرقى انواع الحشوات التجميلية من حيث المحاكاة البصرية والاستقرار اللوني.


☆ ما هي مميزات حشوة السراميك؟

  • ثبات لوني طويل الأمد مع مقاومة عالية للتصبغ.
  • شفافية وبريق قريبان من المينا الطبيعية.
  • مقاومة ممتازة للتآكل والخدش.
  • توافق حيوي عالٍ وعدم امتصاص للروائح أو الأصباغ.
  • إمكانية تصنيع ترميمات دقيقة عبر التصميم الرقمي.
  • عمر افتراضي طويل في حال الالتصاق الصحيح.
  • مقاومة كيميائية للعوامل الفموية.
  • سطح أملس يقلّل تراكم اللويحة الجرثومية.
  • خيار مثالي للأسنان الأمامية والترميمات الجمالية الكبرى.


☆ ما هي عيوب حشوة السيراميك؟

  • تكلفة أعلى مقارنة بالكمبوزيت والمواد المعدنية.
  • هشاشة نسبية أمام الصدمات المفاجئة إذا لم يكن التصميم مدروسًا.
  • حاجة إلى تحضير أدق وقد يتطلب إزالة نسج أكثر.
  • صعوبة الإصلاح الموضعي؛ غالبًا ما يستلزم الاستبدال.
  • اعتماد كبير على دقة الالتصاق ونوعية الأسمنت اللاصق.

أقرأ أيضاً : أسعار تركيبة الزيركون .


4. حشوة الأيونومير



الأسمنت الزجاجي الأيوني مادة تتفاعل كيميائيًا مع بنية السن، وتتميّز بإطلاق الفلورايد، ما يمنحها دورًا وقائيًا ضد النكس التسوّسي. ضمن انواع الحشوات التجميلية تُستخدم غالبًا في الحالات التي تتطلب فائدة وقائية إضافية.

  • ارتباط كيميائي مباشر بالمينا والعاج.
  • إطلاق مستمر للفلورايد يحدّ من تطوّر النخور الثانوية.
  • حساسية أقل للتقنية مقارنة بالكمبوزيت.
  • مظهر جمالي مقبول لكنه أقل شفافية ولمعانًا.
  • مقاومة ميكانيكية أدنى في مناطق التحميل العالي.
  • مناسبة لعنق السن والحشوات المؤقتة أو الوقائية.


5. الحشوات المركبة الهجينة



تمزج بين خصائص الكمبوزيت والأيونومير لتحقيق توازن بين الجماليات والوقاية. تمثّل هذه الفئة تطورًا ذكيًا ضمن انواع الحشوات التجميلية.

  • محاكاة لونية أفضل من الأيونومير التقليدي.
  • إطلاق فلورايد بدرجات متفاوتة.
  • مقاومة محسّنة مقارنة بالأيونومير.
  • سهولة التطبيق نسبيًا.
  • متانة أقل من الخزف في حالات الإجهاد المرتفع.
  • مناسبة للترميمات المتوسطة التي تتطلب جمالًا مع فائدة وقائية.

ابتسامة هوليود بــ700 ريال للسن الواحد: غيّر شكل ابتسامتك بتصميم طبيعي ولمعة راقية—احجز استشارتك الآن.


6. حشوات الاملغم



رغم ارتباطها بالمظهر المعدني، لا يزال الأملغم مستخدمًا في بعض البيئات بسبب قوته. إلا أن موقعه بين انواع الحشوات التجميلية محدود من الناحية الجمالية.

☆ ماهي مكونات حشوة الأملغم؟

  • الزئبق كعنصر رابط.
  • الفضة لتعزيز المتانة.
  • القصدير لضبط التفاعل.
  • النحاس لتحسين الخصائص الميكانيكية.
  • نسب دقيقة تُخلط لتشكيل سبيكة متجانسة.


☆ ماهي مميزات حشوة الاملغم؟

  • مقاومة ضغط عالية ومتانة طويلة الأمد.
  • تحمّل ممتاز للظروف الرطبة أثناء التطبيق.
  • تكلفة منخفضة.
  • سجل سريري طويل من الاعتمادية.
  • مناسبة للأسنان الخلفية ذات التحميل المرتفع.


☆ ماهي عيوب حشوة الأملغم؟

  • مظهر معدني واضح يفتقر للجماليات.
  • حاجة إلى تحضير أوسع لإتاحة التثبيت الميكانيكي.
  • مخاوف لدى بعض المرضى بشأن الزئبق.
  • إمكانية تغيّر لون السن المحيط بمرور الزمن.
  • عدم الاندماج البصري مع الأسنان الطبيعية.


7. حشوات الذهب



الذهب مادة ترميمية كلاسيكية تجمع بين المتانة والتوافق الحيوي، لكنها خارج التيار الجمالي السائد. ومع ذلك، تُدرج ضمن انواع الحشوات التجميلية من منظور الاستدامة الوظيفية.


☆ مميزاتها:

  • متانة فائقة ومقاومة عالية للتآكل.
  • توافق حيوي ممتاز وعدم تفاعل مع النسج.
  • دقة تصنيع عالية خاصة في الترميمات المخبرية.
  • عمر افتراضي طويل قد يتجاوز عقودًا.
  • مقاومة للكسر تحت الأحمال الشديدة.


☆ عيوبها:

  • مظهر معدني لا ينسجم مع اللون الطبيعي للأسنان.
  • تكلفة مرتفعة نسبيًا.
  • حاجة إلى تحضير خاص وقد يتطلب إزالة نسج إضافية.
  • قبول جمالي محدود لدى معظم المرضى.


فوائد حشوات الاسنان التجميلية



  • محاكاة لونية طبيعية وشفافية عالية للأسنان.
  • الحفاظ على أكبر قدر من النسج السنية السليمة.
  • تحسين الثقة بالنفس بابتسامة متناغمة.
  • إمكانية الإصلاح الموضعي دون استبدال كامل.
  • توافق حيوي يقلل الحساسية والتهابات اللثة.
  • استعادة التشريح الوظيفي للأسطح الطاحنة.
  • ثبات لوني طويل الأمد ومقاومة للتصبغ والبهتان.

ارسل لنا على الواتساب صورة واضحة للسن/الضرس واذكر مكان الألم إن وجد، وسنخبرك هل الحشوة التجميلية مناسبة لحالتك.


أضرار الحشوات التجميلية:

  • قابلية بعض المواد للتلوّن التدريجي عند إهمال الصيانة أو التعرض للأصباغ.
  • احتمال الانكماش الحجمي إذا لم تُطبّق الطبقات بدقة.
  • حساسية تقنية عالية تتطلب عزلًا مثاليًا لتجنب الفجوات الهامشية.
  • تآكل سطحي أسرع في المناطق ذات التحميل العالي عند المواد الأقل صلادة.
  • احتمال الكسر أو التشقق في المواد الخزفية عند التعرض للصدمات المفاجئة.


مراحل تركيب الحشوات التجميلية للأسنان



  1. تشخيص موقع التسوّس أو الكسر وتحليل الإطباق واللون.
  2. اختيار المادة المناسبة حسب الوظيفة والجمال وخصائص السن.
  3. عزل السن وإزالة النسج المصابة وتحضير الحفرة بدقة.
  4. تطبيق أنظمة الالتصاق أو المعالجة السطحية.
  5. وضع المادة أو الترميم مسبق التحضير وتثبيته.
  6. تشكيل السطح وإعادة بناء الأخاديد والحواف.
  7. التصلّب الضوئي أو الكيميائي حسب المادة.
  8. ضبط الإطباق وتلميع الحشوة لتحقيق بريق طبيعي.

تركيبات الزيركون تمنحك مظهرًا طبيعيًا قريبًا من لون الأسنان مع قوة تحمّل ممتازة للاستخدام اليومي، احجز الأن !


أسعار الحشوات التجميلية في السعودية

تتباين التكلفة وفقًا لنوع المادة، حجم الترميم، موقع السن، خبرة الطبيب، والتقنيات المستخدمة. كما تؤثر جودة المختبر ونوعية المواد اللاصقة على السعر النهائي. وبسبب تعدد انواع الحشوات التجميلية، تتشكّل شرائح سعرية مختلفة تعكس مستوى الجماليات، المتانة، ودقة التنفيذ.

  • الحشوات الراتنجية (الكمبوزيت): 400 – 1200 ريال سعودي للحشوة الواحدة، مناسبة للأسنان الأمامية والخلفية وتوفر مظهرًا طبيعيًا.
  • الحشوات الخزفية (السيراميك): 1200 – 3000 ريال سعودي للحشوة الواحدة، ثبات لوني ومتانة عالية، مثالية للحالات التي تتطلب جمالًا مستمرًا.
  • الحشوات الوقائية أو الهجينة: 300 – 700 ريال سعودي حسب عدد الأسطح ونوع المادة، تستخدم غالبًا للأسنان الخلفية للوقاية مع مظهر مقبول.


تجربتي مع الحشوات التجميلية

كانت تجربتي مع الحشوات التجميلية مريحة ومرضية منذ الجلسة الأولى؛ اختفى اللون الداكن وعاد الانسجام الطبيعي للأسنان دون أي مظهر مصطنع. لم أشعر بألم يُذكر، ومع التعديل الإطباقي الدقيق تحسّن المضغ واستقر الإحساس خلال أيام قليلة. أكثر ما لفتني هو اندماج الحشوة بصريًا مع السن وثبات اللون مع العناية اليومية. تجربة جعلتني أقدّر قيمة الاختيار الصحيح ونوعية المادة والمتابعة الدورية.


الحشوات التجميلية للاسنان الامامية



الأسنان الأمامية هي واجهة الابتسامة، لذا تتطلب أعلى درجات المحاكاة الجمالية. ومع تعدد انواع الحشوات التجميلية، يمكن تحقيق نتائج شبه غير مرئية إذا أُحسن الاختيار والتنفيذ.

  • تدرّج لوني يحاكي المينا والعاج، مع شفافية طرفية طبيعية.
  • إعادة بناء الحواف القاطعة بدقة ميكروسكوبية تحافظ على النطق والمظهر.
  • استخدام طبقات متعددة بأحجام جسيمية مختلفة لتحقيق عمق بصري واقعي.
  • اهتمام خاص بالالتصاق والحواف لمنع تشكّل خطوط ظلّية على المدى البعيد.
  • تلميع احترافي لإبراز اللمعان الطبيعي دون مبالغة.

أقرأ أيضاً : سعر تقويم أسنان شفاف .


الفرق بين الحشوات التجميلية والفينير

رغم تشابه الهدف الجمالي، إلا أن لكل إجراء نطاقه العلاجي وحدوده. فهم الفروق يساعد على اتخاذ قرار مدروس ضمن منظومة انواع الحشوات التجميلية.

  • الحشوات التجميلية: ترمم أجزاء محددة من السن، تحافظ على بنية السن، أقل تدخلًا، أسرع وأقل تكلفة، قابلة للإصلاح الموضعي.
  • الفينير: يغطي السطح الأمامي بالكامل، يستخدم لتعديل اللون والشكل، يتطلب تحضيرًا أوسع، وغالبًا يحتاج للاستبدال الكامل عند التلف.


ما هو افضل نوع حشوة اسنان؟



سؤال الأفضلية لا يُجاب عنه بمادة واحدة تصلح لكل الحالات، بل بمعادلة سريرية تراعي الموقع، حجم الفقد النسجي، نمط الإطباق، والحساسية الجمالية للمريض.

  • للأسنان الأمامية: مواد عالية الشفافية مع قابلية نحت ميكروسكوبي.
  • للأسنان الخلفية: مواد تتحمّل الأحمال وتقاوم التآكل.
  • للحالات الوقائية: مواد تُطلق الفلورايد أو تندمج كيميائيًا مع السن.
  • للحلول طويلة الأمد: خزف مُصنَّع بدقة أو مواد معدنية مختارة بعناية.
  • لاعتبارات الميزانية: حلول راتنجية متوسطة الكلفة مع صيانة دورية.


هل حشو الأسنان مؤلم؟

القلق من الألم شائع، لكن الممارسة الحديثة تقلّل الإحساس إلى حدٍّ كبير عبر التخدير الموضعي وتقنيات العزل الدقيقة. طبيعة الإجراء، وعمق التسوّس، ونوع المادة تؤثر في التجربة.

  • أثناء الإجراء: التخدير يمنع الألم الفعلي، وقد يُشعَر بضغط خفيف فقط.
  • بعد الإجراء: حساسية عابرة للبرودة أو الضغط تزول غالبًا خلال أيام.
  • مع المواد الراتنجية: قد تظهر حساسية حرارية مؤقتة بسبب الانكماش الحجمي الدقيق.
  • مع الخزف: الانزعاج أقل عادة بعد التثبيت إذا كان الإطباق مضبوطًا.
  • عند وجود التهاب عصب سابق: قد يستمر الإحساس لفترة أطول ويحتاج متابعة.

أقرأ أيضاً : كم سعر ابتسامة هوليود .


مضاعفات حشو الأسنان



  • حساسية مستمرة للحرارة أو الضغط بسبب خلل في الإطباق أو فجوات.
  • تلوّن الحواف في المواد الراتنجية مع ضعف التلميع أو التعرض للأصباغ.
  • تشقق أو كسر في المواد الخزفية عند الصدمات أو تصميم غير ملائم.
  • تسوّس ثانوي تحت الحشوة نتيجة تسريب مجهري أو عزل غير مثالي.
  • تهيّج لثوي محيط عند حواف خشنة أو غير مصقولة.
  • تآكل مبكر في مناطق التحميل المرتفع عند اختيار مادة غير مناسبة.


علامات تشير إلى ضرورة استبدال حشوة الأسنان

  • ألم عند العض أو الإطباق يشير إلى كسر أو ارتفاع غير مرئي.
  • تغيّر لون ملحوظ أو خطوط داكنة على الحواف.
  • إحساس بخشونة أو حافة حادة باللسان.
  • رائحة فم موضعية أو طعم معدني غير معتاد.
  • حساسية متزايدة لا تهدأ خلال أسابيع.
  • ظهور فراغ بين الحشوة والسن أو انكشاف جزء من الحافة.
  • كسر جزئي أو تفتّت سطحي بعد صدمة.


أفضل مركز لحشو الأسنان التجميلية بالدمام

اختيار المركز لا يقل أهمية عن اختيار المادة نفسها، فنجاح العلاج يرتبط مباشرة بالبروتوكولات السريرية المتّبعة، مستوى التقنيات الرقمية، وخبرة الفريق الطبي.

وفي هذا الإطار، تُعد عيادات أضواء الحكمة بالدمام من أبرز المراكز المرشحة لمن يبحث عن نتائج متقنة، لما تتميّز به من دمج بين الدقة العلمية والحسّ الجمالي.

عند تقييم المركز المثالي، تُبرز عيادات أضواء الحكمة معايير الجودة التالية:


  • توفير تقنيات العزل المتقدم التي تضمن بيئة عمل جافة ودقيقة، ما يعزّز قوة الالتصاق واستقرار الحشوات على المدى الطويل.
  • استخدام مواد معتمدة عالية الجودة مع تنوّع واسع في الخيارات العلاجية، بما يتيح اختيار الأنسب من بين انواع الحشوات التجميلية لكل حالة على حدة.
  • وجود مختبر رقمي متطور أو تعاون مباشر مع مختبرات متخصصة في الخزف، ما يضمن دقة التصنيع وثبات اللون في الترميمات الخزفية.
  • عرض حالات سريرية موثّقة بصور قبل وبعد تُبرز مستوى المحاكاة الجمالية، وإعادة بناء التشريح الطبيعي للأسنان بدرجة عالية من الواقعية.
  • تقديم خطط متابعة وصيانة وتلميع دوري للحشوات، للحفاظ على البريق السطحي ومنع التصبغ والتآكل المبكر.
  • اعتماد نهج علاجي مخصّص لكل مريض، حيث لا تُقدَّم حلول جاهزة، بل خطط دقيقة تُراعي موقع السن، نمط الإطباق، والمتطلبات الجمالية الفردية.

عرض التقويم المعدني 2200 ريال لفترة محدودة—ثبّت موعدك اليوم قبل اكتمال الحجوزات.


نصائح للعناية بحشوات الاسنان التجميلية



  • تفريش بفرشاة ناعمة ومعجون منخفض الكشط للحفاظ على اللمعان.
  • استخدام الخيط وأدوات التنظيف البيني لمنع تراكم اللويحة عند الحواف.
  • شطف الفم بعد المشروبات الملوّنة وتقليل القهوة والشاي والتدخين.
  • تجنّب قضم الثلج والمكسّرات القاسية.
  • واقٍ ليلي عند وجود صرير أو ضغط لا إرادي.
  • تلميع احترافي دوري لإغلاق المسام السطحية.
  • مراجعة دورية لرصد أي خلل مبكر.


عيوب الحشو التجميلي

  • قابلية التلوّن في بعض الراتنجات دون صيانة.
  • حساسية تقنية عالية تتطلب عزلًا مثاليًا.
  • تآكل أسرع في مناطق التحميل العالي إذا لم تُختَر المادة المناسبة.
  • كلفة أعلى لبعض الحلول المتقدمة مقارنة بالتقليدية.
  • صعوبة الإصلاح الموضعي في بعض الخزفيات.
  • تأثر النتيجة بمهارة الطبيب وجودة المختبر.


شكل الحشوات التجميلية



النجاح الجمالي يُقاس بالاندماج البصري. الشكل ليس لونًا فقط، بل تشريح دقيق، بريق محسوب، وملمس سطحي متوازن. ومع تطوّر انواع الحشوات التجميلية أصبحت النتيجة أقرب للطبيعة من أي وقت مضى.

  • محاكاة التدرّج اللوني بين المينا والعاج دون حدود مرئية.
  • إعادة تشكيل الأخاديد والحدبات بدقة ميكروسكوبية.
  • بريق معتدل يعكس الضوء بطريقة طبيعية لا مصطنعة.
  • حواف ملساء تمنع تراكم اللويحة وتُرضي اللسان.
  • ثبات لوني طويل الأمد في المواد المتقدمة.

لا تتردد—تواصل عبر الواتساب لأي سؤال عن الحشوات التجميلية، وسنساعدك بخطوات واضحة قبل الحجز.


الخلاصة حول انواع الحشوات التجميلية

في النهاية، لا توجد وصفة واحدة تناسب الجميع. القرار الأمثل يولد من تشخيص فردي، واختيار واعٍ ضمن انواع الحشوات التجميلية، والتزام بالعناية والمتابعة. عندما تتكامل هذه العناصر، تتحوّل الحشوة من إجراء علاجي إلى عنصر دائم في ابتسامة متوازنة.


الأسئلة الأكثر شيوعًا [FAQs] حول انواع الحشوات التجميلية


✤ ما هي أفضل أنواع حشو الأسنان؟

لا يوجد نوع واحد يُعد الأفضل لجميع الحالات، بل يعتمد الاختيار على موقع السن، حجم التلف، والمتطلبات الجمالية.


✤ ما هي مدة بقاء الحشو التجميلي؟

تتراوح مدة بقاء الحشو التجميلي عادة بين 5 إلى 10 سنوات، وقد تمتد أكثر مع العناية الجيدة، والتلميع الدوري، وضبط الإطباق. نوع المادة، مهارة الطبيب، وعادات المريض الغذائية تؤثر مباشرة في العمر الافتراضي.


✤ ما هي أفضل أنواع الحشوات التجميلية لسد الفراغات بين الأسنان؟

الكمبوزيت هو الخيار الأكثر شيوعًا لسد الفراغات الصغيرة والمتوسطة بسبب قابليته للنحت ومحاكاة اللون، بينما تُستخدم القشور الخزفية (الفينير) للحالات التي تتطلب تغييرًا شكليًا شاملًا وثباتًا لونيًا طويل الأمد.


✤ ما هي عيوب الحشو التجميلي؟

أبرز العيوب تشمل قابلية بعض المواد للتلوّن بمرور الوقت، والحساسية التقنية أثناء التركيب، واحتمال التآكل في مناطق التحميل العالي إذا لم تُختَر المادة المناسبة. كما أن بعض الترميمات قد تتطلب صيانة دورية للحفاظ على اللمعان.


✤ ما هو سعر حشو الأسنان التجميلي؟

يختلف السعر بحسب نوع المادة وعدد الأسطح وموقع العيادة وخبرة الطبيب. بشكل عام تتراوح حشوات الكمبوزيت بين أسعار متوسطة، بينما تكون الحشوات الخزفية أعلى تكلفة نظرًا لدقة التصنيع وثبات اللون.


✤ ماذا يحدث للحشوات بعد عامين؟

في الغالب تبقى الحشوات بحالة جيدة إذا تم الاعتناء بها، وقد يظهر فقط فقدان بسيط للّمعان أو تصبّغ سطحي خفيف يمكن معالجته بالتلميع. في حال وجود ضغط زائد أو تسريب هامشي، قد يلزم إصلاح موضعي.


✤ هل الحشوات التجميلية تتسوس؟

المادة نفسها لا تتسوّس، لكن يمكن أن يحدث تسوّس ثانوي عند الحواف إذا تراكمت البكتيريا بسبب ضعف العناية أو وجود فجوات مجهرية. التنظيف الجيد والمتابعة الدورية يقللان هذا الخطر بشكل كبير.


✤ الفرق بين الحشو التجميلي والعادي؟

الحشو التجميلي يركّز على محاكاة اللون والشكل الطبيعي للسن مع الالتصاق المباشر والحفاظ على النسج السليمة، بينما يهدف الحشو العادي أساسًا إلى الإغلاق الوظيفي وقد يكون ذا مظهر معدني أو أقل اندماجًا بصريًا.


✤ ما هو سعر حشو البلاتين الأبيض؟

يُقصد به عادة الحشوات الخزفية عالية الشفافية أو الترميمات المتقدمة ذات اللون الفاتح جدًا، وتكون تكلفتها ضمن الفئة المرتفعة مقارنة بالكمبوزيت، نظرًا لدقة التصنيع وثبات اللون وطول العمر الافتراضي.