الحشوات التجميلية لسد الفراغات
في عالم طب الأسنان الحديث، لم تعد العلاجات تقتصر على إزالة الألم أو إيقاف التسوس فحسب، بل أصبحت الجماليات عنصرًا أساسيًا في أي إجراء علاجي. من هنا برزت الحشوات التجميلية لسد الفراغات كحل متطور يعيد للأسنان تناسقها الطبيعي، ويمنح الابتسامة مظهرًا صحيًا ومتوازنًا دون المساس بوظيفة السن أو بنيته الحيوية.
أولًا: ما هي حشوات الاسنان التجميلية؟

حشوات الأسنان التجميلية هي مواد طبية مصممة خصيصًا لترميم الأسنان المتضررة أو سد الفراغات الناتجة عن التسوس أو التآكل أو الكسور البسيطة، مع الحفاظ على اللون والشكل الطبيعي للسن. تمتاز هذه الحشوات بقدرتها على الاندماج البصري مع الأسنان المجاورة، مما يجعلها خيارًا مثاليًا للأشخاص الباحثين عن حلول غير ملحوظة. وتعتمد فعاليتها على دقة التطبيق وجودة المادة المستخدمة، خاصة عند استخدام الحشوات التجميلية لسد الفراغات في المناطق الأمامية الحساسة من الفم.
الحشوات التجميلية تعالج التسوس وتعيد شكل السن الطبيعي بلون قريب جدًا من لون أسنانك—احجز موعدك الآن.
ما هي أنواع حشوات الاسنان التجميلية؟
تتنوع حشوات الأسنان التجميلية لتناسب الاحتياجات المختلفة لكل حالة، وتشمل مجموعة واسعة من المواد التي تختلف في خصائصها الجمالية والوظيفية، ومن أبرزها:
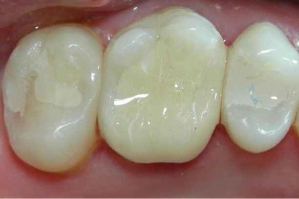
☆ الحشوات التجميلية المركبة (Composite Fillings):

تُعد الحشوات المركبة من أكثر الأنواع شيوعًا وانتشارًا، نظرًا لمرونتها العالية ومظهرها الطبيعي. تتكون من خليط راتنجي مدعّم بجزيئات دقيقة، وتُطبق بطبقات متتالية للحصول على أفضل اندماج. من أهم مميزاتها:
- تطابق ممتاز مع لون الأسنان.
- إمكانية تشكيلها بدقة عالية.
- مناسبة للأسنان الأمامية والخلفية.
- لا تتطلب إزالة كمية كبيرة من بنية السن.
- نتائج جمالية فورية.
وتُستخدم هذه الحشوات بكفاءة عالية في الحشوات التجميلية لسد الفراغات الصغيرة والمتوسطة.
تبغى أقرب موعد متاح؟ تواصل واتساب الآن وخلّنا نرتب لك الحجز خلال دقائق .
☆ الحشوات السيراميكية (Ceramic Fillings):

تتميز الحشوات السيراميكية بصلابتها العالية ومقاومتها للتصبغات، مما يجعلها خيارًا فاخرًا في طب الأسنان التجميلي. تُصنع غالبًا في المختبر وتُثبت بدقة داخل السن. من أبرز خصائصها:
- مظهر شديد القرب من مينا الأسنان الطبيعية.
- مقاومة ممتازة للتغيرات اللونية.
- عمر افتراضي طويل.
- ملائمة للأشخاص ذوي الحساسية من المعادن.
- ثبات عالي مع مرور الوقت.
وتُعد خيارًا متقدمًا ضمن الحشوات التجميلية لسد الفراغات الواسعة أو العميقة.
☆ الحشوات الزجاجية (Glass Ionomer Fillings):

تُستخدم الحشوات الزجاجية غالبًا في الحالات التي تتطلب حماية إضافية للأسنان، خاصة لدى الأطفال. تمتاز بإفراز الفلورايد الذي يدعم صحة السن. وتشمل مميزاتها:
- إفراز مستمر للفلورايد.
- التصاق كيميائي ببنية السن.
- تقليل خطر التسوس المتكرر.
- مناسبة للأسنان اللبنية.
- مرونة مقبولة في الاستخدامات الوقائية.
أقرأ أيضاً : أعراض ضرس العقل .
☆ الحشوات الذهبية (Gold Fillings):

رغم قلة استخدامها حاليًا، إلا أن الحشوات الذهبية ما زالت تُعد من أكثر الحشوات متانة. تُصنع خصيصًا وتتميز بقدرتها العالية على التحمل. من خصائصها:
- مقاومة شديدة للتآكل.
- عمر افتراضي طويل جدًا.
- توافق حيوي ممتاز مع أنسجة الفم.
- تحمل ضغط المضغ القوي.
- تكلفة أعلى مقارنة بالأنواع الأخرى.
☆ الحشوات المؤقتة (Temporary Fillings):

تُستخدم الحشوات المؤقتة كحل مرحلي لحماية السن إلى حين إتمام العلاج النهائي. وتتميز بما يلي:
- سرعة التطبيق والإزالة.
- حماية مؤقتة من البكتيريا.
- تخفيف الألم والحساسية.
- مناسبة بين الجلسات العلاجية.
- لا تُعد حلًا دائمًا.
أقرأ أيضاً : تقويم الأطفال .
طريقة إجراء حشوات الاسنان التجميلية:
تمر عملية إجراء الحشوات التجميلية بعدة مراحل دقيقة لضمان أفضل نتيجة ممكنة، وتشمل:
- فحص شامل وتقييم حالة السن.
- تنظيف موضع الحشو وإزالة الأنسجة التالفة.
- اختيار لون الحشوة المناسب.
- تطبيق المادة على طبقات متتالية.
- تثبيت الحشوة باستخدام ضوء خاص.
- تلميع السطح للحصول على مظهر طبيعي.
خطوات إجراء الحشوات التجميلية

تُعد الحشوات التجميلية من الإجراءات الدقيقة التي تتطلب تسلسلًا مدروسًا لضمان نتائج مثالية تجمع بين الجمال والوظيفة. تبدأ الرحلة العلاجية بفهم شامل لحالة السن والفراغ المراد سده، خاصة عند الاعتماد على الحشوات التجميلية لسد الفراغات كحل جمالي متكامل. وتشمل الخطوات الأساسية ما يلي:
- فحص سريري دقيق للأسنان واللثة لتقييم الصحة العامة للفم.
- التقاط صور أشعة عند الحاجة لتحديد عمق الفراغ أو التسوس.
- اختيار لون الحشوة بما يتناسب مع درجة لون الأسنان الطبيعية.
- عزل السن باستخدام وسائل خاصة لمنع الرطوبة أثناء الإجراء.
- تنظيف الفراغ أو موضع الحشو من أي بقايا أو أنسجة متضررة.
- تطبيق مادة الحشو على مراحل لضمان الثبات والدقة.
- استخدام تقنيات ضوئية متقدمة لتصلب الحشوة.
- إعادة تشكيل سطح السن ليحاكي الشكل الطبيعي.
- تلميع الحشوة للحصول على مظهر ناعم ومتجانس.
تجميل الأسنان عندنا يشمل توريد اللثة وابتسامة هوليود لابتسامة أجمل وتناسق يبان من أول نظرة—احجز موعدك الآن.
متابعة ما بعد الإجراء
لا تقل مرحلة ما بعد الإجراء أهمية عن عملية الحشو نفسها، إذ تساهم المتابعة الصحيحة في الحفاظ على النتيجة الجمالية والوظيفية. بعد تطبيق الحشوات التجميلية لسد الفراغات، يُنصح بالالتزام بعدد من الإرشادات:
- تجنب تناول الأطعمة القاسية خلال الساعات الأولى.
- الامتناع عن المشروبات الملونة لفترة مؤقتة.
- الحفاظ على نظافة الفم باستخدام فرشاة ناعمة.
- استخدام خيط الأسنان بحذر حول موضع الحشوة.
- مراقبة أي شعور غير طبيعي كالحساسية أو الضغط.
- مراجعة الطبيب في حال استمرار الانزعاج.
- إجراء فحوصات دورية للتأكد من ثبات الحشوة.
ما هي مميزات إجراء الحشوة التجميلية؟

تتمتع الحشوات التجميلية بمجموعة واسعة من المميزات التي جعلتها خيارًا مفضلًا لدى الكثيرين، خاصة في الأسنان الأمامية. ومن أبرز هذه المميزات:
- مظهر طبيعي ينسجم مع لون الأسنان.
- إجراء غير جراحي وسريع التنفيذ.
- الحفاظ على أكبر قدر ممكن من بنية السن الأصلية.
- تحسين الابتسامة والثقة بالنفس.
- نتائج فورية دون الحاجة لفترات انتظار طويلة.
- قابلية التعديل والتشكيل بدقة عالية.
- ملاءمتها لمختلف الأعمار والحالات.
تركيبات الأسنان عندنا تشمل التلبيسات والتركيبات السنية وتركيبات الزيركون لاستعادة شكل السن الطبيعي وقوّته—احجز موعدك الآن.
عوامل تحديد سعر حشوة الأسنان الأمامية:

تختلف تكلفة الحشوات التجميلية تبعًا لعدة عوامل متداخلة، ولا يمكن تحديد سعر ثابت دون تقييم شامل. وتشمل العوامل المؤثرة ما يلي:
1- نوع الحشوة المستخدمة
- تختلف الأسعار حسب المادة، مثل الحشوات المركبة أو السيراميكية.
- المواد الأعلى جودة غالبًا ما تكون أكثر تكلفة.
- بعض الأنواع توفر عمرًا أطول ومقاومة أعلى.
2- حجم العمل المطلوب
- الفراغات الصغيرة تختلف تكلفتها عن الواسعة.
- عدد الأسنان التي تحتاج إلى حشو يؤثر على السعر النهائي.
- تعقيد الحالة يلعب دورًا أساسيًا.
3- موقع السن
- الأسنان الأمامية تتطلب دقة جمالية أعلى.
- صعوبة الوصول لبعض الأسنان قد تزيد التكلفة.
- الموقع يؤثر على زمن الإجراء والأدوات المستخدمة.
4- مهارة وخبرة الطبيب
- الخبرة الطويلة تنعكس على جودة النتائج.
- الأطباء المتخصصون في التجميل غالبًا ما تكون تكلفتهم أعلى.
- الدقة الفنية عامل أساسي في التسعير.
5- التقنيات المستخدمة
- استخدام أجهزة حديثة وتقنيات رقمية متطورة.
- تقنيات التصوير والتصميم ثلاثي الأبعاد.
- أدوات التلميع والتشكيل عالية الدقة.
6- الموقع الجغرافي للعيادة
- تختلف الأسعار بين المدن والمناطق.
- العيادات في المناطق الراقية غالبًا أعلى تكلفة.
- مستوى الخدمات العامة يؤثر على التسعير.
7- الحاجة إلى خطوات إضافية
- علاج اللثة قبل الحشو.
- إزالة حشوات قديمة أو تسوس عميق.
- إجراءات تحضيرية إضافية.
جميع هذه العوامل تُحدد التكلفة النهائية لإجراء الحشوات التجميلية لسد الفراغات، والتي تظل استثمارًا فعّالًا في صحة الفم وجمال الابتسامة.
أقرأ أيضاً : علاج تورم اللثة .
ما الفرق بين الحشوات التجميلية والفينير وايهما افضل؟

يُعد الاختيار بين الحشوات التجميلية والفينير من أكثر القرارات شيوعًا في عالم تجميل الأسنان، خاصة عند التعامل مع الفراغات الأمامية. يمكن توضيح الفروقات الأساسية كالتالي:
☆ الحشوات التجميلية:
- تعتمد على مواد تُطبق مباشرة على السن لإعادة تشكيله وسد الفراغات بدقة عالية.
- أقل تدخلاً على بنية السن الأصلية وتحافظ عليها.
- قابلة للتعديل أو الإزالة بسهولة عند الحاجة.
- مناسبة للحالات البسيطة والمتوسطة من الفراغات.
☆ الفينير:
- عبارة عن قشرة رقيقة تُثبت على السطح الخارجي للسن بعد تحضيره وإزالة جزء من المينا.
- يمنح نتائج جمالية فائقة وموحدة اللون والشكل.
- أكثر ديمومة من الحشوات في بعض الحالات، لكنه يتطلب إزالة جزء دائم من السن.
- يُفضل في حالات التباعد الواسع أو التغيرات اللونية الشديدة للأسنان.
☆ الاختيار بينهما:
- لا توجد أفضلية مطلقة، بل تعتمد على حجم الفراغ، وحالة الأسنان، وتوقعات المظهر النهائي.
- في الحالات البسيطة والمتوسطة، تُعد الحشوات التجميلية لسد الفراغات خيارًا عمليًا ومرنًا.
- في الحالات المعقدة أو التباعد الكبير، يكون الفينير هو الحل الأمثل لتحقيق التناسق الجمالي.
كم مدة بقاء الحشوة التجميلية؟
تعتمد مدة بقاء الحشوة التجميلية على عدة عوامل تتعلق بجودة المادة المستخدمة، ودقة التطبيق، والعناية اليومية بالفم. في المتوسط، قد تستمر الحشوة التجميلية من 5 إلى 10 سنوات، وقد تطول هذه المدة مع العناية الجيدة. وتتأثر مدة البقاء بما يلي:
- نوع مادة الحشوة ومدى مقاومتها للتآكل.
- قوة الإطباق والعادات اليومية مثل طحن الأسنان.
- الالتزام بنظافة الفم والفحوصات الدورية.
- تجنب الأطعمة شديدة الصلابة أو الملونة بكثرة.
- مهارة الطبيب في تشكيل وتثبيت الحشوة.
كم سعر حشوة الأسنان التجميلية؟

لا يوجد سعر ثابت لحشوة الأسنان التجميلية في السعودية، إذ تختلف التكلفة حسب مجموعة من العوامل المتداخلة، إلا أنه يمكن ذكر سعر تقريبي يساعد على تكوين صورة عامة قبل الإجراء.
- عادةً يتراوح سعر حشوة الأسنان التجميلية (البيضاء أو الكمبوزيت) ما بين 300 إلى 800 ريال سعودي للسن الواحد في معظم العيادات الخاصة.
- في بعض العيادات أو العروض الخاصة قد تبدأ الأسعار من 150 إلى 250 ريالًا، بينما قد تصل في العيادات المتقدمة أو عند استخدام مواد عالية الجودة وتقنيات حديثة إلى 900 ريال سعودي أو أكثر للحشوة الواحدة.
ويختلف السعر النهائي بناءً على عدة عوامل، من أبرزها:
- نوع الحشوة المستخدمة وجودة المادة، فالمواد الأعلى جودة تكون أكثر تكلفة.
- عدد الأسنان المطلوب حشوها، حيث يزيد السعر بزيادة عدد الأسنان.
- حجم الفراغ ومدى تعقيد الحالة، فالحالات الدقيقة تحتاج وقتًا ومهارة أكبر.
- خبرة الطبيب والتقنيات المستخدمة في التشكيل والتثبيت.
- الموقع الجغرافي للعيادة ومستوى الخدمات المقدمة.
ورغم هذا التفاوت، تظل الحشوات التجميلية لسد الفراغات خيارًا اقتصاديًا نسبيًا مقارنة بالحلول التجميلية الأخرى مثل الفينير أو تقويم الأسنان، مع تحقيق نتائج جمالية مرضية عند اختيار الحالة المناسبة والطبيب المتمرس.
ابتسامة هوليود تبدأ بخطوة بسيطة: احجز استشارتك الآن وخلك أقرب لابتسامة متناسقة ومشرقة.
مزايا استخدام الحشوات التجميلية لسد فراغات الأسنان بدون تقويم

أصبحت الحشوات التجميلية لسد الفراغات بدون تقويم خيارًا شائعًا لمن يبحث عن نتائج سريعة دون التزام طويل الأمد. وتتمثل أبرز المزايا في:
- إجراء سريع يمكن إنجازه في جلسة واحدة.
- عدم الحاجة إلى أجهزة تقويم أو فترات علاج طويلة.
- الحفاظ على بنية السن الطبيعية دون برد مفرط.
- نتائج جمالية فورية وتحسن واضح في الابتسامة.
- إمكانية تعديل الحشوة مستقبلًا بسهولة.
- تكلفة أقل مقارنة بالتقويم أو الفينير.
- راحة نفسية أعلى لعدم وجود أجهزة ظاهرة.
عيوب استخدام الحشوات التجميلية لسد فراغات الأسنان بدون تقويم
رغم المزايا المتعددة، إلا أن هذا الإجراء لا يخلو من بعض العيوب التي يجب أخذها بعين الاعتبار قبل اتخاذ القرار. ومن أبرزها:
- محدودية الاستخدام في الفراغات الكبيرة جدًا.
- احتمالية تغير اللون مع مرور الوقت عند إهمال العناية.
- حاجة الحشوة إلى صيانة أو استبدال بعد سنوات.
- تأثرها بالعادات الخاطئة مثل قضم الأظافر.
- عدم تصحيح المشكلات التقويمية العميقة في الإطباق.
- نتائج تعتمد بشكل كبير على مهارة الطبيب.
ورغم هذه التحديات، تبقى الحشوات التجميلية لسد الفراغات خيارًا فعالًا عند اختيار الحالة المناسبة والتطبيق الصحيح.
كيفية اختيار الحشوة التجميلية المناسبة

اختيار الحشوة التجميلية المثالية يتطلب دراسة دقيقة للعديد من العوامل لضمان تحقيق أفضل النتائج. أهم الاعتبارات تشمل:
- نوع المادة المستخدمة: الحشوات المركبة، السيراميكية أو الزجاجية، تختلف في المتانة والجماليات.
- موقع السن: الأسنان الأمامية تحتاج لمظهر طبيعي دقيق، بينما الأسنان الخلفية تتحمل ضغط المضغ أكثر.
- حجم الفراغ المطلوب سدّه: الفراغات الكبيرة قد تحتاج إلى مواد أكثر صلابة أو عدة طبقات لتحقيق الاستقرار.
- لون الأسنان الطبيعي: يجب اختيار الحشوة لتتناسب مع لون الأسنان المحيطة لتحقيق مظهر متناغم.
- حالة اللثة وصحة الفم: بعض المواد تتفاعل أفضل مع اللثة السليمة، بينما البعض الآخر مناسب للأنسجة الحساسة.
- خبرة الطبيب: مهارة الطبيب في تشكيل الحشوة وضبطها تحدد مدى نجاح الحشوات التجميلية لسد الفراغات وملاءمتها للابتسامة الطبيعية.
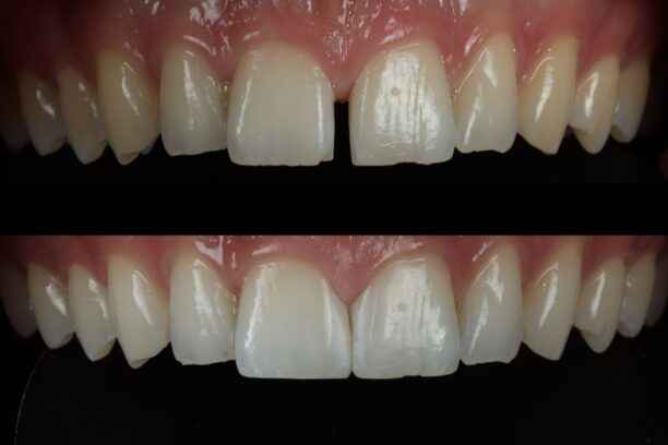
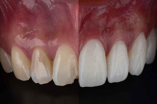
حشوات تجميلية قبل وبعد

النتائج المذهلة لـ الحشوات التجميلية لسد الفراغات تظهر جليًا عند المقارنة بين الصور قبل وبعد الإجراء:
- الأسنان المبتورة أو المتباعدة تصبح مكتملة ومتناغمة.
- اللون الطبيعي للأسنان يُستعاد ويصبح أكثر إشراقًا.
- الابتسامة تبدو أكثر تناسقًا وراحة نفسية للمريض.
- الوظيفة المضغية تتحسن مع استعادة الاستقرار بين الأسنان.
- تجنب تراكم الطعام في الفراغات يقلل من احتمالية التسوس.
نصائح للوقاية من تسوس الأسنان
حتى بعد إجراء الحشوات التجميلية لسد الفراغات، يبقى الاهتمام بالنظافة الفموية أساسيًا للحفاظ على النتائج ومنع التسوس:
- تنظيف الأسنان مرتين يوميًا باستخدام فرشاة ناعمة ومعجون يحتوي على الفلورايد.
- استخدام خيط الأسنان لإزالة بقايا الطعام بين الأسنان والفراغات.
- الحد من تناول الأطعمة السكرية والمشروبات الغازية.
- زيارة طبيب الأسنان بشكل دوري للفحص والتنظيف المهني.
- شرب الماء بعد الوجبات لمساعدة الفم على التخلص من بقايا الطعام.
- تجنب عادات مضغ الأشياء الصلبة أو قضم الأظافر التي قد تتلف الحشوة.
تطبيق هذه النصائح يضمن بقاء الحشوات التجميلية لسد الفراغات لفترة طويلة ويقلل من الحاجة إلى إعادة الحشو أو الإصلاح.
تبغى أقرب موعد متاح؟ تواصل واتساب الآن وخلّنا نرتب لك الحجز خلال دقائق .
هل يمكن أن تسبب الحشوات التجميلية الحساسية؟

في بعض الحالات، قد يشعر المريض بحساسية مؤقتة بعد تركيب الحشوة التجميلية. وتشمل الملاحظات الشائعة:
- حساسية تجاه البرودة أو السخونة أثناء تناول الطعام والشراب.
- شعور بضغط أو وخز خفيف حول السن بعد الإجراء مباشرة.
- في حالات نادرة، قد تحدث تفاعلات تحسسية تجاه بعض المواد الكيميائية في الحشوة.
- الحساسية غالبًا مؤقتة وتختفي خلال أيام قليلة مع التعود على الحشوة.
- متابعة الطبيب في حال استمرار الألم أو ظهور التهاب أمر ضروري لتفادي المضاعفات.
مع اختيار المواد عالية الجودة ومراعاة التقنية الصحيحة، تصبح الحشوات التجميلية لسد الفراغات آمنة وفعالة، مع الحد من احتمالية أي تفاعل سلبي.
الخلاصة حول الحشوات التجميلية لسد الفراغات
في الخلاصة، تُعد الحشوات التجميلية لسد الفراغات حلًا فعالًا يجمع بين الجمال والوظيفة، حيث تعيد الأسنان المتباعدة أو المتضررة إلى مظهرها الطبيعي وتمنح الابتسامة تناغمًا ووثوقية في الأداء. تعتمد نتائجها على اختيار المادة المناسبة، مهارة الطبيب، والالتزام بالنظافة الفموية، مما يجعلها خيارًا سريعًا ومرنًا مقارنة بالحلول الأخرى مثل الفينير أو التقويم. مع الرعاية والمتابعة المنتظمة، توفر هذه الحشوات حلولاً طويلة الأمد تعزز الثقة بالنفس وتحقق ابتسامة صحية ومشرقة.
الأسئلة الأكثر شيوعًا [FAQs] حول الحشوات التجميلية لسد الفراغات
✤ هل يمكن حشو الفراغ بين الأسنان؟
نعم، يمكن حشو الفراغ بين الأسنان باستخدام الحشوات التجميلية لسد الفراغات، حيث تعمل على ملء الفراغات الصغيرة والمتوسطة وتحسين المظهر العام للابتسامة دون الحاجة لتقويم طويل الأمد.
✤ ما هو سعر الحشوات التجميلية لسد الفراغات في السعودية؟
يتراوح سعر الحشوات التجميلية في السعودية عادة بين 300 إلى 800 ريال سعودي للسن الواحد حسب نوع الحشوة وحجم الفراغ وخبرة الطبيب والموقع الجغرافي للعيادة.
✤ ما هو أفضل حشو للفراغات بين الأسنان؟
الحشوات المركبة (Composite Fillings) تُعد الأفضل للفراغات الأمامية لأنها تمنح مظهرًا طبيعيًا وتنسجم مع لون الأسنان، كما أنها قابلة للتعديل بسهولة عند الحاجة.
✤ هل يمكن إزالة الحشو التجميلي لسد فراغات الأسنان؟
نعم، يمكن إزالة الحشو التجميلي واستبداله بحشوة جديدة أو تعديلها دون التأثير على بنية السن، مما يجعل الحشوات التجميلية لسد الفراغات حلًا مرنًا طويل الأمد.
✤ كم تبلغ تكلفة سد الفراغ بين الأسنان؟
تعتمد تكلفة سد الفراغ على حجم الفراغ ونوع الحشوة وعدد الأسنان المطلوبة، وتتراوح عادة بين 300 إلى 900 ريال سعودي للسن الواحد في أغلب العيادات.
✤ ما هي عيوب الحشوات التجميلية؟
رغم فوائدها، قد تشمل عيوب الحشوات التجميلية: احتمال تغير اللون مع الوقت، عدم ملاءمتها للفراغات الكبيرة جدًا، والحاجة أحيانًا لصيانة دورية للحفاظ على الشكل والوظيفة.
✤ كيف يمكنك سد الفراغ بين أسنانك بالحشو؟
يتم سد الفراغ عبر تنظيف الأسنان جيدًا، اختيار لون الحشوة المناسب، تطبيق المادة على السن بشكل دقيق، ثم تلميعها للحصول على مظهر طبيعي ووظيفة مضغ سليمة.
✤ ما هي طرق سد فراغات الأسنان بدون تقويم؟
تشمل الطرق بدون تقويم: استخدام الحشوات التجميلية لسد الفراغات، الفينير أو القشرة التجميلية، وأحيانًا استخدام أربطة أو تقنيات تجميلية مؤقتة لملء الفراغات البسيطة.
✤ كيف يقوم طبيب الأسنان بإزالة حشوة قديمة؟
يقوم الطبيب بإزالة الحشوة القديمة باستخدام أدوات دقيقة لإزالة المادة دون إلحاق الضرر بالسن، ثم تنظيف السن جيدًا قبل وضع الحشوة الجديدة أو تعديل الحشوة السابقة.
✤ ما الذي يستخدمه أطباء الأسنان لسد الفراغات؟
يستخدم الأطباء عادة الحشوات المركبة، السيراميكية أو الزجاجية لسد الفراغات، حسب حجم الفراغ وموقعه، لضمان نتيجة طبيعية وقابلة للثبات على المدى الطويل.